英文名称 :developmental displasia of the hip
中文别名 :发育性髋关节脱位;先天性髋脱位
发育性髋关节发育不良(developmental displasia of the hip,DDH)),也有称为:发育性髋关节脱位(developmental dislocation of the hip),是小儿骨科最常见的下肢畸形之一。发病率为:约在9‰~13.39‰之间,其中完全性髋关节脱位的发生率为1‰~2‰,女孩多见,约(5~7)∶1。有明显的种族差异:白种人最多,黄种人其次,黑人最少。其中60%的病例为左侧发病,20%为右侧发病,20%为双侧发病。
自1887年William Adams首次在英国医学杂志提出了先天性髋脱位(congenital dislocation of the hip,CDH)至今,人类对儿童髋脱位的认识和研究已逾百年,随着临床研究及科学技术的不断发展,人类对髋关节脱位的病理发生、危险因素、治疗手段及预后评估等方面的认识也在不断更新。
1992年北美小儿骨科学会(POSNA)将先天性髋脱位一词正式改名为发育性髋关节发育不良或髋关节脱位(developmental dysplasia or dislocation of the Hip)。命名的改变更贴切于疾病的病理改变及发育特征,其涵盖了胚胎、胎儿及婴儿时期,包括了从髋关节发育不良到髋关节半脱位、髋脱位的所有病例。
髋关节发育不良的早期诊断、早期治疗可以获得正常或者近于正常的髋关节已经得到公认。发达国家对此病已经列为常规新生儿筛查或者新生儿高危人群筛查,其中的高危因素包括女婴、阳性家族史和臀位产。在我国的一些城市也在逐渐开展这项工作,如天津、北京、上海等,但远远不够,希望在不久的将来,这件事情能够成为政府行为,使这类患儿获得正常的生活。
临床上,髋关节发育不良有时伴有斜颈、内旋步态以及马蹄内翻足畸形,有时为多关节挛缩,此类属于先天性畸形范畴,不在本文所述范畴。
1.遗传因素
此病有明显的家族史,尤其在双胎婴儿中更为明显。有此病的患者家族中其发病率可以高达20%~30%,而且姐妹中更为多见。
2.体位与机械因素
有人报道髋关节发育不良病例中臀位产高达16%~30%,而正常生育中臀位产仅占3%。MacEwen和Ramsey在对25 000个新生儿的普查中发现,臀位产的女婴发生髋关节发育不良的比例为1∶35。臀位产使髋关节在异常位置上遭受机械压力,容易引起股骨头脱位。多见于第一胎,有家族史的占10%。亦有人认为,出生后的体位是引起此病的一个因素,如新生儿采用蜡烛式襁褓位的国家和地区本病的发病率高,如印第安和中国的北方地区,故目前已经在进行广泛宣传,以废除蜡烛式襁褓位包裹新生儿。
3.激素因素(引起关节松弛)
近年来越来越多的报道证明关节韧带松弛是一个重要因素。临床上发现母体在生产过程中需要大量的内分泌激素(雌激素),结果使盆腔韧带松弛,而宫内胎儿也受其影响,关节韧带松弛,出生后可能发生股骨头脱位,发生髋关节发育异常的患儿,也常常伴有关节松弛症。
4.原发性髋臼发育不良
Wynne-Davies报道有一个家系都有“浅髋臼”表现,称为“发育不良株”。提示原发性髋臼发育不良可能是先天性髋关节发育不良的一个危险因素。
典型的髋关节发育不良分为三种类型。
1.髋发育不良
又称不稳定髋关节。这一类仅在检查中方可发现。髋臼发育较差,髋臼指数在1岁时往往超过25°,但无其他表现。目前,髋关节发育异常的常规筛查,使得这种类型的髋关节发育异常的比例比过去明显升高。
2.髋关节半脱位
这类病例中,股骨头、髋臼发育较差,股骨头向外上方移位,但并未完全脱出髋臼。X线检查可以看到股骨头向外上方移位,髋臼指数增大至35°或更大。髋关节半脱位是独特的一型,而不是髋发育不良与髋脱位的中间过渡阶段。它可以保留这种情况而不转化到完全脱位状态,除非有外来因素促使这种变化。
3.髋关节脱位
此类型往往在小儿开始学步行走时或行走后有症状来就诊。股骨头已经完全脱出髋臼而向上、向外移位。股骨头向上向外移位程度,随着年龄的增加而有所增加。
根据Harris提出的股骨头和髋臼同心是髋关节发育的先决条件的原理,一旦发生脱位,头臼发育迟缓,随着时间推移,病理改变日益加重,这已被动物实验所证实。英国Dun指出,10%新生儿有髋脱位,其中85%髋关节形态是正常的。但是在临床婴儿的髋脱位中,髋臼的病理变化并非一致,如何解释值得商榷。
发育性髋关节发育不良的病理变化包括骨骼和软组织两部分,其改变随着年龄的增加而逐渐加重。
1.骨骼的变化
髋关节发育不良是最重要的变化。包括髋臼、股骨头、股骨颈,严重者还可影响到骨盆和脊柱。
(1)髋臼
在出生时尚属正常,而在髋臼外上缘处有切迹。随着生长发育,髋臼逐步变窄而浅,呈三角形。脱位的股骨头的局部刺激使髂骨翼出现骨性凹陷而形成假臼,髋臼前缘内上方往往可见骨骼缺损。
(2)股骨头
正常股骨头呈球形,而髋关节发育不良的患儿在新生儿期股骨头也仍为圆形,表面有光滑的软骨面。而后由于脱位于髋臼外,股骨头的形状可逐步改变,股骨头骨骺发育迟缓。股骨头发育较小,随着脱位时间的延长失去球形而变得不规则,甚至出现表面软骨的点状脱失。
(3)股骨颈
股骨颈一般变短变粗,股骨颈前倾角变大,正常新生儿的前倾角为25°,以后逐步减少,至2岁时逐渐减少至15°。当股骨头外移后,由于正常肌肉的收缩,使股骨头向前旋转,前倾角因而增大,有时甚至可达60°以上。
(4)骨盆和脊柱
严重的一侧髋脱位的患儿,随着年龄的增长,会由于肢体短缩,而发生骨盆倾斜以及脊柱侧弯,两侧脱位时,会发生腰椎前突弧度增加。
2.软组织的变化
软组织的变化主要包括盂唇、关节囊、韧带以及髋关节周围肌肉的变化。
(1)盂唇
盂唇多半见于髋臼后上部,它的增生与肥大使股骨头不能直接指向髋臼中心。术中往往可以看到盂唇增厚、内翻。
(2)关节囊
正常的髋关节囊是一层纤维组织,厚度0.5~1.0mm。脱位的关节囊往往拉长增厚,有时可达2~3mm之多。由于关节囊的拉长,髂腰肌经过关节囊前方使关节囊出现压迹,严重者可引起关节囊狭窄而呈葫芦状,阻碍股骨头的复位。有时关节囊长期牵拉使关节囊与髋臼上方髂骨翼粘连,使髋臼呈封闭状,这时,股骨头复位更为困难。
(3)圆韧带
正常圆韧带连接股骨头中心凹与髋臼的内下方。髋关节脱位后,关节囊与圆韧带同时受到牵拉而拉长增厚,有时与关节囊粘连而消失,圆韧带内的中心动脉亦因牵拉增厚而过早闭塞。
(4)肌肉与筋膜
随着股骨头向上移位,髋关节周围的肌肉以及筋膜,如臀肌、阔筋膜张肌、内收肌群以及髂腰肌等均有不同程度的挛缩。
一、体格检查
在新生儿和出生后6个月内的小婴儿期,仔细的临床检查非常重要。如果在这个期间得到正确的诊断和治疗,其治疗方法简单,治疗效果明显,甚至可以终生获得一个正常的髋关节。
1.臀纹不对称
由于对于髋关节发育不良的认识逐渐提高,我国许多地方的产科医生、妇幼保健科医生都对新生儿或者生后第一次体检的新生儿进行皮纹检查,如果发现臀纹不对称,则推荐到专科医生进行进一步的检查(图1)。但是,髋关节发育异常时大部分患儿会有臀纹不对称,但臀纹不对称未必一定是髋关节发育异常。

