英文名称 :gastric lipoma
胃脂肪瘤好发于胃之远端,尤以胃窦后壁多见。其发病率约为胃良性肿瘤的3%;多见于50岁以上患者;多为单发,偶有多发;粘膜下层和浆膜下层均可发生,但90%位于粘膜下层;大小常在1~5cm之间,很大者常见于胃上部;幽门窦区的脂肪瘤多有蒂,目前尚无恶变的报道。
○ 肿瘤以胃窦部多见,多为单发,95%位于黏膜下层向胃腔内生长,5%向胃腔外生长。
○ X线表现为圆形或卵圆形肿物,光滑,单发或多发,无蒂,密度较低,压迫时形态可变。
○ CT表现为胃内脂肪密度占位性病变,密度均匀一致,增强扫描不强化(图1)。如果肿物内有软组织密度、有分隔及肿物分叶不规则等征象,提示为脂肪肉瘤之可能。




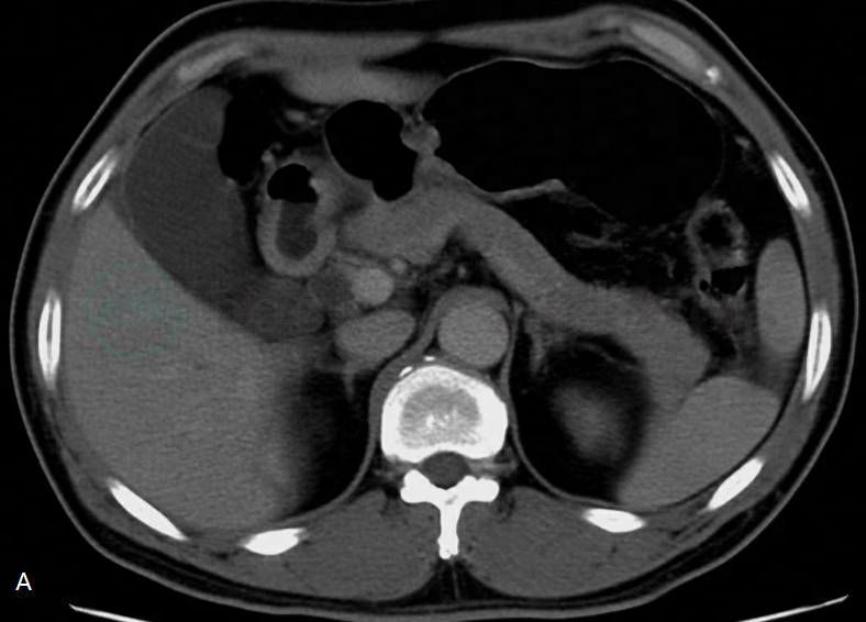
图1 胃窦部黏膜下层纤维脂肪瘤
A、B. CT增强扫描横断面示胃窦近后壁处凸向胃腔内生长的结节影(白箭),大小约3.0cm×2.0cm,边界清楚,病变密度略不均匀,以脂肪密度为主;C、D. 胃气钡双对比造影:胃窦小弯侧见一充盈缺损(黑箭),凸向胃腔内,大小约1.9cm×3.3cm,局部黏膜规则,未见龛影,胃壁柔软
○ 超声诊断:
其声像图和病理特征 (图2)如下:

图2 胃脂肪瘤
A.超声显示自胃黏膜下层向胃腔内凸出的中等均匀回声团;B.病理提示胃黏膜下脂肪瘤
(1)起自胃黏膜下的实性肿块,形态多呈圆形球体状,以向胃腔内生长多见。
(2)肿块内部为均匀中等或略偏低回声。
(3)肿块黏膜表面较光滑。
(4)当胃腔充盈时,可清晰显示肿块向胃腔内凸出并呈漂浮样。
(5)周围胃壁无明显受累。
(6)彩色多普勒较少见血流信号。
本病治疗应根据肿瘤大小,部位及有无症状而定。小于2cm的肿瘤可用胃镜行粘膜下切除或应用圈套器电切摘除;肿瘤大于2cm以上,症状明显者可行胃部分切除或胃大部分切除术。



