英文名称 :hairy cell leukemia
多毛细胞白血病(hairy cel leukemia,HCL)较少见,目前已有大量资料证明HC大多数属B‐L,其分化阶段在B慢淋细胞与浆细胞之间。1980年Cawley等首次报道毛细胞白血病亚型,该亚型具有典型毛细胞白血病的基本特点:病程缓慢、明显脾大而无浅表淋巴结和其他脏器肿大,细胞质有毛状突出,TRAP阳性,病变累及脾脏红髓外,还有一些不同于典型毛白的特点(血中WBC明显增高而不伴中性粒细胞和单核细胞减少,白血病细胞核圆居中,多有一个核仁,核质比例较高,骨髓易抽吸,骨髓在有大量毛白细胞浸润的同时常保留有正常造血成分,细胞内无核糖体板层复合物等),称之为Ⅱ型毛白。第一届毛白讨论会上Catovsky等指出Ⅱ型毛白的体积介于幼淋与典型毛白之间,单抗膜标记有些(FMC4,FMG,RFBI)呈强阳性,与典型毛白类似,而另一些(FMC8,2‐HC2)为阴性,与幼淋相似,因此认为Ⅱ型毛白是介于两者之间的一种中间型疾病。Ⅱ型毛白细胞核圆形居中,有一个小至中等大的核仁,核染色质在核周较浓集,多数细胞有宽基底的绒毛。毛状突起多数不如典型毛细胞的多和长。典型毛白细胞的核质比较低,核呈卵圆形或不规则形,常偏心,多数细胞无核仁,少数有但较小,核染色质较疏松,无核周浓集现象,核膜厚而明显,毛状突起的基底部较宽,绒毛状小突起长短不一,呈毛刷状,锯齿状或伪足状,长1~10μm,一般4μm,多少不等,1根或数十根。
Ⅱ型毛白细胞和毛细胞对化学诱导剂咐醇‐12‐0‐十四酰‐13‐乙酸酯(12‐0‐tetradecanoyL phorbol‐13‐acetate,TPA)反应极迅速,孵育3小时已大部分贴壁,28小时后全部贴壁且伴有许多长枝状突起,这与幼淋巴细胞TPA孵育72小时仍呈浮悬状态截然不同。故TPA试验可迅速而准确地将毛细胞、Ⅱ型毛细胞和幼淋巴细胞区分开,但Ⅱ型毛白细胞在TPA诱导分化后无吞墨功能。Ⅱ型毛白主要靠McAb、TPA和形态学诊断。国内需建立FMC8和2‐HC2单抗检测,并扩大TPA的应用。
