英文名称 :cerebral ischemic disease
缺血性脑血管疾病(cerebral ischemic disease)是由于各种原因导致颅内外血管狭窄、闭塞造成急性或者慢性,一过性或者进展性脑组织缺血、缺氧损害的一系列疾病总称。引起血管狭窄和闭塞的原因有脑血管硬化、先天畸形、外伤、炎症、肿瘤、动脉瘤、手术损伤等。脑血管疾病是造成人类死亡的三大疾病之一,2011年完成的我国居民第三次死因调查结果显示,脑血管病已成死因的第一位。脑血管疾病急性发作称为卒中(Stroke),该病呈“三高”(发病率高、致残率高和死亡率高)的特点,严重危害其患者的健康,并影响其生活质量,甚至危及患者的生命。同时该病也给患者及其家庭和社会带来沉重的医疗、经济和社会负担。
病因包括心源性脑缺血、血液学异常,大血管病变和脑小血管病变所致的栓子。动脉粥样硬化性疾病在老年人最常见,其重要的危险因素有高血压、糖尿病、吸烟和高脂血症等。大血管病变可导致较大面积脑梗死,小血管病变可导致腔隙性梗死。心房颤动导致脑梗死主要病因之一,由于心肌梗死导致的局部心壁运动功能减退或心肌病和瓣膜异常可以诱发血栓形成导致心源性栓塞。另外红细胞增多症和血小板增多,以及骨髓增殖性疾病也是脑缺血的危险因素,可能与血液的高凝状态有关。对于年轻患者,除外其他卒中危险因素,动脉夹层或卵圆孔未闭也是脑缺血的病因。大多数脑缺血患者的症状是由于血栓性栓塞,由于短暂性脑缺血发作(transient ischemic attacks,TIA)或由于血流动力学不足(hemodynamic vascular insufficiency)引起卒中的患者只占很小部分。
从发生脑缺血的部位来讲,分为前循环脑缺血和后循环脑缺血。发生前循环脑缺血多是由于颅内血管栓塞,栓子主要来源于病变的心脏和颈总动脉分叉部粥样硬化溃疡病变。后循环脑缺血的发作多是由于椎基底动脉系统的低血流灌注,椎动脉和基底动脉很少发生粥样硬化溃疡病变;其病变特点是椎动脉狭窄或闭塞,而后部循环缺乏较大的侧支循环血管。脑缺血性疾病临床包括短暂性脑缺血发作、脑栓塞、脑梗死和烟雾病。
(一)短暂性脑缺血发作
1.定义
传统定义TIA是指伴有局灶症状的短暂的脑血液循环障碍,以反复发作的短暂性失语、瘫痪或感觉障碍为特点,症状和体征在通常在数分钟、数小时内消失,一般不超过24小时内消失。随着神经影像学和临床研究的发展,TIA患者中部分人颅内已经出现了梗死灶。
早期对有TIA病史的患者进行组织病理学检查,发现有与短暂性神经功能缺失相对应的顶叶小区域皮质神经元缺血性改变。动物实验也证明在0.14ml/(g·min)或以下的脑血流量或大脑中动脉可逆性闭塞超过45分钟,可出现选择性神经元坏死或梗死区。后来,CT和MRI显示出TIA患者有缺血性脑损害。有28%的TIA患者可在CT上检出与神经症状相对应的脑梗死,当TIA症状持续45~60min以上时,这些病灶检出率可高达80%。所以,TIA可以分为真正的TIA和短暂性症状及体征的脑梗死。斯坦福卒中中心主任GregAlbers教授系统回顾了Stroke杂志发表的TIA定义及评价,对文中颇受争议的讨论部分提出了美国心脏学会/美国卒中学会(AHA/ASA)的TIA新定义,即不伴有急性梗死的脑、脊髓、视网膜缺血发作导致神经功能障碍的综合征。新旧定义相同点,仍是中枢神经系统短暂性局部缺血发作,发作后症状完全恢复。虽然新定义在一定程度上过于强调影像学证据,可能会造成因检查方法的不同,对TIA诊断结果的差异,但是新定义强调以组织改变为基础,不单纯以时间为界来区分TIA或脑梗死,认为TIA是一种医学急症,有助于急性脑缺血的早期评估和治疗。
