英文名称 :polyneuropathy,or-ganmegaly,endocrinopathy,M-pro-tein,skin changes syndrome
中文别名 :多发性神经病、器官肿大、内分泌病变、M蛋白、皮肤改变综合征;克罗-深濑综合征
1956年英国学者Crow首先描述1例骨髓瘤伴多发性神经病。1968年Fukase首先提出本病为一独立的综合征。1980年Bardwick将该病5种主要表现的首字母缩写为POEMS综合征,即:多发性神经病(polyneuropathy)、器官肿大(organomegaly)、内分泌受累(endocrinopathy)、M蛋白(monoclonal paraprotein)、皮肤改变(skin changes)。POEMS综合征是一种以多发性周围神经病和异常浆细胞增生为主要表现,伴有多系统损害的罕见克隆性浆细胞疾病。
本病的病因和发病机制尚不清楚。①有研究提示人类疱疹病毒8型(HHV-8)感染与POEMS综合征相关性多中心Castleman病(MCD)有关。前炎性细胞因子(proinflammatory cytokines)和血管内皮生长因子(VEGF)在本病的发病中可能起重要作用。②前炎性细胞因子的过度生成及其拮抗反应的减弱与本病有关。这些前炎性细胞因子主要包括IL-1、TNF-α和IL-6。③POEMS综合征中有异常增高的血清及血浆血管内皮生长因子(VEGF),VEGF水平的变化与疾病活动度的改善或加重显著相关。血清VEGF水平可能是检测患者疾病活动度和早期预测疾病复发的血清学指标。
临床上男性发病稍多于女性,发病年龄多见于40~60岁,平均发病年龄男性为48岁,女性为59岁。
神经活检病理可见有髓纤维减少和脱失,轴索变性和节段性脱髓鞘性改变同时存在,血管通透性增加和散在单核细胞,早期以节段性脱髓鞘为多见,病程长者则轴索变性明显,常伴以再生纤维。
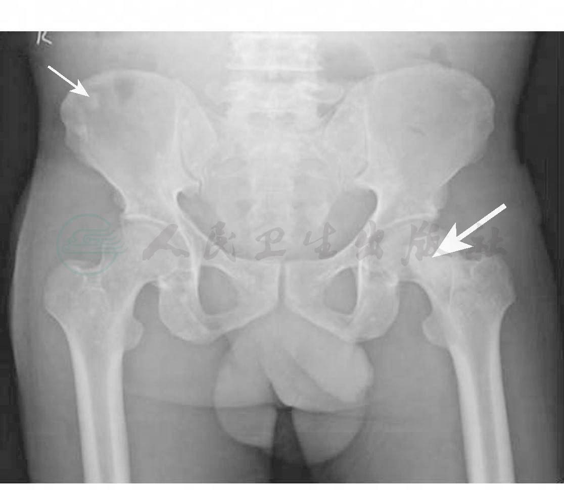
血清免疫固定电泳中可发现特征性单克隆M蛋白,多为IgG或IgA-λ型轻链。脑脊液蛋白水平几乎均升高,常大于1g/L,内分泌检查存在异常。骨髓穿刺浆细胞<5%。骨X线检查有助于发现增殖性骨损害(图3)。骨硬化部位的活检可见恶性浆细胞。肌电图检查示混合性轴索变性和脱髓鞘损害。

图3 骨盆X线
右髂嵴的多发性硬化灶(细箭头)和左侧股骨颈的一个巨大骨硬化灶(粗箭头)
1.自体造血干细胞移植(AHSCT)
基于大剂量马法兰的自体造血干细胞移植已经成为了初治POEMS综合征患者的一线治疗选择,多个中心都已报道了AHSCT疗效显著,神经系统改善率均超过95%,对于其他临床症状(如水肿、脏器肿大、皮肤改善、血清VEGF等)改善明显。AHSCT的复发率低,随诊5年以上,复发率不足5%。但是,自体造血干细胞移植费用昂贵以及较高的并发症,25%~50%的患者会发生植入综合征,移植相关病死率约为8%。
2.美法仑联合地塞米松(MDex)
MDex可以作为不适合自体移植的患者的治疗选择,神经病变缓解率很高,且起效比较快。
3.来那度胺等新药治疗
来那度胺作为第二代免疫调节剂,由于其良好的抗骨髓瘤疗效以及无神经毒性的特点使其成为POEMS综合征的二线治疗方案,尤其是部分难治复发的患者。尽管有着较高的神经毒性,也有少数将沙利度胺和硼替佐米用于治疗POEMS综合征的报道,疗效尚可。
4.局部放疗
虽然放疗可显著改善具有孤立性病灶(硬化性骨病)患者的临床症状,少数患者甚至可能治愈,但是绝大多数患者均会在2~3年后复发。因此,对于采用局部放疗策略的患者来说,最为重要的是要明确其病灶的孤立性。
5.支持治疗
物理治疗是POEMS综合征患者治疗的重要组成部分,包括康复锻炼、踝部助力器的使用,以及防足下垂措施等。对于有内分泌功能异常的患者,应给予有效的激素(包括甲状腺素和糖皮质激素)替代治疗。另外,积极利尿治疗也能显著提高水肿和/或浆膜腔积液患者生存质量。



 
    收藏
收藏 已收藏
已收藏

 
                 
                 
				 
				 
		    		
		    		 
			  			 
			  			 
		    		
		    		