图1 臀纹不对称
2.Ortolani试验或Ortolani征
这是一种一次只能检查一侧肢体的方法,检查时将小儿仰卧在检查台上,保持平静,检查者的示指和中指放在股骨大转子处,拇指则放在大腿的内侧,与此同时对侧拇指、环指或中指放在两侧髂前上棘固定骨盆。另外也可以用同样的方法握住另一侧大腿,并将髋关节保持外展。将髋关节屈曲90°并轻柔地外展,同时随着髋关节的内旋或外旋提拉下肢,当脱位的股骨头复位至髋臼时可感觉到明显的弹响声(clunk)。这一检查称为Ortolani征(Ortolani试验阳性)(图2)。
3.Barlow试验
是使不稳定的髋关节脱出或半脱出的检查方法,是用Ortolani试验相同的手法固定骨盆和握住大腿,将髋关节沿中线外旋/内旋并屈髋90°,然后将下肢轻柔内收并对膝关节轻微向后加压,有明显的弹响或向后运动的感觉为阳性(即Barlow征),应分别检查两侧髋关节。Barlow试验阳性说明关节松弛,存在潜在的半脱位和后脱位(图3)。出生3个月以后,随着软组织挛缩进一步加重,Ortolani试验和Barlow试验的可靠性下降。
4.Galeazzi征(Allis征)
是将新生儿或者小儿仰卧于检查台上,使骨盆水平,将髋、膝关节屈曲至90°,双足踝对称平放于检查台面,髋关节保持于中立位,确定双膝是否在同一高度,如果一侧显示较低,则提示该侧髋关节向后方脱位(图4)。此时称为Galeazzi征阳性。此为单侧髋关节脱位的体征之一。

