英文名称 :supracondylar fracture of femur
股骨远端包括股骨髁和股骨髁上,股骨内外髁构成远端关节面。股骨远端的后面有腓肠肌内外侧头的起点。股骨的两髁,与相应的胫骨平台形成关节。在外髁的外侧面有外侧副韧带的起点。内髁比外髁大,在远端有内侧副韧带的起点。位于内髁最上方的部分是内收肌结节,是内收肌的止点。
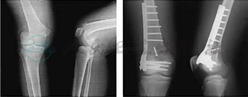
股骨髁上骨折大多病例为高速或由高处坠落损伤所致。老年患者因干骺端骨质疏松,屈膝位跌倒即可引起髁上的嵌入骨折。骨折常呈典型移位,远骨折块由于四头肌,腘绳肌及腓肠肌的牵拉短缩并向后移位和成角,内收肌的作用使股骨远端内翻内旋(图1)。由于骨折远骨折端向后移位偶可导致腘动脉损伤,局部可见张力性肿胀,小腿表现有缺血征象,治疗前若未注意常可引起不良后果。摄X线片可确定诊断,了解骨折的类型和移位情况有助于对创伤病理的分析。X线片应包括整个股骨干和髋关节,以免漏诊股骨颈骨折和髋脱位,偶尔需摄其他方位X线片和CT来确定骨折是否波及关节内。
图1 股骨髁上骨折的典型移位
股骨髁上骨折经髁间窝穿入带锁髓内钉固定位于斜线区域内骨折可用股骨髁上髓内钉
股骨髁上骨折通常以骨折类型分类,骨折线虽可累及股骨髁或髁间部位,但主要骨折仍是在股骨髁上部位,以髁部为主的骨折,将在股骨髁骨折中讨论。髁上骨折因受伤机制不同,可分为无移位、嵌入、移位或粉碎的几种类型。多见横断或斜形的移位骨折,粉碎性的较少(图2)。开放骨折股骨近端常在髌上部位穿出大腿皮肤。
按AO股骨远端骨折的分型,将髁上骨折列入A型,属于关节外的骨折,AO分型在髁上部位又分成三个亚型:A1型为简单的骨折,分为两部;A2型为楔形骨折;A3为髁上部位的粉碎骨折。
图2 髁上骨折的分类
(一)保守疗法
大多嵌入骨折可用塑形很好长腿石膏固定直至骨愈合。由于大腿肌肉的牵拉作用易引起成角畸形或移位,在骨折的早期最好牵引数周后再更换石膏固定。
最常用的牵引方法是胫骨结节骨牵引,患肢置于托马斯架膝关节屈曲位。由于内收肌牵拉远骨折端使骨折块内旋和内翻,在牵引时应使膝处于轻度外旋位,以使远骨折远端能更确切的与近骨折端对位。摄X线片时应取肢体轻度外旋位作为真正前后位,否则常会造成判断错误,最初牵引重量为7~10kg左右,应依据患者体重决定随后逐渐减少。若牵引不能复位可在麻醉及影像增大器的监测下辅以手法复位维持牵引直至骨愈合(通常是8~12周),或在骨折纤维愈合后改用石膏管型或石膏支具。牵引期间应鼓励患者作膝关节活动以防关节粘连。但应避免过牵发生迟延或不愈合。
为利于骨折确切复位和维持位置可用双针牵引法,经股骨远端附加牵引针,允许膝关节早期活动但需注意勿损伤血管和骨折部位的感染(图3)。
图3 经股骨远端和胫骨近端的双针牵引法
(二)切开复位内固定
经常选择软组织条件较好,具有做内固定技术和设备。其优点是可得到确切复位和牢固的内固定,膝关节早期功能活动,患者无需长期卧床和缩短住院日期,功能恢复满意。内固定有以下几种类型:
1.叶片钢板
AO角钢板固定和动力加压髁板(DCS)技术(图4~7),叶片钢板虽可得到稳定的固定,但固定位置不当常可产生内翻或外翻成角。
