英文名称 :Invasive lobular carcinoma
ILC是纤维间质中单个散在或呈单行线性排列的非黏附性细胞构成的浸润癌,是浸润性乳腺癌第二大常见类型,占浸润性乳腺癌5%~15%。ILC与其他类型浸润性乳腺癌相比,常以同侧乳腺多灶性及双侧乳腺发病为特征。
诸文献报道ILC的发病率差别较大,占浸润性乳腺癌的0.6%~20%,其原因可能是与诊断标准不同有关。大多数研究显示,ILC的发病年龄高峰在45~67岁之间(中位年龄一般在61~65岁),75岁以上病人多于35岁以下者。某些研究发现,绝经后的妇女接受激素治疗可增加发生ILC的危险性,近20年由于激素替代治疗的增加,>50岁妇女ILC的发生率有明显增高。最近的观察提示,酒精与发生ILC的危险性在统计学上有相关性,而与其他类型的癌无关。小叶内肿瘤有发展成为ILC的危险性,不典型小叶增生的危险性增加4~5倍,小叶原位癌增加8~10倍,积极治疗小叶性肿瘤对于预防ILC有积极的意义。
各种亚型均具有经典型ILC浸润方式和或细胞形态的某些特点及免疫组化表型,亦可有小叶原位癌存在。细胞学形态:癌细胞呈多样性,小‐中细胞、大细胞、巨细胞、多核细胞、多形性细胞,透明细胞、黏液样细胞(空泡/印戒样细胞)、肌样细胞、组织细胞/泡沫样细胞等均可出现。组织结构:浸润的癌细胞可呈小管状、小梁状或腺泡状排列,或呈弥漫实性片状分布,或者在脂肪组织中广泛浸润,某些在硬化间质内只可见少数散在细胞。各种亚型的典型图像必须占优势。
(一)腺泡型
浸润癌细胞排列成腺泡状,腺泡由数十个细胞呈球状聚集在一起,之间被纤维间质束分割,其形态与小叶原位癌相似,但缺乏肌上皮细胞和基底膜包绕,有时腺泡周围可见不规则的黏液样细胞,癌细胞通常类似于经典型细胞,小‐中等大小,较均匀一致,胞质可淡染‐透明状(图1,图2)。

图1 浸润性小叶癌(腺泡型)

图2
腺泡周围有纤细的间质,癌细胞和经典型类似,胞质透明
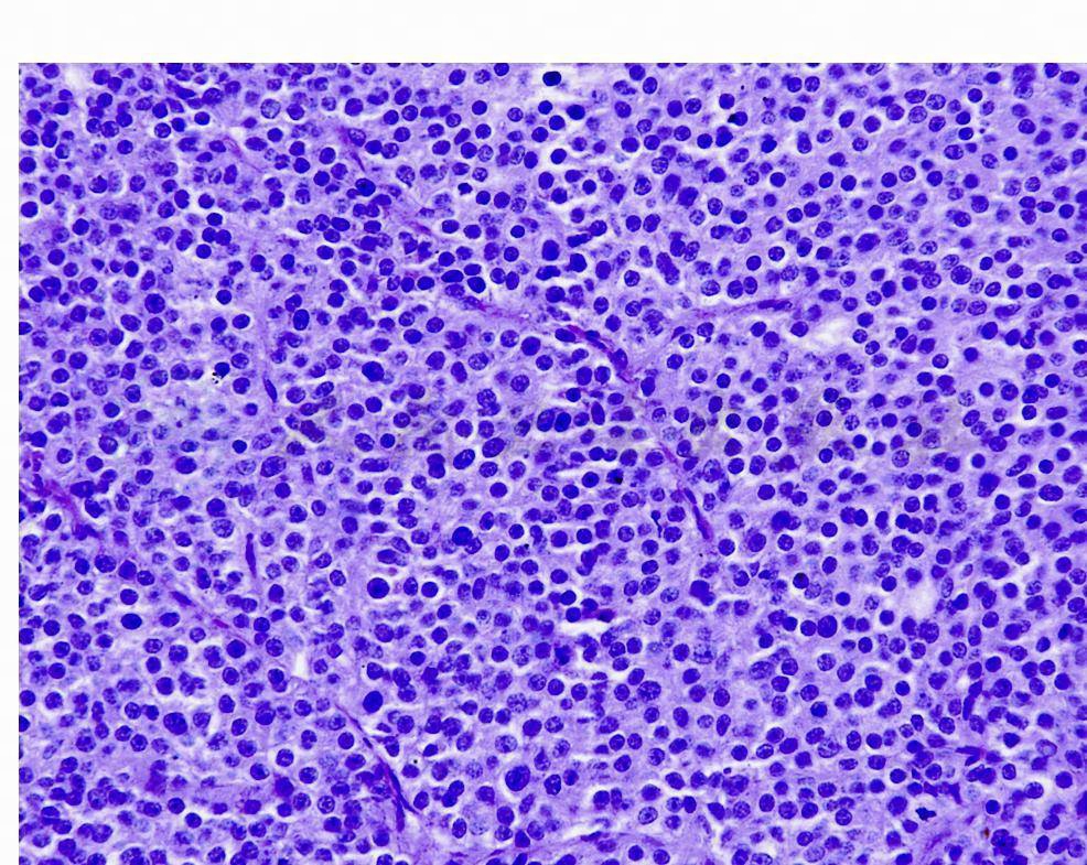
(二)实体型(弥漫型)
癌细胞呈弥漫片状分布,常将正常组织“淹没”,或者在脂肪组织中广泛浸润。细胞缺乏黏附性,小到中等大,大小一致,也可出现更明显的多形性,胞质内可有黏液和出现空泡,空泡内可见小红球,核通常和经典型的类似,也可有比较明显异型性,核分裂可比较多见。间质成分少,呈纤细束状(图3,图4)。仔细检查,通常在病变的边缘可见到经典型呈“列兵样”排列区。

