英文名称 :fracture of metacarpal bone
掌骨骨折是临床常见的手部骨折之一,多见于成人,儿童较少见。掌骨为小管状骨,由桡侧依次是第1~5掌骨,每骨通常被分为掌骨基底部、掌骨干、掌骨头三个部分。第1掌骨短而粗,活动性较大,骨折多发生于基底部,常合并腕掌关节脱位。第2、3掌骨长而细,当握拳击打它物时容易发生骨折。第4、5掌骨稍短而细,特别是第5掌骨最易遭受暴力而发生掌骨颈骨折。
掌骨骨折多为直接暴力造成,暴力多种多样,如重物压砸伤、机器绞伤、压面机挤伤车祸压轧伤等。这种力量往往比较大,常造成皮肤、神经、肌腱等组织的复合性损伤。骨折也比较严重,多是粉碎性骨折,有明显的移位、成角、旋转畸形。此类骨折不但骨折难处理,同时还会有皮肤、神经、肌腱等组织缺损,有的还会有血液供应障碍,可能造成手指或整个肢体坏死。也有的损伤相对简单,如掌骨颈骨折,又称“拳击者骨折”。是发生在第5掌骨颈的骨折(图1)。当握拳作拳击动作时,暴力纵向施加在掌指关节上,传达到掌骨颈部造成骨折。其次,掌骨颈骨折也可发生在第2掌骨。其他掌骨颈骨折较少见。

图1 第5掌骨颈骨折
掌骨头骨折则是由于手在握拳位,掌骨头受直接打击所致,也可发生于机器的压轧伤。掌骨头的骨折是在关节内,故骨折常影响到关节面的平整及晚期关节的活动。
发生在掌骨基底的骨折是为腕掌关节的骨折,多由于纵向撞击力量作用在掌骨,传达至腕掌关节处,造成腕掌关节骨折脱位。虽然骨折移位不多,但如治疗不当,常会遗留有局部隆起、疼痛,以及因屈、伸肌腱张力失衡使手指活动受限。
1.掌骨头骨折可分为
(1)单纯掌骨头骨折:发生在掌骨头的骨折可有斜形、横形、纵形,损伤多为闭合性。骨折愈合后,如关节面不平,可影响关节活动。晚期由于关节面反复磨损,还会造成创伤性关节炎。
(2)关节软骨骨折:这种损伤多由于紧握拳时拳击锐利性的物体,如牙齿、玻璃等,致使关节内软骨破碎。损伤多为开放性,可从伤口看到破碎的软骨面。
(3)掌骨头粉碎性骨折:多发生于较大暴力的损伤。常合并有相邻的掌、指骨骨折及严重的软组织损伤(图2)。

图2 第5掌骨头骨折
2.掌骨颈骨折
正常掌骨颈向背侧轻度成角,称颈干角,在斜位X线片上,第5掌骨的颈干角约为25°。有人认为此角超过30°即为手术或整复的适应证。在30°以内者,对手的外观及功能都没有明显影响。
3.掌骨干骨折
掌骨干骨折发生在第3、4掌骨者较多(图3)。作用在手或手指上的旋转暴力,常致成斜形或螺旋行骨折。由纵轴方向的暴力传达至掌骨上时,多造成横形骨折。一般横形骨折是稳定性骨折,而斜形或螺旋行骨折为不稳定性骨折。

图3 第4掌骨干及第5掌骨颈骨折
4.掌骨基底骨折
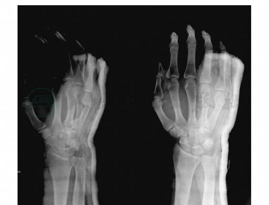
多为腕掌关节的骨折脱位,常发生在第1、4、5腕掌关节。第1腕掌关节已单有论述,第4、5腕掌关节也有较大的活动,它们分别可屈、伸15°和20°,位于尺侧边缘,故易受伤(图4)。