图2 Ortolani征(Ortolani试验阳性)以及示意图

图3 Barlow征以及示意图

图4 Galeazzi征(Allis征)以及示意图
5.外展试验
将小儿仰卧在检查台上,保持平静,屈髋、屈膝各90°,双手握住膝关节并同时外展髋关节,膝关节外侧不能抵达检查台,患侧只能达75°~80°,同时内收肌表现明显紧张,此时称为外展试验阳性(图5)。

图5 外展试验阳性以及示意图
6.步态异常
单侧髋脱位走路跛行,而双侧者常常表现为摇摆步态和腰椎前突臀后突。
7.Trendelenburg征
患儿站立,当健侧单腿站立、患腿上抬时,骨盆同侧升高。相反,当患肢单腿站立时,因患侧股骨头不在髋臼内,加上臀中肌短缩无力,髋关节不稳,致使骨盆向下垂。称之为阳性。
8.大转子高位
正常小儿自髂前上棘经大转子顶点至坐骨结节呈一条直线,称作Nelaton线。当股骨头不在髋臼内而向上脱位时,大转子随之上升,这三点不在一条直线上,称之为Nelaton线破坏。
二、影像检查
1.B超检查
在股骨头骨骺核出现之前,股骨头完全由软骨组成,此时最常用的是B超检查对于软骨性股骨头和髋臼进行可视性检查,B超分为静态(Graf,1984)和动态(Clarke,1985)两种方法,前者可以清楚地显示股骨头和髋臼的解剖形态,共分为Ⅳ型(表1);而后者可以提供髋关节稳定方面的信息,目前国内多采用Graf方法,但髋关节超声检查最主要的局限性在于检查结果依赖于操作者的经验和技巧,尤其是对于生后3周内的婴儿进行检查时,因此,有学者提出:髋关节超声检查是作为一种临床评估的辅助方法。但在我国的很多地区,超声检查仍作为6个月前筛查的方法。
2.X线检查
在没有髋关节超声检查的地区和有超声检查的5~6个月的婴儿,X线检查是必需的,而且,目前公认的DDH诊断的金标准仍然是骨盆前后位的X线片。通过骨盆正位片,可以观察到髋关节发育的情况和股骨头脱位的高度,而进行分型,也有助于指导临床治疗方法的选择。X线片应包括双侧髋关节的骨盆片。在骨盆正位片上需要进行测量的数据有(图6):
1)股骨头的位置
作连接双侧髋臼Y形软骨的水平线(称Y线或Hilgenreiner线)与自髋臼外缘与此线的垂线,形成Perkni方格,正常情况下股骨头骨化中心位于Perkni方格的内下象限,如位于外下或者外上象限即为异常。
2)髋臼指数
自Y形软骨中心至髋臼外上缘作连线,此线与Hilgenreiner线间夹角称髋臼指数,出生时髋臼指数可达30°,随小儿年龄的增长髋臼指数逐渐减小,1岁时为25°,2岁以上者在20°以内。若髋臼指数异常增大,提示髋臼发育不良。
3)中心边缘角(CE角)
取股骨头中心为一点,画垂直于Y线的一条线,以此为中心再向髋臼外缘连另一条直线,两线所形成的角度即为中心边缘角,此角正常大于15°,在髋关节异常时小于15°,甚至成负角,提示股骨头外移,为脱位或半脱位。
表1 B超检查的Graf分型