图3 浸润性小叶癌(实体型)
腺泡周围有纤细的间质,癌细胞和经典型类似,胞质透明

图4 浸润性小叶癌(实体型)
浸润的癌细胞小而一致,细胞界限不清,核小而圆形,染色质细,核仁不清楚,缺乏核分裂和坏死,间质成分少,呈纤细束状
(三)小管小叶型
1977年首次由Fisher提出,名称一直沿用至今,但有学者认为此类型ILC癌更类似小管癌而非小叶癌。这种亚型的特点是由小管和经典型ILC组成,即总体上是经典型ILC的表现,但存在不同比例的小管状结构,腺管常较小,管腔通常开放,被覆立方‐低柱状细胞(图5~图7)。值得注意的是,ILC的这种亚型不同于混合性的小管癌和ILC,后者应该称为小管/小叶混合性癌。

图5 浸润性小叶癌(小管小叶型)

图6 浸润性小叶癌(小管小叶型)
经典型癌细胞散布在小管癌腺管之间
(四)多形型
癌细胞多形性和异型性均显著,可见有多核和瘤巨细胞,细胞核级常为高级别(按分级系统核计数为

图7 浸润性小叶癌(小管小叶型)
经典型癌细胞的胞质红,可见胞质内有小空泡,有的核偏位,小管癌的腺管较小,为开放不规则形,被覆立方‐低柱状细胞
3分),核大不规则,染色质粗,核仁明显,核分裂易见,细胞质嗜酸性,可见胞质内空泡和(或)黏液,亦有印戒样细胞。部分可呈组织细胞样和(或)肌母细胞样(显示向大汗腺分化),细胞质丰富,可呈泡沫或嗜酸性颗粒状,核常偏位,有的呈肾形,有明显核仁,细胞形态相似于组织细胞和颗粒肌母细胞,有文献将其称为组织细胞亚型或肌母细胞样癌(见组织细胞样癌一节)。许多病例具有经典型ILC的浸润特点,但更多的是混合性浸润方式,常在实性型和腺泡型中见到具有多形性核的细胞(图8~图13)。
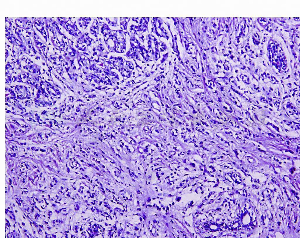
(五)硬化型
间质有广泛纤维硬化透明变,癌细胞少,散在分布或呈毛细血管状(图14,图15)。

图8 浸润性小叶癌(多形型)
癌细胞弥漫浸润,多形性及异型性明显

图9 多形型浸润性小叶癌
浸润的癌细胞多形性及异型明显,可见多核和瘤巨细胞,胞质丰富,淡染到红染,核大,有的偏位,染色质粗,核仁明显,核分裂多,异常核分裂易见

图10 浸润性小叶癌(多形型)
示小叶原位癌,原位癌细胞与浸润癌类似,有明显多形性及异型性,其旁可见浸润的瘤巨细胞,核巨大,染色质粗,多个核仁

图11 浸润性小叶癌(多形型)

图12 浸润性小叶癌(多形型)
P120原位及浸润癌细胞的胞质阳性免疫组化

图13 浸润性小叶癌(多形型)
P120浸润癌细胞的胞质弥漫阳性免疫组化

图14 浸润性小叶癌(硬化型)