2.临床表现
TIA好发于中老年人(50~70岁),男性多于女性。发病突然,迅速出现局限性神经功能或视网膜功能障碍,多于5分钟左右达到高峰。持续时间短,恢复快,不留后遗症状。可反复发作,每次发作的症状相对较恒定;前循环TIA常见症状为对侧单肢无力或轻偏瘫,偏身麻木或感觉减退,失语,也可出现对侧单肢或半身感觉异常。后循环系统TIA的表现体位改变后突发眩晕、平衡失调,少数可伴耳鸣。
3.鉴别诊断
异常脑电图,CT、MRI检查发现脑内局灶性病变,心电图、超声心动图和X线检查异常,持续时间超过24小时,不具备眼球震颤外其他神经系统定位体征,TIA可与部分性癫痫、梅尼埃病、心源性晕厥等鉴别。
(二)脑栓塞
脑栓塞(occlusion of brain arteries)主要发生在大动脉分叉及转折处,血栓或颈动脉的粥样斑块脱落可造成颈内动脉或大脑中动脉栓塞。
根据骤然起病,数秒至数分钟内出现偏瘫、失语、一过性意识障碍、抽搐发作等局灶性症状,有心脏病史或发现栓子来源,诊断不难。同时并发有其他脏器栓塞、心电图异常均有助于诊断,头部CT和MRI可明确脑栓塞部位、范围、数目及是否伴有出血。
(三)脑梗死
脑梗死(cerebral infarction)是指脑部供血中断,又无充分侧支循环代偿供血时导致的脑组织缺血、缺氧坏死和脑软化,产生的神经系统症状群。不包括全脑性缺血和缺氧性坏死,如窒息和心跳、呼吸暂停引起的全脑病损。
1.脑梗死按病变部位和范围分类
(1)颈动脉系统梗死
主要表现为病变对侧肢体瘫痪或感觉障碍;主半球病变常伴不同程度的失语,非主半球病变可出现失用或认知障碍等高级皮层功能障碍,其他少见的临床表现有意识障碍、共济失调、不随意运动及偏盲等。
(2)椎基底动脉系统脑梗死
累及枕叶可出现皮质盲、偏盲;累及颞叶内侧海马结构,可出现记忆力下降;累及脑干或小脑可出现眩晕、复视、吞咽困难、霍纳氏综合征、双侧运动不能、交叉性感觉及运动障碍、共济失调等。累及脑干上行激活系统容易出现意识障碍。
(3)腔隙性脑梗死(lacunar infarct)
腔隙性脑梗死指脑或脑深部穿通动脉阻塞所引起的缺血性梗死,大小介于直径为0.2~1.5mm之间,主要累及脉络膜动脉、大脑前动脉、大脑后动脉或基底动脉的深穿支。腔隙性梗死主要见于高血压病患者。腔隙性梗死多发生在壳核、脑桥基底、丘脑、内囊后肢和尾状核;另外也可累及内囊前肢、皮质下白质、小脑白质和胼胝体。腔隙性梗死一般预后较好。但多次发生腔隙性梗死或称腔隙状态,可出现假性延髓麻痹和血管性认知功能障碍。腔隙性梗死的表现常见四种类型:①纯运动障碍(pure motor hemiparesis);②纯感觉卒中(pure sensory stroke);③轻偏瘫共济失调(ataxic hemiparesis);④构音障碍-手笨拙综合征(dysarthric clams hand syndrome)。
2.脑梗死按照病情发展分类
(1)可逆性神经功能障碍(reversible ischemic neurological deficit,RIND)
发生RIND脑梗死灶范围小,出现的神经功能障碍较轻,24小时以后逐渐恢复,一般在1~3周内功能完全恢复。
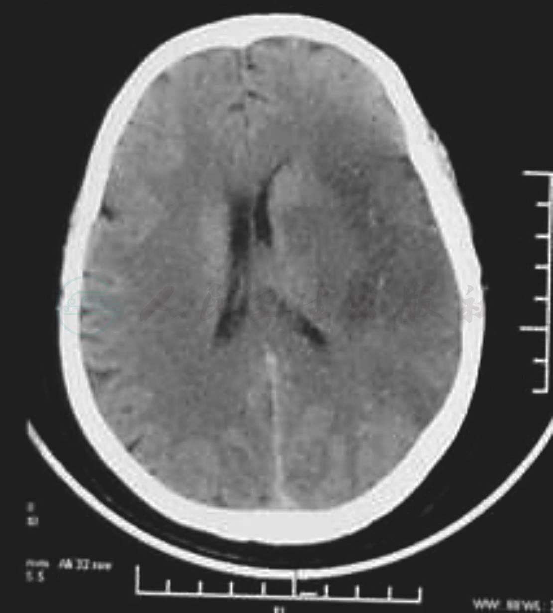
(2)发展性卒中(stroke in evolution,SIE)