图4 髁间和髁上粉碎骨折的角钢板或DCS固定,并内侧辅以小钢板
图5 角钢板固定技术,为确定座凿和打入角钢板叶片的位置
图6 在决定钢板叶片长度时,必须考虑到在股骨远端呈梯形截面,内侧皮质倾斜25°角,若在X线片上见其长度合适,实际上是太长,叶片顶端易穿出内侧皮质,位于皮下
(引自Muller ME,Allgower M,Willennegger H. Manual of internal fixation,Springer-Verleg Berlin Heideberg. New tork,1991)
图7 为对髁上骨折线行使加压,可用张力器来得到轴向加压
2.LISS固定技术
近年来由于生物学固定原则的提出,为保护骨折端的血运,减少骨膜的过多剥离,LISS固定技术得到广泛推广,其技术要点是经皮下内固定技术(MIPPO),维持骨折对线,非接触的锁定钢板使钢板和螺钉的固定形成一个完整的固定结构,可认为是一个可植入的外固定架和得到成角稳定的微创固定技术,使髁上骨折的固定更为简便易行,创伤小,出血少,利于骨折愈合的优点,尤其在有粉碎骨折可不损害骨折粉碎骨块的周围软组织血运的桥接固定的方式,取得满意疗效。此固定技术也可适用于在骨质相对疏松的患者,但目前此固定系统价格较高,在基层和贫困地区使用仍受到限制(图8)。另外可采用股骨髁的支撑钢板或解剖型的钢板,使远骨折端有多枚钉固定,增加固定的稳定性(图9)。
3.Zickle钉
其内植物由内外侧两个锥形干分别经内外侧髁插入髓腔,并用一个髁螺钉横行的固定内外侧干,早期报道愈合和功能结果满意率为82%,最好的适应证是髁上的横断骨折。
4.Rush钉
Shelbourne和Brueckmann1982年报道用Rush钉固定的98个髁上和髁间骨折84%结果满意。Rush钉最好的适应证是无粉碎或轻度粉碎和老年人骨质疏松骨折,粉碎骨折可附以环行钢丝固定,
(1)
(2)
图8 LISS固定技术 (1)髁钢板由于不能锁定,在粉碎骨折可发生内翻畸形;(2)髁上骨折固定的微创固定系统(LISS)具成角稳定可防止发生内翻畸形
(1)
(1)股骨髁支撑
(2)
(2)解剖型钢板内固定
图9 股骨髁支撑钢板或解剖型钢板的内固定
但应尽可能少的剥离骨折块周围的软组织。
5.内锁髓内钉固定技术
逆行的股骨髓内钉可用于离膝关节9cm或更短一些的股骨髁上骨折,也可用于同侧的股骨干合并髁上骨折的病例,通过股骨髁间窝顺着股骨轴线插入髓内钉,近远端分别用两枚内锁栓(图10)。其优点是易找到髓内钉的入点,尤其是肥胖患者比在髋部寻找入点更为方便。
近年来在髁上-髁间骨折采用逆行内锁髓内钉固定的报道结果大多满意,但在复杂的股骨远端骨折有不愈合、延迟愈合、疲劳骨折等并发症。内锁髓内钉固定除在生物力学上的优点外,可减少出血和手术时间和骨膜的剥离,并通过锉髓腔起到植骨的作用。逆行髓内钉固定为股骨髁上骨折提供了一个可靠的固定方法,但钉插入时须暴露膝关节可影响膝关节的功能。在关节镜下插钉对膝关节损伤小并不破坏伸膝装置,具切口小出血少,进针点定位正确等优点,术后功能恢复也快。
6.组合固定
