英文名称 :secondary trigeminal neuralgia
三叉神经痛是一种独特的慢性疼痛性疾病,又称痛性抽搐,是指在三叉神经分布区域内出现短暂的、阵发性的、反复发作的电击样剧烈疼痛,可伴有同侧面肌痉挛。本症好发于中老年人,40岁以上患者占70%~80%,女性多于男性。三叉神经痛分为原发性与继发性两种类型,原发性三叉神经痛是指临床上无神经系统体征,同时不存在器质性病变;继发性三叉神经痛是指在临床上有神经系统体征,检查发现有器质性病变,如肿瘤、炎症等。
近几年来通过临床实践和研究,特别是神经显微外科手术的应用和手术方式的不断改进,对继发性三叉神经痛的病因、发病率的认识有了更深入了解和认识,发现三叉神经系统的所属部位或邻近部位的各种病灶均可引起三叉神经痛。最常见的病因有颅内和颅底骨的肿瘤(主要是桥小脑角、三叉神经根或半月节附近的肿瘤)、血管畸形(动脉瘤)、蛛网膜粘连增厚、多发性硬化等。
1.三叉神经感觉后根和半月节的病变9lesions of posterior root and semilunar ganglion of trigeminal nerve)
经颅后窝入路(Dandy)手术和颞下入路(Frazier)手术发现的继发性病因有:
(1)三叉神经感觉后根的病变(颅后窝)
指小脑脑桥角区和半月神经节后根部分而言,如胆脂瘤表皮样囊肿、脑膜瘤、三叉神经纤维瘤、神经鞘瘤、蛛网膜囊肿、蛛网膜炎粘连增厚;其次有骨瘤、骨软骨瘤及胶质细胞瘤、动静脉血管畸形、血管细胞瘤、动脉瘤等。
(2)三叉神经半月节的病变(颅中窝)
凡是颅中窝底部的病变,均可侵犯半月神经节,如颅底部的各类肿瘤,颞叶下部脑膜瘤、血管瘤、颅底的转移瘤(如鼻咽癌颅内转移)、颅骨肿瘤(如纤维结构不良),或颅底的炎症粘连等。以上部位的病变除引发三叉神经痛症状外,对邻近组织结构多有侵犯,为此,可出现相应的症状和体征。如三叉神经分布区域的感觉和运动障碍,或同时出现带状疱疹,这一特征性体征的出现,有人认为是诊断三叉神经半月节病变的重要依据。
2.脑干病变(pathological changes of brain stem)
常见的有延髓空洞症、脑干部的血管病变、炎症、脑干肿瘤、梅毒、多发性硬化等。
3.三叉神经半月节前根(周围支)病变(anterior root of the semilunar ganglion of trigeminal nerve)
最常见的有眶内肿瘤、蝶骨小翼区的肿瘤、眶上裂综合征(炎症、肿瘤)、海绵窦的病变、鼻窦的病变(炎症、肿瘤)及牙源性的病灶等,均可侵犯三叉神经根或周围支而发生三叉神经痛。牙源性和鼻窦的病变引发的继发性三叉神经痛为持续性钝痛,而原发性三叉神经痛多为短暂的阵发性闪电样剧痛,两者可以鉴别。
三叉神经是脑神经中最大的一对,为混合性神经,大部分为感觉纤维(一般躯体传入纤维),小部分为运动纤维(特殊内脏传出纤维)。三叉神经感觉纤维,大部分起于三叉神经节的假单极神经细胞,传导颜面、眼、鼻、口腔等的外感觉,小部分纤维起于三叉神经中脑核,主要传导咀嚼肌的本体感觉。运动纤维起于脑桥的三叉神经运动核,小的运动根穿行三叉神经半月节的深方,伴三叉神经的下颌神经从卵圆孔出颅,支配咀嚼肌、鼓膜张肌、腭帆张肌、二腹肌前腹和下颌舌骨肌。