SIE症状逐渐发展,在几小时、几天、几周,甚至几个月内呈阶梯状或稳步恶化,常于6小时至数日内达高峰。DSA常显示颈内动脉或大脑中动脉闭塞(图1,图2分别为脑梗死发病12小时及72小时CT表现,左侧大脑中动脉区域低密度改变逐渐明显)。

图1 发病12小时CT

图2 发病72小时CT
(3)完全性卒中(complete stroke,CS)
突然出现中度以上程度的局部神经功能障碍,于数小时内达高峰,并且稳定而持续的存在。以后症状可能时轻时重,但总的趋势是无进步。其症状及体征包括偏瘫、偏盲、失语及感觉障碍,随闭塞的动脉不同症状各异。主要是颈内动脉闭塞、大脑中动脉闭塞和脑动脉多发性狭窄。
(四)烟雾病
脑底异常血管网病又称烟雾病(moyamoya病),是以脑血管造影发现双侧颈内动脉虹吸部及大脑前、中动脉起始部严重狭窄或闭塞,颅底软脑膜、穿通动脉等小血管代偿增生形成脑底异常血管网为特征的一种慢性脑血管闭塞性疾病。该病于1955年由日本学者最早报道,因在血管造影中,脑底的异常血管形状酷似烟雾(日语发音为moyamoya),故称为烟雾病。据日本的研究报道,该病年发病率为0.35/10万,患病率为3.16/10万。烟雾病病例报道以日本最多,中国和亚洲其他国家次之。在白种人和黑种人中均有发现,但病例数很少。
Moyamoya病的发病率在东亚最高,在欧美则极少见。此病可见于任何年龄段,男女均可患病,女性发病率略高(1.7∶1)。其发病年龄有2个高峰期:第1个高峰在10岁以内的儿童,通常以缺血性卒中为主要表现;第2个高峰在40岁左右,通常表现为出血。本病呈现一定的家族遗传性,黄种人中有8%~15%的患者存在家族史。
(一)脑的供血和循环
正常脑的重量约1300~1500g,占全身体重的2%,脑是一个特殊的需氧器官,耗氧量很大,心脏每分钟搏出5000ml血液,其中750~1000ml(占15%~20%)供应脑。单侧颈内动脉血流量约350ml/min,双侧颈内动脉血流量占全脑血流量的85%;单侧椎动脉血流量100ml/min,双侧椎动脉供血占全脑血量的15%。
脑组织血流以每分钟每100克脑组织所流过的血液量来计算,正常情况下CBF为50ml/(100g·min)±10ml/(100g·min)。CBF降到18~20ml/(100g·min),脑皮层诱发电位减低,脑电波逐步消失;当CBF降至15ml/(100g·min),脑皮层诱发电位和脑电波完全消失,即使脑细胞存活,但功能消失,神经轴突间的传导中断,如此时脑血流增加或者恢复,脑功能可以完全恢复。当CBF降至8~10ml/(100g·min)时,神经细胞膜的离子泵功能衰竭,细胞内水肿内部结构破坏,血流进一步减少出现细胞而死亡,脑梗死形成。单侧大脑中动脉每分钟有75~125ml的血通过,一侧颞浅动脉及枕动脉每分钟也有150ml的血通过。脑血循环停止3秒,代谢即起变化;停止60秒,神经元活动停止;停止4~8分钟,即出现不可逆转的脑梗死。
正常脑血管靠扩张和收缩来调节脑血流量,而血管的扩张和收缩有赖于体循环血压、动脉血二氧化碳分压(PaCO2)和氧分压(PaO2)。正常动脉血PaCO2为40mmHg(1mmHg=133.332Pa),PaO2为100mmHg。当PaCO2发生变化时,由于酸性CO2分子透过内皮的数量不同,可导致细胞外的pH值改变,因而引起脑血流量的改变。PaCO2增高时,脑血管扩张,CBF增加;PaCO2降低时,脑血管收缩,CBF减少。PaCO2每变化1mmHg,CBF即变化5%。一般氧分压对CBF影响不大。