图4 第4、5掌骨基底骨折脱位
1.掌骨基底部骨折
掌骨基底部骨折多见于第1掌骨(图6),而其他掌骨则较少见。骨折多为横断或粉碎性,多由拇指受到纵向暴力冲击,如跌倒时拇指触地或暴力直接作用于第1掌骨头部所致。骨折远端由于受拇长屈肌、拇短屈肌及拇内收肌的牵拉,常向掌侧及尺侧移位;而骨折近端则由于受拇长伸肌的牵拉,常向背侧及桡侧移位,从而使骨折端向桡、背侧成角畸形。骨折常合并有腕掌关节脱位(图7),又称为Bennett's骨折,属于关节内骨折,骨折线呈斜形,由掌、尺侧斜向背上方而进入第1腕掌关节内。掌骨基底部内侧所形成的三角形骨块,因有掌侧韧带相连,与大多角骨的关系仍正常,而骨折远端则因同时受到拇长伸肌和拇屈肌的牵拉,从大多角骨关节面上滑向外侧和背侧而造成腕掌关节脱位。

图6 第1掌骨基底部骨折

图7 第1掌骨基底部骨折脱位
2.掌骨干骨折
掌骨干骨折多见于第2~5掌骨,可为单根骨折或多根骨折(图8),多由诸如打击或挤压等直接暴力所致,多为横断或粉碎性骨折。若为扭转或传达暴力所致,多为螺旋或斜形骨折(图9)。由于骨间肌及屈指肌的牵拉,骨折常向背侧成角和侧方移位。单根的掌骨骨折移位较轻,而多根骨折则移位较甚,对骨间肌的损伤也比较严重。

图8 第2~5掌骨干骨折

图9 第3、4掌骨干骨折
3.掌骨颈骨折
掌骨颈骨折多见于第2~5掌骨,以第5掌骨最为常见(图10)。间接暴力或直接暴力均可导致,但以握拳时掌骨头受到冲击力所致者较为多见,因常发生于打架或拳击运动中又被称为“拳击骨折”。骨折后断端因受骨间肌、蚓状肌和指屈肌的牵拉而向背侧成角,掌骨头向掌侧旋转。又因手背伸肌腱牵拉,骨折远端和近节指骨可向背侧移位,掌指关节过伸,手指越伸直,畸形越明显。