半月神经节为最大的脑神经节,位于颞骨岩部尖端的三叉神经压迹处,覆盖着硬脑膜,包被在硬脑膜两层所形成的三叉神经腔内。此节呈新月形,是由典型的假单极神经元组成,胞体的大小不一,因而三叉神经内纤维的粗细不等。细胞的中枢突组成三叉神经感觉根,在运动根的外侧入脑,三叉神经半月节前内侧部神经元的周围突组成眼神经,中部的组成上颌神经,后外侧部组成下颌神经,分别由眶上裂、圆孔和卵圆孔出颅。
神经节内侧邻接海绵窦后部及颈内动脉,外侧有卵圆孔、棘孔(棘孔内通过脑膜中动脉)深侧有三叉神经的运动根(不参加此节)及岩浅大神经,并通过破裂孔与鼻咽腔顶部相邻。因此,颈内动脉瘤、蝶鞍后横断性骨折等可损伤半月神经节及其根(图1~3)。
图1 三叉神经解剖示图
图2 三叉神经解剖示图
图3 三叉神经解剖示图
1.三叉神经瘤
(1)三叉神经瘤是神经鞘膜瘤的一种,其发病率仅次于听神经瘤。三叉神经瘤中有50%源于三叉神经半月神经节;约50%起于中颅窝,其中25%源于三叉神经根神经节,是硬膜内肿瘤,另25%牵系中后颅窝,为硬膜外-硬膜内肿瘤。三叉神经瘤占颅内肿瘤的0.3%,占脑神经鞘膜瘤的5%~6%。高发年龄为35~60岁,女性发病率是男性的两倍。
(2)临床上根据三叉神经瘤发生部位不同将其分为三型:半月神经节前型发生于后颅窝三叉神经根部,累及桥小脑角池,其临床症状常为共济失调、面神经及听神经功能减退、低位脑神经麻痹、锥体外束征;半月神经节型发生于中颅窝颞叶底部的半月节,其中25%骑跨于中后颅窝之间,常见临床症状为三叉神经痛、面部麻痹、咀嚼肌萎缩;节后型发生于三叉神经半月节以后部分,包括三叉神经眼支(易累及海绵窦,易引起突眼、复视等症状)、颅外交感神经链、颈丛。当肿瘤体积较大时,可出现颅内高压症状。
(3)较小的三叉神经瘤呈圆形或类圆形,如发生于三叉神经节,可使周围脑池略宽,在T2WI上即使小于10mm的肿瘤亦能在高信号脑脊液的衬托下清晰显示。注射Gd‐DTPA后肿瘤强化明显。Kelly等指出,微观上三叉神经瘤因含有多个小囊,故而宏观上T1WI呈低信号。体积较大的三叉神经瘤信号上无特征性,跨越中后颅窝生长而表现为哑铃状。有学者指出在T1WI上颞骨岩尖部脂肪高信号消失对三叉神经瘤的诊断有强烈的指示意义。对邻近脑干、三~四脑室的挤压可导致脑积水。发生于半月神经节的三叉神经瘤可使Meckel腔扩大、变形,海绵窦内信号异常(图4~6)。
图4 左侧三叉神经鞘膜瘤
A、B.MR平扫横轴位T1WI图像及FLAIR图像;C、D.横轴位T2WI/FS图像,显示左侧三叉神经处跨颅窝肿瘤,肿块呈混杂信号,部分囊变。患侧三叉神经被肿瘤占据。健侧三叉神经显示正常
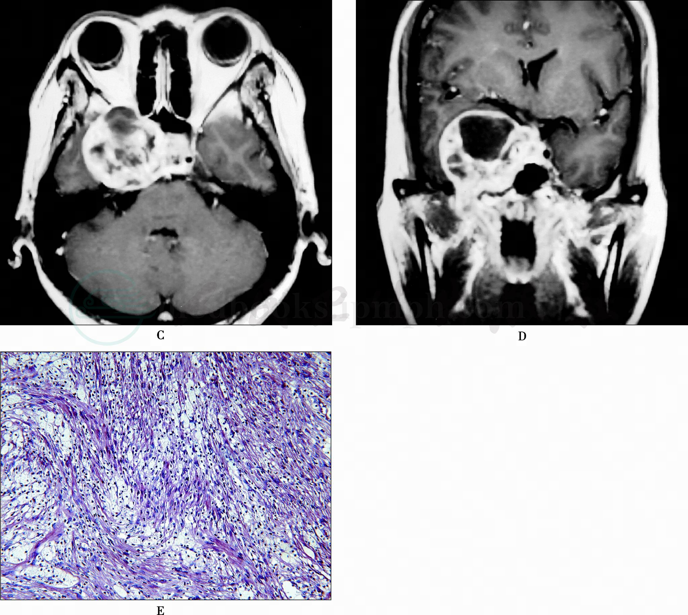
图5 右侧三叉神经瘤
A、B.轴位T1WI和T2WI示右侧中颅窝类圆形肿块,边界清晰,呈混杂长T1长T2信号;C、D.肿块不均匀强化,实性部分显著强化,中心坏死区无强化;E.病理切片:梭形瘤细胞呈平行束状或不规则旋涡状排列,瘤细胞间有黄色瘤细胞聚集
图6 右侧三叉神经瘤
A、B.MR轴位T1WI及T2WI示右侧中颅窝类圆形肿块,沿三叉神经走行,突向桥前池,肿块边界清楚,呈稍长T1低信号,T2呈混杂高信号,边界不清;C.增强扫描示病灶明显均匀强化,边界清楚;D.病理切片:瘤细胞梭形,平行束状排列,细胞核略大小不一