脑血管对血压的变化在60~180mmHg范围内有自动调节功能:当血压升高时,脑血管收缩而使脑血管阻力增加;血压下降时,血管扩张而使脑血管阻力下降,此两种变化可维持正常脑血流量。血压变化超过自动调节范围后,CBF随血压的升降而增减。
脑的局部微循环由微动脉、毛细血管及微静脉组成。微循环主要靠化学物质调节,脑缺血发生后微循环中血流变慢、淤积,最后静脉血流停滞,发展为血栓。脑急性缺血和梗死后局部脑组织代谢产物聚积,脑血管内血流压力降低,脑血管的自动调节从代偿发展为失代偿,血流速度减缓,血流量降低,局部CBF可减少30%~40%。健侧脑区对二氧化碳的反应也可能消失或减退。治疗的首要目的是尽早、尽快、有效恢复改善局部血流速度、血流量。
脑缺血区的血供改善主要靠侧支循环的代偿,一侧前循环受阻后,来自前交通动脉及后交通的血流是决定颅内缺血区域血流动力学代偿的关键因素,并且颈外系统也可参与供血。脑动脉闭塞的患者脑血管造影发现,从对侧颅内动脉系统供血的有77%,从基底动脉供血的有54%,从同侧颈外动脉系统经眼动脉逆行供血的有60%,经脑膜动脉至大脑皮层动脉的有48%。
(二)脑缺血半暗带
在脑梗死区周围有一缺血区域,称为“半暗带”(penumbra)。缺血区的体积可以比中心梗死区大数倍,半暗带内的rCBV及rCBF处于边缘状态,细胞仍存活但无功能,神经传导停止,rCBV及rCBF增加可使此区内的神经细胞恢复功能。已有证据表明急性缺血性卒中患者的半暗带区的灌注异常可持续5~7天。“半暗带”曾经是手术治疗脑缺血疾病的根据。目前半暗带的检查主要通过PET、PWI、PCT,并且还可较早发现CT阴性的缺血灶、脑梗死早期。
缺血半暗带检测最初是通过正电子发射型计算机断层显像(positron emission computed tomography,PET)。PET可以评估缺血半暗带的范围,系列研究发现某些脑缺血患者缺血半暗带甚至在症状发生后16小时仍能检测到。磁共振弥散成像(diffusionweighted imaging,DWI)与灌注成像(perfusion-weighted imaging,PWI)不匹配也可以发现缺血半暗带存在,在急性缺血性患者中进行的DWI和PWI成像研究,通过从梗死核心区中识别出半暗带,观察半暗带是否演变为脑梗死和指导缺血性疾病治疗有其重要应用。
(三)神经血管单元
美国国立神经病学与卒中研究所(Nation Institute of Neurological Disorders and Stroke,NINDS)于2001年提出神经血管单元(neurovascular unit,NVU)概念。神经血管单元由神经元-胶质细胞-血管构成,包括神经元、星形胶质细胞、小胶质细胞、血管内皮细胞、血管周细胞、基底膜以及细胞外基质。NVU概念的产生使得神经学科医师对中枢神经系统多种细胞形态和功能的认识得以更新。NVU概念强调维持正常脑功能自稳状态的血管、细胞和基质之间信号传递的动态性。NVU组成成分间信号联系,如神经血管偶联(neurovascular coupling,NVC)、细胞间通讯、神经血管再生以及相关神经营养因子、离子和介质共同参与。这些信号失调和偶联功能障碍会引发功能失调和疾病。
如何在诸多靶点中选择有效的干预措施,改善NVU的内部稳态和保证脑细胞功能的正常运行,逐渐成为研究重点。既往脑缺血损伤研究大多局限在神经元的保护,将大脑中不同的细胞群体和结构分割开来研究,忽略了大脑功能的整体性和不同结构间的相互作用。NVU概念的提出,为临床治疗缺血性脑卒中提供了新的靶点,也为血管搭桥手术治疗缺血性脑血管病提供了新的理论依据。