主要适应证是股骨髁上骨折波及关节内的骨折,骨折须用钢板固定者。用两个钢板分别固定近侧和远侧骨折就须分别作两个大切口,无钢板固定区即成为应力集中区,用逆行髓内钉固定,其近侧端和内锁螺钉可作为股骨干应力上升区也易发生骨折。组合固定可以用2种或更多方法组合固定,如髓内固定和髓外固定的组合(图11)。联合使用钢板和髓内钉固定的优点是微创技术、皮肤切口小、骨折固定更稳定和更均匀的应力分布,通过锉髓腔起到植骨的效果,减少术后并发症,如不愈合和手术后感染。但有技术上局限性,要求在插入远侧内锁螺钉需在术前选择恰当长度的髓内钉和依据钢板孔的大小选择其直径。
图10 逆行的股骨髓内钉固定
可用于离膝关节9cm或更短一些的股骨髁上骨折
(1)
(1)A. 股骨节段骨折;B. 远侧用钢板固定;C. 组合固定后;
(2)
(2)股骨干节段骨折组合固定正侧位片
图11 股骨节段骨折髓内钉和钢板组合固定
(三)植骨术
对粉碎性股骨髁上骨折,特别是老年患者或高能量损伤的年轻患者,在骨折复位和固定后常不能得到内侧的稳定,并由于软组织严重的损伤可有更明显的骨缺血,因而必须在内侧作松质骨植骨。但植骨的时机应取决于软组织的条件,有严重软组织损伤情况下植骨应延迟。如骨折需附加内侧钢板固定时(有明显的不稳定或骨缺损)同样应考虑植骨。植骨有利于骨愈合,对维护内植物的稳定性有利。但近年来采用LISS固定系统,使用间接的复位技术经皮下安放内植物,不剥离骨折端的骨膜,保存了内侧骨和软组织的血运,即使是粉碎骨折也常无须骨移植。但在严重开放骨折或有明显骨质疏松和骨缺损者仍须考虑植骨。
老年患者因有明显骨质疏松固定螺钉的握持力不足,为增强螺钉固定可用骨水泥在压力下注入螺钉孔,在骨水泥变硬后再将其拧紧。此技术增加了螺钉和骨界面的稳定性和提供更加稳定的固定,但必须防止骨水泥渗入到骨折线影响骨愈合,更应注意骨水泥勿进入关节腔。有学者用另一种辅以骨水泥的固定技术,在远骨折端的近侧取出所有的松质骨保留用于植骨,DCS的侧板和螺钉安放在远骨折端,在骨水泥成面团状态时,填入远骨折端和螺钉的周围。同样在近骨折端也取出松质骨,在预期安放钢板水平的近侧,髓腔的上方放置骨水泥的阻隔器,然后在髓腔内放置相对呈液态的骨水泥,变硬前骨折复位后用螺钉固定钢板,并在骨折的周围植骨。此技术可使骨质疏松患者得到足够稳定的固定允许早期活动和部分负重。
目前在骨质疏松的患者应用锁定的长钢板,形成一个完整的固定结构,使应力分散利于固定的稳定性,是治疗骨质疏松骨折的优选方法。
(四)术后处理
手术后患肢放在膝关节屈曲90°的Bryant架上3~4天,随后可在CPM上活动膝关节,同时作四头肌和腘绳肌的锻炼。不仅可有利于关节软骨的修复,并可防止四头肌的挛缩,减少肿胀。能否负重决定于术中骨折固定的稳定性,若固定稳定可用拐和助行器行走部分负重。在术后2~3个月临床和X线片显示有骨愈合可行抗阻力的练习及增加负重,直至骨折4~6个月后骨折牢固愈合。合并有膝关节韧带损伤的患者,应用功能支具控制膝关节活动。若术中确认固定的稳定性不够确切,术后应用外固定保护以防止内固定失效、畸形愈合或不愈合。内固定极不稳定应附加骨牵引,保持骨折稳定,牵引期间同样应鼓励患者做膝关节活动。
(五)并发症的处理
1.早期并发症
