脾脏本身是一个很大的淋巴造血组织,常为恶性淋巴瘤侵及的部位,尤其是HD晚期极易侵及脾脏。原发性脾脏恶性淋巴瘤的发生率很低,占恶性淋巴瘤的1%~2%,男性发病几率略高于女性,发病年龄多在40岁以上。左上腹部疼痛及肿块是常见的症状,部分患者伴有低热、食欲减退、恶心、呕吐、贫血、体重减轻或乏力,少数患者可表现为胸腔积液、呼吸困难、急腹症等。体格检查可见脾脏明显增大,肿大的脾脏多失去原来的形状,常呈不规则形,边缘钝,脾切迹多摸不清。有时脾表面可触及硬性结节,有触痛。
原发性脾脏恶性淋巴瘤治疗原则为:首选剖腹探查术,术中明确肿瘤外侵范围,常规行肝脏、腹腔淋巴结活检,并辅以术后化疗。对于继发性脾脏恶性淋巴瘤,主要是选择系统性化疗。脾脏恶性淋巴瘤预后与首发部位、分期及病理类型有关,尤其是后两者。
1.NHL
脾脏的大小相差悬殊,但巨脾多见,可光滑如正常脾,可呈粟粒或绿豆大小不等之结节状,或多个较大结节或单个巨块等,切面亦然。原发性脾脏恶性淋巴瘤大体病理分为4型:①均匀弥漫型:表现为脾均质性增大,肉眼光滑不见结节,镜下瘤细胞弥漫分布或直径小于1mm的小结节;②粟粒结节型:脾均匀肿大,表现为直径1~5mm的粟粒状结节;③多肿块型:多发肿块,灰白结节,直径2~10cm;④巨块型:单发的大肿块,与正常脾组织分界清楚,可有出血坏死和梗死。组织学类型多属弥漫性NHL,以大细胞为主,B淋巴细胞来源多见。
2.HD
脾脏原发性HD极少见,但他处之HD累及脾脏者可达35%~40%。大体呈巨脾状,切面见多个大结节或散在不规则结节或孤立结节或粟粒样结节。光镜下,早期病变或局限性病变,常位于小动脉周围淋巴鞘或边缘区,其细胞形态与结内者无异。脾脏HD不分型。
原发性或继发性脾脏恶性淋巴瘤的影像诊断以往主要依靠超声、CT,近年来,MRI逐渐被临床应用,其优异的软组织分辨率对脾脏原发、继发淋巴瘤诊断、鉴别诊断有非常重要的作用。超声成为筛查淋巴瘤脾脏是否受侵最常用的手段,CT是在淋巴瘤分期方面很有价值的影像诊断工具,而MRI在诊断、鉴别诊断方面的作用越发明显。
1.超声
脾脏淋巴瘤浸润可以是弥漫性或灶性的低回声病变,其边界光滑或不规则,没有低回声晕圈。弥漫性浸润表现为脾内有直径小于1cm的斑点样不均匀病变,可累及整个脾或其一部分。在恶性淋巴瘤患者出现低回声的脾病变,实质上可以肯定是肿瘤形成。
2.CT
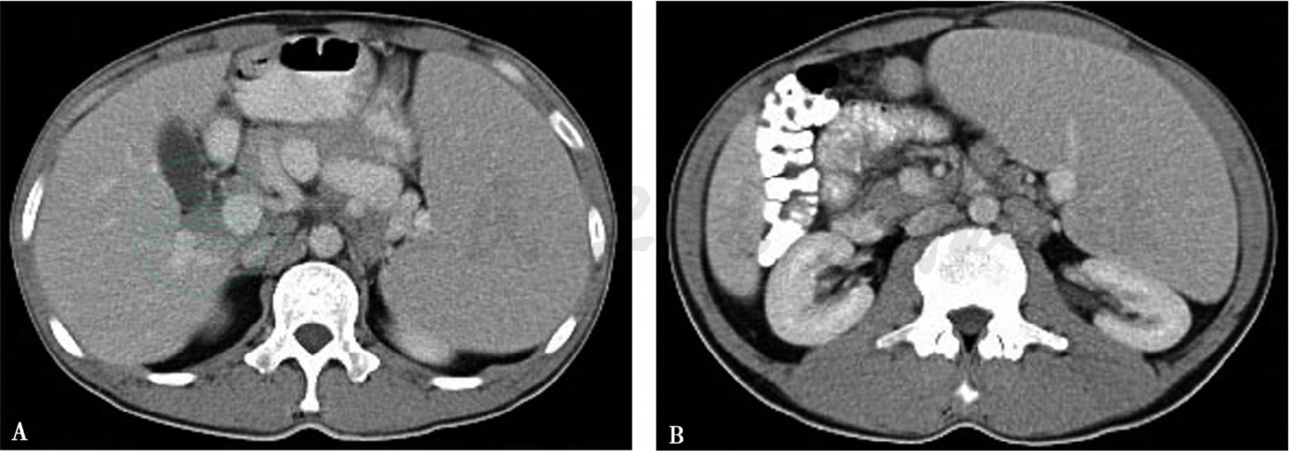
(1)弥漫浸润型和粟粒结节型平扫均可表现为密度较均匀的脾脏增大,CT值可正常或略低于正常脾组织,增强后部分病例呈较均匀强化(图1),部分病例呈不均匀强化,增强扫描作用较平扫明显,与肝脏一样,并不强调动脉期扫描,而且动脉期脾脏强化本身就不均匀,容易出现假阳性,而门脉期正常脾脏密度趋于均匀,容易与病变区别,故强调门脉期扫描的重要性。

