英文名称 :polycystic liver
中文别名 :多囊肝;肝囊性病
非寄生虫性多发性肝囊肿又叫多囊肝或肝囊性病。本病为先天性原因,多囊肝是一种常染色体显性遗传病。目前已知与多囊肝相关基因包括:独立型多囊肝基因PRCKSH、SEC63,多囊肾病基因有PKD1与PKD2。多囊肝好发于女性。因肝内管道系统的连接异常,在肝内形成无数的潴留性囊肿。管道畸形主要为淋巴管异常,囊内液体为淋巴性。
Gigot等于1997年提出根据CT扫描所显示的肝内囊肿数目、大小及剩余肝实质量将多囊肝分为以下3型:Ⅰ型是指肝内有数目<10个的大囊肿 (直径>10cm);Ⅱ型是指肝内弥漫分布多发、中等大小的囊肿,数目>10个,但还剩余较多量正常的肝实质;Ⅲ型是指肝内弥漫分布多发、小至中等大小的囊肿,且仅剩余少量正常的肝实质。
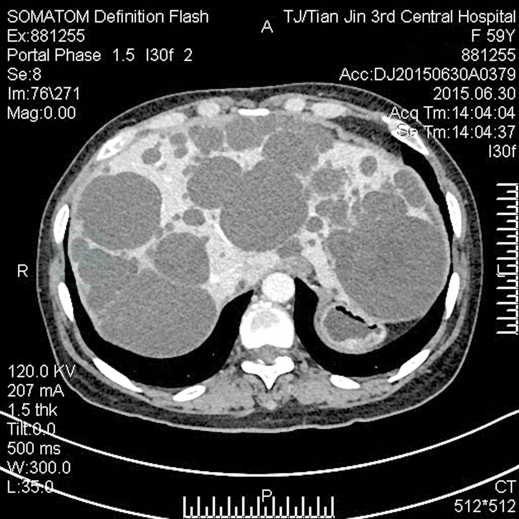
B型超声波和CT检查可见到肝内有无数大小不等的囊肿 (图1),囊肿彼此相连,多呈簇状分布,多房融合成分隔,之间多无正常肝组织,囊肿所占肝体积50%以上。

图1 多囊肝CT门静脉期
本病的最后转归为多为囊肿压迫肝组织萎缩最后导致肝功能不全,外科手术不能得到根治。超声引导肝囊肿穿刺抽液、硬化剂注射治疗,起到暂时缓解症状的目的。对囊肿较大有压迫症状者可做开腹或腹腔镜手术,对大囊肿逐一做开窗术,以后囊内液体溢至腹腔内可通过腹膜吸收,能达到延缓病程和解除压迫的作用。可用于GigotⅠ型、部分Ⅱ型的多囊肝患者,为暂时姑息治疗。开腹或腹腔镜下肝囊肿切除术,适用于肝功能好、至少有部分肝脏没有明显病变的GigotⅡ型、Ⅲ型的多囊肝患者;多囊肝有肝功能不全的威胁,不合并其他器官多囊性变者,是肝移植的适应证。合并多囊肾导致肾功能不全的必要时可行肝肾联合移植术。