(1)伤口感染:最常见于开放骨折或切开复位内固定后,近年文献报道为0%~7%。发生感染的因素有:①高能量的损伤,特别是有失活的骨折块;②开放骨折;③广泛的手术剥离进一步损害血运;④无经验的手术队伍,长时间的暴露伤口;⑤内固定的不充分。预防术后发生感染需要细致的外科技术,尽可能地保留软组织的血运,预防性的使用抗生素,用内或外固定使骨折得到足够的稳定。手术的时机同样极为重要,特别是在Ⅲ型开放骨折并有严重的软组织损伤,伤口不宜早期闭合,应在再次扩创后确认无感染的情况下延迟闭合伤口,若严格的遵循这些原则即可降低感染的发生率(1%~2%)。术后一旦发生感染需即刻扩创和灌洗,仍应保留确实有效的内固定。有严重的软组织缺损者可用抗生素链,不仅可局部释放抗生素也可填充空腔,周身抗生素应持续应用至6周或更长的时间。
(2)血管神经损伤:治疗前必须确定血运是否完好,有股动脉损伤情况应早期修复,神经损伤可作短期观察,经肌电图证实确定其损伤性质来决定是否需探查和修复。
(3)脂肪栓塞综合征:早期发生并非少见,要作血气分析监测即时作出诊断和治疗。
(4)下肢深静脉血栓:有发生肺栓塞的危险,减少静脉淤滞和血液凝固性可减少此并发症。
2.晚期并发症
(1)不愈合:股骨远端骨折是一种严重的损伤,处理较为困难,其骨折不愈合、延迟愈合及膝关节功能受限等并发症发生率较高。早期文献报道股骨远端骨折不愈合发生率达20%。近年来由于AO技术以及新型内固定材料的应用,使骨折不愈合发生率有所下降。Iannacone等报道,股骨远端骨折不愈合发生率为9.8%,延迟愈合发生率为12.2%。近年来报道为0%~4%。发生骨不愈合的因素有:①骨缺损;②高能量损伤,特别是开放损伤和粉碎骨折,有明显的软组织剥离,骨的血运丧失;③粉碎骨折未行骨移植;④伤口感染。由于废用骨质明显疏松和膝关节僵硬。治疗目的应是骨折得到稳定的固定并又恢复膝关节的功能,但常难同时满足上述要求,若骨折不能得到确实可靠的固定,治疗必须分两部进行,先解决骨折不愈合,再解决膝关节的功能。内固定常因骨质疏松且远骨折端短,仅能用2~3枚螺钉经钢板固定而达不到稳定固定;角钢板固定时仅能提供单叶片的插入,在此情况应选用股骨髁钢板,以增加螺钉固定数来增加固定的稳定性,骨质极度疏松的情况下,可选用骨栓经钢板孔固定,比单纯用松质骨螺钉固定更为可靠,目前采用的锁定钢板系统(LISS固定系统)则是更好的选择。骨不愈合常伴有畸形已失去正常的解剖形态,给解剖型的锁定钢板固定带来困难。有时为增加骨折固定的牢固性,笔者选用髓内(半侧腓骨)或髓外骨板(髂骨或胫骨板)置于钢板对侧,既达到桥接植骨的作用又增加钢板固定的牢固性,同时辅以骨折端周围松质骨植骨。固定不牢固的情况下膝关节又处于僵硬状态,为减少骨折端可能受到的应力,术后必须辅以牵引或石膏管型制动直至骨愈合。膝关节功能的改善必须在骨牢固愈合并有良好塑形后再行松解或成形术。对老年患者为避免长期制动及卧床,骨折不愈合和骨质极度疏松的情况可采用下述方法:在髓腔内置于短截段的金属条并填塞骨水泥,然后再作钢板固定以增加固定的稳定性(图12)。但此方法仅适用于年迈患者,因它不符合生物学的原则,骨水泥填塞髓腔必定影响骨端血运和骨愈合,并在填充骨水泥时切忌将骨水泥填入骨折线内。
