英文名称 :pulmonary alveolar microlithiasis
肺泡微结石症(pulmonary alveolar microlithiasis,PAM)是一种较为罕见的、以双肺弥漫性肺泡内微结石(以磷酸钙盐为主要成分)广泛沉积为特征的慢性肺部疾病,多数患者有家族史,为常染色体隐性遗传。
近年发现该病为SCL34A2(solute carrier family 34 member 2)基因突变所引起的常染色体隐性遗传性疾病,有家族发病倾向,均限于同胞之间,多为近亲结婚,遇可疑者应认真追查同胞。散发病例可能和患者接触油印墨盒及含钙盐的烟草等有害物质有关。
PAM可发生于任何年龄,年龄最小的是新生儿,年龄最大达84岁,但以中青年为主,多在20~40岁确诊;男性略高于女性;地域分布上以亚洲和欧洲为主,其中发病率最高的是土耳其,其后依次为中国、日本、印度、意大利和美国。
SCL34A2属于溶质转运蛋白家族SLC34,SLC34A2基因有13个外显子,第1个外显子是非编码的,其余12个外显子编码一种磷酸钠协同转运蛋白,主要作用是维持机体无机磷平衡。肺泡Ⅱ型上皮细胞产生的二棕榈酰卵磷脂在降解过程中产生的磷被SLC34蛋白清除。当SLC34A2基因发生突变时,蛋白失去正常的磷转运功能,磷盐及其钙螯合物在肺泡内沉积形成微结石。目前,全世界共报道17种PAMSLC34A2变异情况,外显子8和外显子12变异较常见,而在中国外显子8的c.910A>T(Lys304Ter)变异最为常见,因此,可能成为中国患者疑诊肺泡微结石症时的基因筛查和治疗靶点。环境因素在PAM的发病机制有待进一步研究。
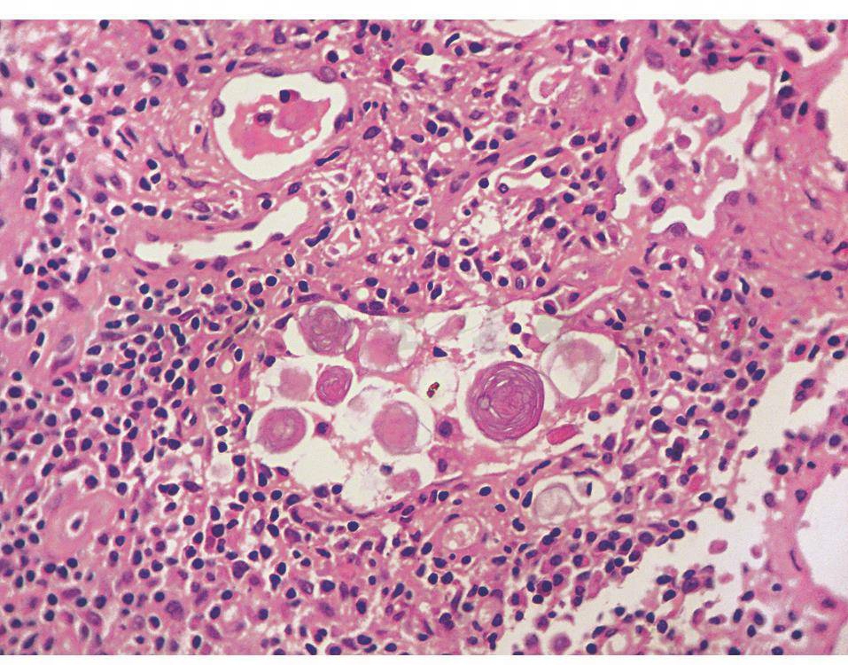
本病主要侵犯两肺,病肺变硬,重量明显增加,触之有沙砾感,切面呈“细纱纸”状纹理,主要分布于中下肺。镜下70%~80%的肺泡内有特征性的层状、年轮状、同心圆状微结石形成(似洋葱头皮),直径50~1000μm,微结石沿支气管、血管特别是叶间胸膜下分布偏多,几乎都位于肺泡腔内,但也可位于肺泡壁,向肺泡腔内凸入(图1)。微结石以钙、磷酸盐为主要成分,过碘酸希夫染色呈紫红色。肺泡灌洗液可见沙砾样物质沉积,沉渣包埋可见层状钙化小体。病变早期肺泡壁结构完整,进展期和末期伴有肺泡壁肥厚、间质纤维化等,可伴肺气肿和肺大疱。

图1肺泡微结石症的病理表现(HE×400)
肺泡间隔明显增宽,中等量淋巴细胞及浆细胞浸润,肺泡腔内可见多个同心层状结构的微结石。
引自:呼吸病学(第3版).第3版.ISBN:978-7-117-31906-5.主编:
(一)X线检查
X线是发现及提示本病最基本的手段,表现为两肺弥漫性分布的、边缘锐利、大小基本一致、呈钙化密度的沙砂样微结节,肺下野多于肺上野。随着病情进展,两肺结节影密集,可出现病灶聚集融合,心膈模糊,呈“沙暴”或“雪暴”样改变即典型的“暴风沙症”。病情较重者,呈“白肺样”表现,肺组织、纵隔及肋骨完全被掩盖。在侧胸壁与肺外缘之间可见狭长透亮带,称为“黑胸膜线”。
