颅脑外伤后,不少病人可遗留一些神经方面或精神方面的障碍,统称为脑外伤后遗症。症状的发生及严重程度与脑外伤的程度有时有一定关系,一般以血管舒缩障碍(自主神经功能失衡)、神经衰弱及癔症样症状为多见。确诊脑外伤后遗症必须持慎重态度,并认真排除脑损伤后器质性病变与产生同样症状的其他疾病,如:①外伤后慢性颅内血肿、硬脑膜下积液、外伤性脑积水;②外伤后低颅内压引起的头痛;③血管性或神经性偏头痛;④颅脑损伤后精神障碍;⑤一些全身性疾病的病人,如高血压、动脉硬化等产生的一些与脑外伤后遗症相似的症状。
1.脑软化灶
CT表现为脑内一处或多处低密度灶,呈脑脊液密度,边界清楚,大者可见负占位效应,如邻近脑室扩大,脑沟增宽等(图1~3)。MRI表现为T1加权像呈低信号,T2加权像呈高信号(图4)。
2.脑萎缩
CT表现为:①一侧脑萎缩时患侧脑室扩大,脑沟加深,中线结构向患侧移位;②局限性脑萎缩可使相应部位脑室和脑沟扩大(图5);③弥漫性脑萎缩为常见,全脑萎缩时两侧脑室、脑沟和脑池均扩大。MRI表现与CT表现相似,只不过扩大的脑室、脑沟、脑池在T2加权像呈高信号(图6、7)。
3.脑穿通畸形囊肿
脑组织坏死吸收后残腔,常与侧脑室相通,CT表现为囊腔呈低密度与脑室相通,囊壁光整、边界清,与之相通的脑室扩大(图8)。MRI表现为T1加权像呈低信号,T2加权像呈高信号,信号呈脑脊液信号,与脑室相通。
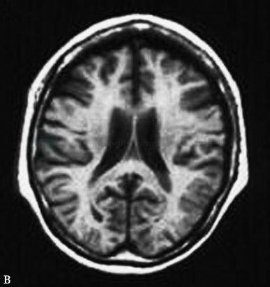
4.脑积水
CT表现为脑室、脑底池扩大,脑积水应与脑萎缩鉴别,脑积水时第三脑室及双侧脑室颞角呈张力性扩大(图9、10)。MRI表现与CT表现相似,脑积水T1加权像呈低信号,T2加权像呈高信号(图11)。
5.蛛网膜囊肿
多见于较大的脑池处,如侧裂池、鞍上池、枕大池等。颅脑外伤后蛛网膜囊肿为继发性,外伤引起蛛网膜粘连,使局部蛛网膜下腔呈囊样扩张。CT表现为囊样低密度,边界清,壁光整,可有不同程度的占位效应,一般占位效应较轻。MRI表现为囊样长T1、长T2异常信号(图12)。

图1颅脑外伤后脑软化灶
CT平扫显示左侧枕叶片状低密度区,左侧脑室三角区及枕角扩张,局部脑沟加宽

图2颅脑外伤后脑软化灶
CT平扫显示左侧额叶片状低密度区,左侧脑室前角扩张

图3颅脑外伤后脑软化灶
CT平扫显示右侧额、颞叶片状低密度区,右侧脑室前角及颞角扩张,局部脑沟增宽


图4颅脑外伤后脑软化灶
A.B.T1WI轴位及冠位显示右颞叶大片状低信号区,右侧脑室扩张,脑沟增宽,中线结构向同侧移位


图5颅脑外伤后脑萎缩
A.B.轴位T1WI、T2WI示双枕叶脑沟、裂增宽加深,侧脑室后角扩张


图6颅脑外伤后脑萎缩
A.B.轴位T1WI显示全脑脑沟、脑池扩大,脑室系统扩张



图7颅脑外伤后脑萎缩
A.B.C.轴位T1WI显示全脑脑沟、脑池扩大,脑室系统扩张

图8外伤术后脑穿通畸形、脑萎缩
轴位T1WI显示右额叶大片状低信号区,局部脑沟明显加深,并可见囊样信号与侧脑室相通,右额颞骨术后状态


图9外伤后脑积水
CT平扫显示第三脑室及双侧脑室呈对称性扩张

图10外伤后脑积水
轴位T1WI侧脑室明显对称性扩张,脑沟略增宽



图11外伤后脑积水
轴位T2WI显示脑室系统扩展明显,蛛网膜下腔扩张

图12外伤后蛛网膜囊肿
轴位T2WI显示左顶蛛网膜下腔囊性扩张,相应颅骨受压变形
治疗上应以心理治疗为主,辅以药物及物理治疗。



