英文名称 :isolated pulmonic stenosis
单纯肺动脉口狭窄(isolated pulmonic stenosis)指以肺动脉口狭窄为唯一畸形的常见先天性心脏病。患者的心室间隔完整,但可伴有心房间隔缺损或卵圆孔未闭。
肺动脉出口处局部狭窄,包括右心室漏斗部狭窄、肺动脉瓣膜狭窄和肺动脉及其分支的狭窄。单纯肺动脉口狭窄绝大多数是瓣膜狭窄(约占75%),少数是漏斗部狭窄,肺动脉及其分支的狭窄最少见(图1)。

图1 瓣膜型单纯肺动脉口狭窄解剖和心脏大血管内血流情况示意
图示狭窄的肺动脉瓣3个瓣叶融合,只留下一个小孔,直径常只有2~4mm,妨碍血液从右心室进入肺动脉,肺动脉总干呈狭窄后扩张。心脏大血管内血液流动方向与正常时相同。本图心脏和大血管各部位均用文字标明,带黑点的心血管腔表示流动着静脉血,不带黑点的表示流动着动脉血,箭头所示为血液流动的方向。
肺动脉口狭窄使右心室排血受阻,因而右心室的压力增高,肺动脉的压力则减低或尚正常。两者的收缩压差达10mmHg以上,甚至可能达到150~240mmHg。长时间的右心室负荷增加,引起右心室肥厚,最后可发生右心衰竭。在高度狭窄、右心室内压力显著升高的患者,右心房压力亦相应地增高并可超过左心房压力,如同时有心房间隔缺损或未闭卵圆孔,则可引起右至左分流从而出现发绀。
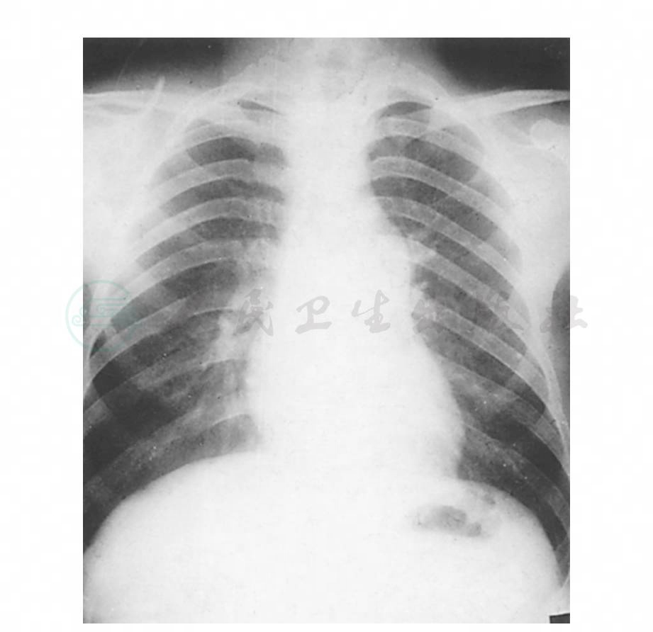
(一)X线检查
轻度狭窄的患者,X线表现可能正常;中、重度狭窄患者,肺血管影细小,整个肺野异常清晰,肺动脉总干弧凸出(狭窄后的扩张)而搏动明显,但肺门血管搏动弱,右心室增大。漏斗部型狭窄和肺动脉型狭窄的患者,肺总动脉则多不扩大(图2)。

图2 瓣膜型肺动脉口狭窄的X线正位像
示肺动脉总干弧显著膨隆,肺野异常清晰
(二)心电图检查
心电图随狭窄的轻、重以及其引起右心室内压力增高的程度而有轻重不同的4种类型:正常、不完全性右束支传导阻滞、右心室肥大和右心室肥大伴劳损(心前区广泛性T波倒置)。心电轴有不同程度的右偏。部分患者有P波增高,显示右心房肥大(图3)。

图3 瓣膜型肺动脉口狭窄的心电图
图示电轴右偏,电位垂直。V3R、V1、V2、V3导联R波均甚高,ST段压低,T波倒置;V4、V5导联有较深的S波-ST段压低,T波倒置;Ⅱ、Ⅲ、aVF导联R波高,ST段压低,T波倒置;aVR导联呈QR型。示有右心室肥大和劳损。所有导联均用减半电压记录
(三)超声心动图检查
瓣膜型狭窄者,二维超声示瓣膜增厚向肺动脉内呈圆顶状凸出,肺动脉总干扩张;漏斗部型狭窄者,在收缩期中可见瓣膜扑动。脉冲多普勒超声和多普勒彩色血流显像示肺动脉内有收缩期湍流,连续多普勒超声可探测右心室与肺动脉间的压力阶差(图4、图5)。

图4 瓣膜型肺动脉口狭窄的二维超声心动图肺动脉长轴切面像
见肺动脉瓣口处狭窄,瓣膜开放呈圆顶状(箭头所示)

图5 肺动脉口狭窄处连续式多普勒超声测定肺动脉瓣跨瓣压力阶差
图示收缩期向下频谱最低点为最大压差36.8mmHg,频谱的总面积为平均压差13.3mmHg
(四)心脏导管检查
右心导管检查可发现右心室压力增高,肺动脉压力正常或降低。右心室与肺动脉的收缩压力阶差超过10mmHg。此压力差可反映狭窄的程度,一般认为在40mmHg以下为轻度狭窄,40~100mmHg之间为中度狭窄,而100mmHg以上为重度狭窄。将心导管从肺动脉撤至右心室进行连续测压记录,可从压力曲线的形态变化判别狭窄的类型(瓣上狭窄、瓣膜狭窄、漏斗部狭窄或它们的合并存在)(图6)。

图6 瓣膜型肺动脉口狭窄的肺动脉与右心室间连续测压记录
图示肺总动脉压力低,收缩压20mmHg,曲线有多个细小波动。右心室收缩压高达100mmHg,两者差达80mmHg。右心室压力曲线上升支上升至顶点时间较长,峰顶尖锐,形成等腰三角形(记录片速25mm/s)
(五)选择性心血管造影
通过右心导管将对比剂注入右心室,可显示对比剂在肺动脉瓣部受阻,瓣膜融合如天幕状,凸出于肺动脉腔内,瓣孔如鱼口状,对比剂由此喷出呈狭条形,然后扇状散开,肺总动脉扩张(瓣膜狭窄),或在右心室流出道中形成狭长阴影(漏斗部狭窄),或见肺动脉及其分支狭小(图7)。

图7 瓣膜型肺动脉口狭窄选择性右心室造影,左侧位X线片
示右心室流出道显像,肺动脉瓣呈隔膜型,开口明显狭窄,造影剂喷入肺动脉时,先呈线状然后扇形散开
单纯的肺动脉瓣狭窄首选经皮肺动脉瓣球囊扩张治疗,其远期效果可与外科手术媲美,而术后关闭不全发生率低。伴有肺动脉发育不良、其他类型的肺动脉狭窄仍以外科治疗为主。主要施行手术切开瓣膜,或切除漏斗部的肥厚部分。下列情况是干预治疗的指征:①患者有明显的症状;②心电图或X线示显著右心室肥大;③静息时右心室与肺动脉间的收缩期压力阶差在40mmHg以上。肺动脉狭窄位于近端且狭窄段较短的患者,可施行手术治疗;经皮穿刺置入带球囊导管扩张并植入支架也可考虑应用。对于不施行手术治疗的患者,应密切注意预防感染性心内膜炎和心力衰竭的发生。