另外,咐醇酯(TPA,100ng/ml)可诱导除部分M3以外的所有AML细胞迅速向单核‐巨噬细胞分化,表现为细胞由悬浮转变为贴壁,出现丝状胞质突起且有明显的吞墨功能。ALL对TPA的诱导既不向单核‐巨噬细胞分化,也不出现贴壁现象和丝状突起。所以本试验也可用于形态学分型困难的急性白血病的鉴别诊断。
(一)血象特征
血红蛋白、红细胞轻度或中度减低,白细胞大都减低,亦可正常或增高,淋巴细胞相对增多,可见到数量不等的毛细胞(0.10~0.90),粒细胞、血小板数减小。Ⅱ型毛白时血红蛋白、粒细胞可正常。
(二)骨髓象特征
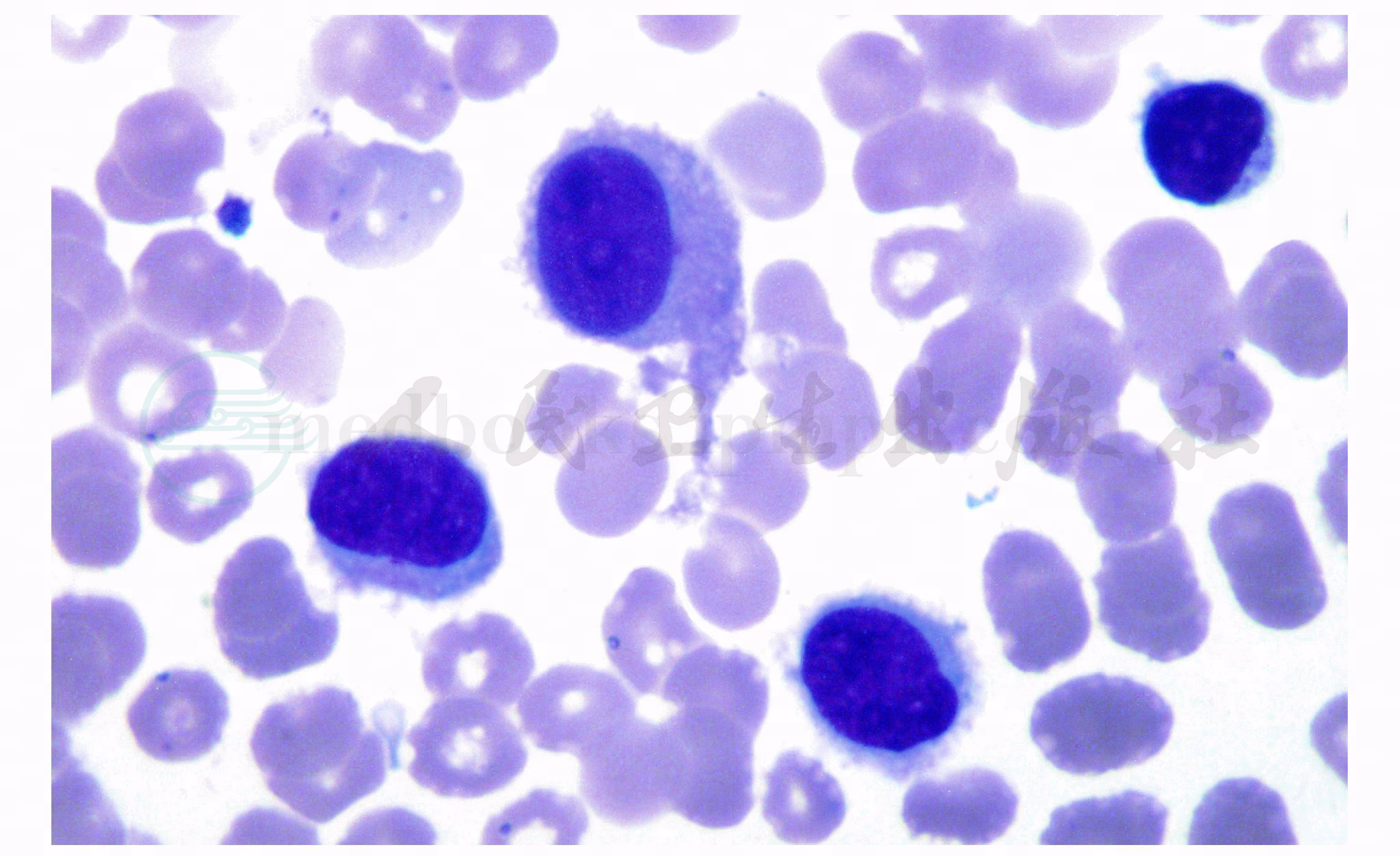
骨髓细胞增生活跃、明显活跃或极度活跃。多毛细胞增生或明显增生少者<0.10,多者>0.90,细胞特征如前述。粒系、巨核系、红系细胞受抑,血小板减少。Ⅱ型毛白粒系,红系可增生,血小板减少不太明显。每例患者都应做骨髓活检,尤其干抽时。活检可见到清一色的单个核细胞疏散排列,胞质丰富,边缘不清,网状纤维增多。多毛细胞白血病的骨髓象和血象特征可见图1、图2。
图1 多毛细胞白血病(HCL)血象
图2 多毛细胞白血病(HCL)骨髓象
(三)细胞化学染色
POX、SB、NAP均呈阴性,非特异性酯酶阳性,ACP强阳性且不被左旋酒石酸所抑制。文献报道Ⅱ型毛白细胞经TPA诱导后,SB可呈强阳性,意义有待研究。
外周血涂片可见较多毛细胞,毛细胞胞体较淋巴细胞大,胞质丰富,边缘有许多毛刺样突起
骨髓增生低下,毛细胞比例明显增高,毛细胞胞体较淋巴细胞大,胞质丰富,边缘可见毛刺样突起



