英文名称 :traumatic perforation of tympanic membrane
外伤性鼓膜穿孔(traumatic perforation of tympanic membrane)指外力作用使鼓膜破裂穿孔。大部分是由于外力间接损伤所致,如掌拳击伤、爆炸伤,潜水压、气压伤等;小部分是直接损伤所致,如挖耳、外耳道冲洗或其他医源性等。大部分的外伤性鼓膜穿孔均能自然愈合,但仍有一部分患者由于继发感染或穿孔面积较大而导致穿孔长时间未能愈合,需要手术干预。
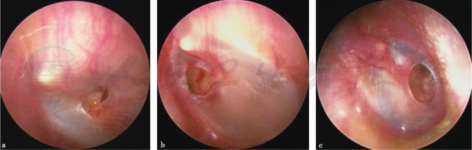
大部分外伤性鼓膜穿孔的部位位于鼓膜紧张部,由于紧张部鼓膜固有层的纤维大部分呈放射状排列,而仅在靠近鼓环边缘处才有较多环状纤维,因此我们临床上见到外伤性穿孔形态最多的为梭形、裂隙状(图1A)。但不同程度的外伤可导致不同程度的损伤,因此亦可呈现圆形(图1B,图1C)、椭圆形(图2A)、不规则形等不同大小的大穿孔,甚至可出现多处穿孔(图2B)。既往文献根据穿孔面积大小可分为小穿孔(穿孔面积<1/2象限,或<7mm2)、中穿孔(穿孔面积为1/2~2象限,或7~20mm2)、大穿孔(穿孔面积>2象限,或> 20mm2)。不同大小面积的穿孔其愈合率也不同。Jelling通过对133例137耳外伤性鼓膜穿孔进行临床观察发现,约97%可自行愈合,平均愈合时间为3~4周,且穿孔大小是影响愈合时间的重要因素。另有研究报道,患者年龄大、并发感染、鼓膜上皮内翻等均影响穿孔愈合。

图1 鼓膜穿孔
注:a.梭形小穿孔,<1/2象限;b.圆形小穿孔,上皮外翻,<1/2象限;c.圆形中穿孔,1/2~2象限。

图2 鼓膜穿孔
注:a.椭圆形大穿孔,穿孔面积>2象限;b.多处不规则穿孔。