2.三叉神经纤维瘤(trigeminal neurofibroma)
独立的三叉神经纤维瘤罕见,其往往是神经纤维瘤病Ⅱ型(NF‐Ⅱ)的组成部分。NF‐Ⅱ为第22对染色体基因变异的显性遗传病,其诊断标准为:①双侧听神经瘤;②有家族史伴单侧听神经瘤;③任何下列两个病变:神经鞘膜瘤、神经纤维瘤、脑膜瘤、胶质瘤、青少年豆状核囊下致密。三叉神经是NF‐Ⅱ神经纤维瘤的次好发部位。其他脑神经如动眼神经、滑车神经、展神经也可受累,常是多脑神经受累。三叉神经纤维瘤的典型MR表现是沿增粗的神经干分布的串珠样肿瘤,抑或增粗的三叉神经作为载瘤神经发生单个肿瘤,神经纤维瘤强化明显,较少囊变。
3.发生于桥小脑角的肿瘤
发生于桥小脑角的肿瘤(如胆脂瘤、脂肪瘤)可包绕或挤压三叉神经从而导致三叉神经痛的临床症状。
(1)胆脂瘤(cholesteatoma):又称表皮样囊肿或珍珠瘤,是神经管闭合期间外胚层细胞移行异常所致的先天性良性肿瘤。青壮年男性多见,好发于桥小脑角池、鞍上池等部位。胆脂瘤在形态上分为扁平型和团块型。扁平型位于蛛网膜下腔,有“见缝就钻”的生物学行为特点,肿瘤沿蛛网膜蔓延。团块型肿瘤位于硬膜外。胆脂瘤内含有大量的胆固醇结晶和不成熟脂肪组织,故而T1WI上信号较脑脊液稍高,T2WI上呈高信号,FLAIR序列上信号多不均匀。胆脂瘤缺乏血供,增强扫描无强化。当常规序列检查显示肿瘤与脑脊液信号相似时,易误诊为蛛网膜囊肿。弥散加权序列(DWI)有助于鉴别诊断:胆脂瘤因其内胆固醇结晶限制水分子弥散而在DWI上呈明显的高信号,ADC图上呈低信号;蛛网膜囊肿内为游离水,弥散加快,故而在DWI上呈均匀的低信号。薄层的3D序列可以显示肿瘤与神经干的关系。
(2)脂肪瘤(lipoma):桥小脑角脂肪瘤多发生于桥小脑角池内,极少发生于内听道内,即使发生于内听道内亦很少发生骨质破坏。脂肪瘤的MR信号是特征性的,脂肪抑脂序列的应用可以进一步印证诊断。3D薄层扫描可见三叉神经穿行其间。
(3)桥小脑角脑膜瘤(meningioma of the cerebel lopontine angle)和听神经瘤(acoustic neurinoma):体积较大时会自下而上推挤三叉神经,在3D‐FIESTA和3D‐CISS序列上可以清晰显示。
4.炎性病变
(1)脑膜炎性病变:脑膜的炎性病变,无论是细菌性脑膜炎(特异性或非特异性),病毒性脑炎/脑膜炎,化学性脑膜炎(胆脂瘤破裂所致),还是恶性脑膜炎(肿瘤转移所致)累及桥小脑角池、脚间池、鞍上池时,有可能引起三叉神经痛。MR表现为脑膜局限性或弥漫性增厚,明显强化,脑膜粘连(脑池或局部蛛网膜下腔变形)。病变可累及三叉神经脑池段、半月神经节及节后神经纤维。
(2)三叉神经脱髓鞘改变的影像学报道极少,但确有少数多发性硬化患者以三叉神经痛为首诊症状就诊。有文献报道脑桥的脱髓鞘病变可累及三叉神经根进入区,引起三叉神经根局部的增粗/肿胀及T2信号增高,临床表现为典型的三叉神经痛症状。
1.首先是治疗引起继发性三叉神经痛的原发性疾病。
2.如果原发性疾病治疗后,疼痛仍未解除,可采用治疗原发性三叉神经痛的方法进行治疗。