(2)感染性骨折不愈合:若原有内固定仍有维持固定作用,即使有窦道存在可暂给以保留。反之若已失去固定作用,应取出后改为超膝关节的外固定架制动,两者均可以在扩创基础上骨折端周围植以松质骨条,并以灌注的方式控制感染以利骨折愈合,在骨折愈合后尽早取出内固定以免感染复发。
(3)骨缺损:由于粉碎骨折或开放骨折继发感染造成骨缺损,可采用Illizalov方法,在股骨近端截骨(通常在粗隆下),截骨骨段远侧向下移位,使骨缺损处靠近以消灭骨缺损,而截骨处的分离可通过骨膜成骨,此方法必须注意近端勿出现髋内翻,近端需用两个平面外固定架固定,虽此治疗时间较长,若骨缺损较大,肢体短缩明显仍不失为一个好方法。骨缺损另可用髓内植骨法(取自腓骨)加用钢板固定,同时在植入大量松质骨以增加愈合强度,否则单纯腓骨很易发生再骨折,完整的腓骨完全由无血运状态成为有血运的生命骨,并代偿增粗往往需数年时间。若软组织条件较好也可采用显微外科技术作带血管的腓骨移植。
(4)畸形愈合:常见于保守治疗主要是发生旋转畸形、短缩和轴线的对位不良。髁上部位有明显的粉碎骨折,常可因内固定失效而发生内翻畸形。为避免此并发症内侧应植骨或用钢板固定。钢板内固定安放常见问题是远骨折端的前或后成角和内外翻畸形。必须作好充分的术前计划以正常侧为标准,确定骨折复位和内植物安放的位置,并在术中摄片确认。用髓内钉固定时尤其术中取侧卧位,应注意避免发生远骨折端外翻成角和旋转畸形。
骨折端畸形愈合必须摄患侧和健侧的前后和侧位X线片评估其成角和移位的情况。旋转畸形必须从临床检查和CT扫描来确定,畸形矫正可通过髁上截骨,截骨的方式可由存在的畸形来决定。畸形愈合不同于骨折不愈合的患者,即使存在畸形也能负重使用,骨质疏松轻。如同时有膝关节僵硬,在确定能做到稳定的内固定,即可同时行关节松解或成形术,术后在CPM上早期活动膝关节以改善功能。
(5)内固定的失效:股骨髁上骨折主要的并发症之一是内固定的失效,导致失效的因素有:①骨折的粉碎性;②骨质疏松;③骨折位置较低,使远骨折端难以得到牢固的固定;④患者的不合作,在骨折愈合前负重;⑤感染。骨折内固定后早期可在CPM上活动膝关节,随后是主动的活动并辅以物理治疗。但必须在术中确认骨折得到牢固的固定,若因骨的质量或骨折的类型不能得到稳定的固定应该延迟活动膝关节,并需植骨或用双钢板固定。发现有内固定失效的迹象时而仍有愈合趋向,应减少活动和负重。如确认不愈合就须再次切开复位和内固定,并同时植骨利于骨愈合。不论何种原因引起的内固定失效,必须排除感染的因素,应作细致的临床评估、白细胞计数和分类、血沉和C反应蛋白的测定、透视下穿刺等。有营养不良的患者在再次手术前应给予高营养改善体质。
(6)膝关节功能障碍:多半是纤维性僵直,其原因包括:①骨折的复位不良,尤其是波及关节内的骨折;②关节的粘连;③韧带和关节囊的挛缩;④股四头肌或腘绳肌的瘢痕化;⑤创伤后的关节炎。在原因确定后,需要判断是否能改进功能,通常可采用保守的物理和康复治疗,或在麻醉下手法推拿,在无效的情况下可用粘连松解术,有严重的四头肌的挛缩特别是在髁上区域,必要时需行四头肌成形术,此后通过积极的关节功能活动和肌力的训练来改进功能。
图12 老年骨质疏松患者,髓内植入短节段钢条,髓腔内填充骨水泥,再用角钢板或其他钢板固定