1.CT和MRI扫描
缺血性脑卒中患者首先做CT扫描,可以区分脑缺血及脑出血。TIA患者CT扫描多无阳性发现,少数可表现为轻度脑萎缩或在基底节区有小的软化灶。RIND患者的CT表现可以正常,也可有小的低密度软化灶。CS患者则在CT上有明显的脑低密度梗死灶,可有脑室扩大。脑梗死初期CT一般不能发现缺血灶,24~48小时后低密度区才逐渐显现。MRI检查能够克服CT早期阴性结果的缺点,可以在脑卒中6小时后发现早期脑梗死部位。梗死灶呈长T1和长T2改变,表示存在细胞毒性脑水肿。在24小时左右,梗死灶内血-脑脊液屏障破坏,注射Gd-DTPA做MR增强扫描可见明显的信号增强。发病1周后梗死灶仍可表现长T1和长T2,但T1值较早期缩短。如梗死灶内有出血,呈T1值缩短而T2值仍然延长。
磁共振弥散成像(diffusion-weighted imaging,DWI)是基于水分子运动成像原理,主要用以急性期和超急性期脑梗死的诊断,缺血后数分钟即可显示异常高信号,10~14天后高信号开始降低。DWI在一定程度显示不可逆的梗死灶,磁共振灌注成像(perfusion-weighted imaging,PWI)则显示脑梗死的低灌注区。利用灌注减低与弥散异常范围的差异,可用来估计缺血“半暗带”的范围。
2.CT血管成像(CTA)、磁共振血管成像(MRA)、数字减影血管成像(DSA)
CTA头颈部检查可以发现颅内及颈部血管狭窄梗死部位,扫描完成后图像重建可获得容积再现(VR)、最大密度投影(MIP)及多平面重建(MRP),实现颅颈血管立体多角度筛查,最小血管直径0.6~2.5mm,2mm以下血管显示率为98.5%。
增强磁共振血管造影(dynamic contrast enhanced MR angiography,DCEMRA)
较非对比增强磁共振血管成像对血管腔的显示更加可靠,评估狭窄程度更加真实。CTA是血管内直注射造影剂,通过薄层扫描,计算机三维重建显示血管结构,可以多角度观察、分辨血管结构,并且根据需要选择或者保留骨性结构作为影像及解剖定位参照是重要的血管成像技术,应予推荐。
CTA、MRA是目前脑血管病检查中无创检查主要手段,可实现脑血管病“初步筛选”,结合临床可以使相当一部分患者完成诊断,而不需要血管造影(数字减影血管成像:digital subtraction angiograph,DSA)检查。
脑血管复杂病变DSA仍然是诊断的“金标准”,并且3D-DSA对血管构造的反应更加精确、直观,CTA、MRA、DSA的综合应用对脑血管病的诊断、治疗方案选择非常重要。对缺血性脑血管疾病的诊断,可以清楚、直观、立体显示缺血的责任血管、狭窄及梗阻位置,对于颈动脉狭窄,可明确狭窄程度及长度,但对于动脉斑块的诊断不如彩色超声。
3.CT灌注成像(CTP)和磁共振灌注成像(PWI)
CT灌注成像(CT perfusion,CTP)是指在静脉注射对比剂的同时,对所选层面进行连续多次扫描,观察对比剂在脑组织血管内的动态变化过程,并获得某一像素的时间密度曲线,根据数学模型计算出脑血流量(cerebral blood flow,CBF)、脑血容量(cerebral blood volume,CBV)、平均通过时间(mean transmit time,MTT)和最大峰值时间(time to peak,TTP),能准确反映脑组织血流灌注情况,并通过CTP图像中CBF、CBV和MTT的变化来判断不同区域的缺血程度,进而评价血流动力学改变。320排CT(也称全脑CTP)在血管增强和全脑灌注方面有其独特的优势,具有更大的扫描范围,能够缩短扫描时间,减少容积效应,减少放射性对比剂的用量。有研究表明,在急性大脑中动脉供血区卒中患者中,病灶侧的CBF、CBV和MTT与对侧相比存在显著差异,其中以MTT最为敏感,CBF次之。研究表明,CTP对诊断3小时内急性发作的缺血性脑卒中敏感度为64.6%,准确度为76%。