图6
(1)正常骨盆正位片;(2)左侧髋关节脱位:股骨头位于Pekin’s方格的外上象限,髋臼角大,Shenton线不连续
4)沈通线
是指闭孔的内上缘和股骨颈的内侧缘之间的弯曲线,正常情况下,此线连续,但在髋关节发育异常时,此线的连续性中断。
3.CT
曾经作为大龄患儿手术前评估股骨颈前倾角的方法进行,但由于CT射线可能造成对小儿的影响,已经越来越少用。
4.MRI
由于无射线以及对于髋关节内以及周围的软组织显像的特点,而逐渐被用于婴幼儿髋脱位闭合复位前后的检查,但由于此方法需要对于小儿进行检查前的镇静用药而并没有作为普及的常规方法。多数是作为临床研究的观察而选用。
大量临床观察证实:对于出生后4周内,体格检查疑似髋关节脱位和已经确诊为髋关节半脱位的患儿进行监护性治疗是有益的。但临床医生必须知道,在新生儿期,超声检查提示有轻微髋关节发育不良,常可以自行恢复,这种生理性的髋关节变异有可能导致髋关节过度治疗,4~6周后,对于有DDH高危因素的婴儿进行超声检查,以及早期干预对结果的随访非常有效。我国小儿骨科,正在着手进行DDH临床治疗共识的制订,相信会对该病的治疗起到临床指导作用。
DDH早期诊断、早期治疗,可以使患儿获得一个几乎正常的髋关节已经得到公认。所以在发达国家,早已经做到了对于新生儿由经过专业培训的保健医生进行髋关节的筛查,然后转到小儿骨科专科医生处治疗,但在我国的大部分地区还做不到这一点,所以,我们有责任进行这方面的工作,让全民皆知。
髋脱位治疗方法的选择和诊断时的年龄有关,年龄越小、方法越简单、效果越好,并发症越少。
1.出生后至6个月龄患儿的治疗
对于0~6个月的可复性髋关节发育不良用Pavlik吊带(图7)进行治疗,这是一种允许患儿自主活动,使髋关节出现圆周样活动,进而促使髋关节加深和稳定。Pavlik吊带应该在诊断为DDH后尽早应用,应用时间的长短取决于诊断明确时的年龄,通过定期的体检以及超声检查来判断病情的恢复情况。对于完全性髋关节脱位的患儿,如果使用Pavlik吊带4周无改善,应放弃该治疗方法,而改为闭合复位,并通过髋关节造影评估复位的结果。Pavlik吊带治疗的成功率不尽相同:稳定的髋关节成功率达100%;Balow征阳性的为90%;Ortholani征阳性的可复性髋脱位为61%~93%;而不可复性髋脱位的成功率仅为40%。