图1 男性,40岁NHL,弥漫大B细胞
A、B.上腹部CT增强扫描,显示脾脏明显肿大,超过肝脏下缘,密度尚均匀。腹膜后可见肿大淋巴结,左肾受压改变
脾大对淋巴瘤累及脾脏的诊断是有限度的,即使脾脏体积正常,仍约有1/3患者实际已有脾脏浸润,而淋巴瘤伴脾脏肿大患者中约有1/2脾脏没有累及,约1/3无淋巴瘤浸润的脾脏会出现轻到中度反应性脾大。而明显的脾脏肿大几乎总是提示淋巴瘤脾脏浸润。
(2)多发肿块型表现为脾脏内多发低密度灶,边界可清楚也可模糊,增强后病灶强化不明显(图2),与明显强化的正常脾组织对比更清楚,门脉期及延迟扫描价值要大于动脉期,因为动脉期扫描脾脏密度不均匀,不易判断脾脏病灶的真正大小、边界。

图2 脾脏内多发低密度灶
(3)巨块型表现为左上腹巨大占位,平扫往往是低密度,增强后可呈均匀或不均匀强化,正常脾脏组织可完全消失或仅残留少许。
3.MRI
(1)弥漫浸润型和粟粒结节型,T2WI对显示病灶较敏感,在正常脾脏较高信号背景下,表现为多发低信号小结节,有时仅表现为脾脏弥漫性信号略减低,T1WI信号通常无异常表现,少数病例表现为略低信号,注射Gd-DTPA可以帮助显示脾脏浸润性病灶,和CT扫描一样,要注重实质期以及延迟期扫描。
(2)当淋巴瘤脾脏浸润表现为弥漫性脾脏肿大而无明显信号异常时(图3),MRI诊断价值尽管有限,但可以提示脾脏可能受淋巴瘤浸润,从而对进一步指导临床治疗方案提供帮助。

图3 男26岁,胃NHL
A.T2WI,脾脏肿大,信号均匀,脾门、腹腔干周围见多发肿大淋巴结;B.T1WI,脾脏肿大,信号低于肝脏;C.治疗后FSPGR T1WI增强扫描,脾脏缩小,信号趋于均匀
(3)巨块型及多发肿块型淋巴瘤脾脏浸润MRI信号改变相仿,在T2WI比脾实质信号强度略高或中等度高信号,有时病灶信号低于脾脏实质。在T1WI在病灶呈等信号或略低信号。增强扫描,病灶通常无明显强化,少数可有边缘强化,边界较增强前清楚。
当超声、CT及MRI显示脾脏病变合并腹膜后、脾门、肝门及胰周肿大淋巴结时,对诊断是有一定帮助的(图1~图3),特别当肿大淋巴结位于肾门水平以下时,因为转移性淋巴结肿大很少累及肾门水平以下。