图15 浸润性小叶癌(硬化型)
间质硬化透明变,癌细胞小,胞质少,核小深染,排列呈小簇状或串珠状
(六)印戒细胞型
主要由印戒样癌细胞组成,可见胞质内小红球(图16,图17)。

图16 浸润性小叶癌(印戒细胞型)

图17 浸润性小叶癌(印戒细胞型)
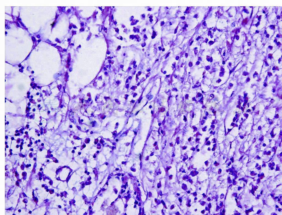
(七)小梁型
浸润的癌细胞呈小梁状,小梁细窄,由1~2层细胞组成,细胞形态和经典型类似(图18)。

图18 浸润性小叶癌(小梁型)
浸润的癌细胞呈小梁状,小梁由1~2层细胞组成,细胞形态和经典型类似
(八)混合型
在ILC中较为常见,经典型和上述1个或多个类型同时存在,尤其是与实性型、腺泡型的混合存在,与多形型的成分混合也较常见。另外,ILC中也可以有神经内分泌分化。
ILC在组织形态上有不同的类型,除了经典型外,还有许多变异型:包括实性型、腺泡型、多形型和小管小叶型等。其中最多见的是混合型和经典型(占70%以上),其次为小管小叶型,实性型、腺泡型和多形型较少见。
1.组织结构:经典型ILC具有不规则的浸润性边缘,常呈“跳跃”式多灶性分布,病灶间残存正常乳腺组织,或在小叶内浸润,保留小叶结构,癌细胞黏附性差,像撒石头子一样散布在纤维性间质中,常单层排列呈串珠状(列兵式,单列线样、泪涕状),或围绕残留导管呈同心圆(靶环状)浸润,也可排列成1~2层细胞的细小条索在间质内浸润,在局部区域内有一定方向性。近半数病例可见小叶原位癌。
2.细胞学特点:癌细胞小‐中等大小,细胞界限清楚,形态均匀一致,胞质少,嗜酸性或淡染,常有胞质内黏液和或小空泡,甚至呈印戒细胞样,胞质空泡内常可见嗜酸性包涵体样小球,典型者呈“鸟眼”样(AB/PAS染色阳性);核较小常有偏位、呈圆、卵圆形,有时可见核沟,染色质轻度增加,核仁不明显,缺乏异型性或只有轻度异型性,大多数病例缺乏核分裂,坏死少见。
3.间质改变:间质常有纤维化或透明变,少数病例很少或没有纤维化,部分病例伴有显著的淋巴细胞浆细胞浸润,少数可形成淋巴滤泡,有的亦可伴有肉芽肿性炎。神经浸润及淋巴管内癌栓少见(图19~图28)。

图19 浸润性小叶癌(经典型)
病灶呈“跳跃”多灶性分布,其间存有正常乳腺组织

图20 浸润性小叶癌(经典型)
癌细胞在小叶间、小叶内浸润,小叶结构尚存

图21 浸润性小叶癌(经典型)
癌细胞像撒石头子一样散布在纤维性间质中

图22 浸润性小叶癌(经典型)
癌细胞小而一致,散布在纤维脂肪组织中,核小深染,胞质少,呈嗜酸性

图23 浸润性小叶癌(经典型)
浸润的癌细胞中等大小,呈单列线样排列,有方向性

图24 浸润性小叶癌(经典型)
癌细胞在残存的终末导管周围呈“靶样”浸润

图25 浸润性小叶癌(经典型)
癌细胞在硬化间质内呈“单列线”样浸润,部分细胞的胞质呈嗜酸性,核偏位

图26 浸润性小叶癌(经典型)
浸润癌细胞呈列兵样排列,可见较多印戒样及胞质内含有黏液性空泡的细胞,有的可见胞质空泡内小红球

图27 浸润性小叶癌(经典型)
许多浸润癌细胞的胞质空泡内含有“鸟眼”样小红球

图28 浸润性小叶癌(经典型)
浸润癌细胞胞质空泡内的小红球AB/PAS呈阳性反应AB/PAS染色
少数病例癌细胞单列线样排列的结构不明显,癌细胞较少,呈分散杂乱的小灶状生长,这种类型的ILC一般不出现独立的肿块,绝大多数无明显大体改变。此时,在低倍镜下,病变易误认为是淋巴细胞浆细胞或间质细胞。如果活检标本中存在小叶原位癌,应该在间质中仔细观察寻找隐蔽的浸润癌灶。