图10 第5掌骨颈骨折
X线片可以确定骨折的位置、类型及移位情况。为避免骨的相互重叠,当怀疑第1掌骨骨折或脱位时,应拍摄以拇指正侧位为准的X线片,其他掌骨骨折时则应拍摄手部的正位与斜位片。
1.掌骨头骨折
治疗要根据骨折移位的情况,如横形或斜形骨折等稳定骨折,无明显移位,且关节面平整的,可用石膏托固定掌指关节于屈曲位,3周后解除制动做主动功能锻炼。
有移位的骨折,因骨折块在关节内,又无韧带或肌腱的牵拉,复位比较容易。要使关节在屈曲位,轻轻牵拉该指,使手指侧偏,并轻轻挤压掌骨头,可使向两侧移位的骨块复位。屈曲掌指关节,向背侧推顶掌骨头,可使向掌侧移位的骨折块复位。
如手法复位失败,可行切开复位及克氏针内固定手术。但应注意,掌骨头为松质骨,骨折复位后,钢针应准确打入,争取一次成功。否则,钢针反复穿入,会使钢针松动,固定不牢或失败。钢针可保留4周左右,然后去除固定,开始活动。
对关节软骨骨折,应彻底清创,脱入关节内的小骨折片应摘除,较大的骨折可复位后以石膏托作短时间固定,然后开始活动。
掌骨头粉碎性骨折;对骨折移位不明显,关节面尚平整者,可作石膏托固定3~4周后开始功能练习。有移位的骨折治疗比较困难,可行切开复位,以多根细的钢针分别将骨折块固定。若骨折块小,钢针粗,贯穿骨折块时容易碎裂。固定后,一旦骨折初步愈合,即可开始活动以防关节僵直。如掌骨头严重粉碎、短缩、已无法使用内固定时,可用骨牵引3~4周,然后开始主动功能练习。
2.掌骨颈骨折
对稳定性骨折,且成角在30°以内者,对手的外观及功能都没有明显的影响。可用石膏托固定腕关节于轻度背伸,掌指关节屈曲50°~60°,指间关节在休息位。6~8周,拆除石膏鼓励病人活动患手。有的病人可能有15°~20°的掌指关节伸展受限,一般锻炼2~3个月后即可恢复正常。
掌骨颈不稳定性骨折,常有较大的成角畸形及移位,可行手法整复。因为掌指关节侧副韧带附着于掌骨头两侧偏背部,掌骨颈骨折后,若将掌指关节伸直位牵引,则可使侧副韧带以掌骨头的止点处为轴,使掌骨头向掌侧旋转,反而加重掌屈畸形。整复时,必须将掌指关节屈曲90°,使掌指关节侧副韧带处于紧张状态,使近节指骨基底托住掌骨头,再沿近节指骨纵轴向背侧推顶。同时再在骨折背部向掌侧加压,畸形即可矫正。掌指关节屈曲90°,以近节指骨推顶掌骨头,使骨折复位(图11)。整复后,用背侧石膏托将掌指关节制动于屈曲90°及握拳位。4周后,拆除石膏,开始活动。
还可用经皮克氏针固定。先将骨折复位,然后经皮在远骨折段横形穿入不锈钢针。用相邻的正常掌骨头固定。如第5掌骨颈骨折,可固定在第4掌骨上;第2掌骨颈骨折,可固定在第3掌骨颈上。钢针应从掌骨头侧副韧带止点处穿出。若穿过韧带中部时,则限制掌指关节屈伸活动。

图11 掌指关节屈曲90°,以近节指骨推顶掌骨头,使骨折复位
如掌骨颈有较多的骨质,还可使用微型钢板固定。使用T形或Y形钢板固定骨折,可达到坚强的固定。术后可使用短时间制动或在固定非常牢固情况下使用制动,早期开始功能锻炼。但应注意,活动时要空手,不能负重或用力。
3.掌骨干骨折
由于相邻骨间肌及掌骨间韧带的作用,一般骨折比较稳定。稳定性骨折,可使用石膏托将患手固定在腕轻度背伸,掌指关节屈曲,指间关节休息位,6~8周后去除石膏,练习手部活动。
骨折端有短缩或旋转时为不稳定性骨折,可行手法复位后用石膏托或石膏管形固定。但很多斜形或螺旋行骨折,复位后,用石膏固定很难防止畸形重新出现。应行切开复位内固定。斜形或螺旋行骨折可用不锈钢针垂直骨折线固定。为控制骨折块旋转,常需用2~3根钢针作内固定,也可以用多枚螺钉固定。
不稳定性骨折,也可经皮用钢针横形穿过远、近骨折块固定在相邻完整的掌骨上。为使术后早期开始活动,目前应用较多的是微型钢板(图12)。由于掌骨较长,可以使用5孔或6孔钢板。固定后骨折稳定,可以早期开始活动,但应注意不能负重及用力。
4.掌骨基底骨折
常合并有腕掌关节脱位。在早期复位容易,手法整复后以短臂石膏托固定。第2、3腕掌关节因活动度小,骨折后移位少,复位后比较稳定,容易固定。而第4、5腕掌关节活动度大,复位容易,固定困难,因而可行经皮或切开复位。经手术复位固定后预后大多较好(图13),由于掌骨基底为松质骨,因而愈合快。很少有不愈合者。骨折愈合后对手的功能影响不大。

图12 掌骨干及掌骨颈骨折,使用钢板内固定

图13 拇指掌骨基底骨折,切开复位克氏针内固定