图7 Pavlik吊带治疗髋关节发育不良
2.18个月以下婴儿的治疗
闭合复位、石膏、支具固定。关于对于髋关节完全脱位的患儿复位前是否进行牵引,目前有两种观点,一种是:牵引会增加复位成功的机会和减少复位后股骨头坏死的并发症;而持不牵引的观点的学者认为:牵引并没有明显的上述结果,目前,西方许多国家已经不再进行复位前牵引,但在2011年6月在日本歧阜举行的APOA会议上,亚洲的大多数小儿骨科学者仍然认为复位前牵引对于较少股骨头坏死的发生仍然重要,不应放弃。近几年来,我国多数医院也已经不再进行复位前的牵引,但有待于多中心研究,以观察复位前是否需要牵引。
但需要在麻醉下进行一次性复位,以及复位前进行内收肌或者加髂腰肌的切断是所有小儿骨科医生临床上坚守的。复位后稳定角多数掌握在至少20°,复位后采用人位石膏固定,多数固定3个月,然后换为人位支具继续固定3个月,但也有学者,支具固定6个月,也就是治疗周期为9个月。不可复位性髋关节脱位并不多见,可以采用髋关节切开复位后进行上述固定。
3.18个月以上小儿的治疗
需要进行髋关节囊切开复位、骨盆截骨术。常用的截骨术有:Salter骨盆截骨术、Dega或者Pemberton髋臼成形术。
Salter骨盆截骨术是改变髋臼方向而不改变髋臼容积的术式,其适应证有:年龄小于6岁、头臼比例对称、髋臼指数不超过40°。需要术者遵守原则。
而Dega或者Pemberton髋臼成形术是属于改变髋臼容积的手术方法,术中需要在C形臂机监护下进行,同时要注意防止损伤髋臼软骨。
一般临床上对于6~8岁大龄儿髋关节脱位因其治疗后效果不佳、并发症多,治疗原则:双侧不再进行治疗,单侧还是可以进行手术治疗。
作者从1984年起在导师的指导下开始进行髋关节复位后髋关节形态的变化观察以及动物实验的研究,发现:髋关节脱位复位拆除支架后出现的半脱位或者关节发育不良,可以进行持续观察2~3年,部分患儿会随年龄的增加,表现出髋臼逐渐发育,并接近于正常,而对于观察后仍持续有髋关节半脱位或者髋臼发育不良者,才考虑进行手术干预(图8~图13)。同时对22例髋脱位复位后股骨头坏死还观察到:股骨头坏死的最终结局与股骨头坏死的类型有关,根据Salter提出的股骨头坏死的分型,Ⅰ、Ⅱ、Ⅲ型,均会有很好的恢复,只有Ⅳ型会残留有明显的后遗畸形。股骨头坏死、髋关节半脱位以及髋臼发育不良常常同时存在。

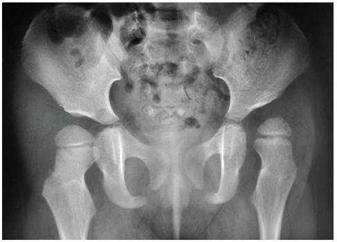
图8 左侧髋关节脱位、右侧髋臼发育不良

图9 闭合复位后固定

图10 闭合复位去支架固定后复查见有股骨头坏死以及半脱位

图11 闭合复位后2年

图12 闭合复位后4年

图13 闭合复位后8年
在我国目前尚不能完全开展对新生儿的筛查,但产科医生、儿童保健医生、小儿内科医生应该对于发育性髋脱位有一个很高的认识,不遗漏患者,相关政府部门应该给予政策,对高危婴儿进行筛查,包括:①有发育性髋脱位家族史者;②发育性髋脱位的高发区和民族;③出生后大腿、臀部皮纹不对称者;④存在关节松弛症婴儿;⑤臀位产和剖宫产分娩者;⑥女孩第一胎;⑦存在先天性马蹄内翻足等四肢畸形者。
宣传保持婴儿髋关节屈曲、外展、外旋位的最稳定的姿势。开展科学育婴的宣传工作及普及维护髋关节稳定的襁褓方法,弃去蜡烛样的襁褓方法。