(二)CT检查
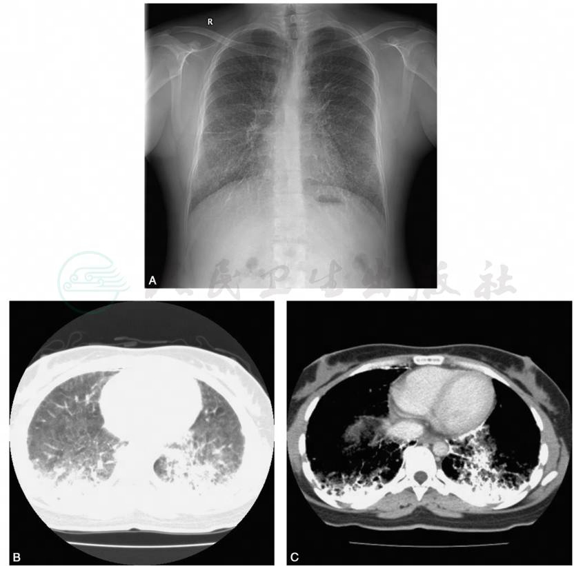
胸部HRCT主要表现包括:①双肺透亮度降低,呈磨砂玻璃样改变,见于90%的患者;②部分呈肺间质纤维化的表现;③弥漫性分布的微小结节,密度较高,可呈特征性的钙化影;④胸膜下排列成行的直径5~10mm薄壁小气囊形成黑胸膜线;⑤纵隔窗显示肺野内不规则点状、条状致密影,胸膜下可融合成片形成“火焰征”和“白描征”(图2)。

图2肺泡微结石症的胸部影像学表现
A.X线片:双肺弥漫性分布的细小沙砾状结节影,中下肺野为主;B.CT:双肺透亮度降低,呈磨砂玻璃样改变,弥漫性分布的微小结节,密度较高;C.纵隔窗显示肺野内不规则点状、条状致密影,胸膜下可融合成片形成“火焰征”和“白描征”。
引自:呼吸病学(第3版).第3版.ISBN:978-7-117-31906-5.主编:
影像学表现,PAM病程可分为4期:
1期(钙化前期):早期影像学不典型。
2期:双肺弥漫沙砾状改变,心影及膈肌边界尚清晰。
3期:微结石数目和体积增加,间质增厚,纵隔窗可见“白描征”(胸膜下聚集呈线样高密度钙化影)和“火焰征”(背侧胸膜下融合呈片状钙化影),在中下肺野心影及膈肌的边缘欠锐利。
4期:大部分肺野被肺石填充,出现“白肺”表现,该期可合并肺气肿、肺大疱及气胸等。
(三)肺功能
早期多为正常,这与影像学上的明显变化相分离。多数PAM患者肺功能可在相当长的时间内保持正常,随着疾病的发展,微结石破坏肺泡结构及肺间质的纤维化,会逐渐出现限制性通气功能障碍,并出现残气量及弥散功能下降,部分患者可出现过度通气及小气道功能障碍。
(四)支气管镜检查
目前病理标本的获得主要依靠经支气管镜肺活检(TBLB)或者胸腔镜肺活检。支气管镜检查既可以明确气道内情况,又可在X线引导下行多处肺活检,尤其适合于病变部位弥漫的肺泡微结石症;另外,气管镜下肺泡灌洗,肺泡灌洗液可见沙砾样物质沉积,沉渣包埋可见层状钙化小体。
本病尚无明确有效的治疗方法,仅在出现肺气肿、肺心病、呼吸衰竭等并发症时予对症支持治疗;血清中表面活性蛋白A和D的动态监测可评估病情的进展情况。国外有应用羟乙磷酸钠治疗PAM取得较好疗效的个案报道,但确切疗效仍未明确。支气管肺泡灌洗术对症状、影像学和肺功能没有明显的改变。治疗的重点主要是保护措施,如避免感染、避免主动吸烟和被动吸烟等,缺氧时可给予氧疗。患者多死于呼吸衰竭,终末期肺的患者可考虑进行全肺移植手术。随着针对簇状、规律间隔的、短回文重复序列(clustered regularly interspaced short palindromic repeats,CRISPR)等基因编辑技术的发展,基因治疗在PAM中的应用也有待进一步探索。