TIA患者行全脑CTP,可表现为TTP和MTT明显延长,CBF有轻度降低,CBV轻度增高,这种灌注异常表现属于脑梗死前期Ⅰ2期;患侧TTP和MTT明显延长,CBF有轻度降低,CBV基本正常,属于脑梗死Ⅱ1期,提示脑灌注压下降引起脑局部血流动力学异常,并且脑局部循环储备力开始失代偿,导致神经元功能发生异常,若不及时干预,CBF下降到超过脑代谢储备力,就会引起神经元形态学改变,从而发生不可逆的脑梗死。
CTP显示病灶的中心区及周边区各相对灌注参数值差异均有显著性。CTP不仅能早期发现缺血灶,还可运用CBF图与CBV图的不匹配区来确定缺血半暗带的存在和范围。
磁共振灌注成像(perfusion weighted imaging,PWI)也是提供组织血流动力学检查重要手段,灌注参数有相对脑血容量(relative cerebral blood volume,rCBV),相对脑血流量(relative cerebral blood flow,rCBF),相对最大峰值时间和MTT等,其中MTT是一个非常敏感的指标。PWI评价血流动力学改变与CT灌注彩色成像基本一致,但是rCBV及rCBF比CTP准确性稍高。
4.超声检查
(1)多普勒超声检查(transcranial Doppler,TCD)
可以判定脑底动脉环、大脑前动脉、大脑中动脉、大脑后动脉、颈内动脉颅内段及椎基底动脉等颅内大血管的血流方向、血流速度和搏动指数(PI)等,依此可判定哪根血管有病变。TCD血流速度是反映管腔大小直接的、最敏感的指标,根据血流速度的变化和频谱所反映正常层流的消失、涡流的出现,以及两侧血流速度不对称,可以诊断管径减少超过50%的狭窄,对于未超过50%的狭窄则难以明确诊断。
(2)血管超声
缺血性脑血管病的血管超声是对于颈总动脉及颈内动脉狭窄程度及原因查找的较好手段,能够对颈动脉粥样斑块的大小、形状、血管狭窄程度、血流速度、方向做出准确判断。
5.视网膜中心动脉压测定
颈内动脉的颅外段严重狭窄或闭塞时,大多数患者同侧的视网膜动脉压比对侧低。用眼动脉压测量计测量两侧视网膜中心动脉的收缩压及舒张压,如果两侧的压力相差20%以上则有诊断意义。
6.血流储备能力的评价
脑血流储备能力的评价对评价患者的高危状态及预后、治疗选择有重要意义,目前评价方法有正电子发射断层显像(PET)、氙-CT(Xenon computed tomography,Xe-CT)、单光子发射计算机断层显像(single photon emission computed tomography,SPECT)、CTP、PWI等。
Xe-CT脑灌注成像技术是一种传统测定活体组织灌注的影像学方法,应用稳态氙气与CT联合应用来测量脑血流量,能提供准确定量的脑血流量值,并且可以作为评估侧支循环、脑血管储备能力的手段。由于Xe-CT灌注成像能够准确测量脑血流量,并能通过负荷试验测量脑血管储备能力,因此可以超早期显示脑缺血的血流灌注情况,且能够发现缺血半暗带,为缺血性脑血管病的超早期诊断提供可靠的影像学信息,从而为制定有效的防治方案提供依据。
PET能够提供脑组织的结构和功能信息,定量测定脑血流和灌注,是测定脑血流和灌注的金标准,但较高的费用限制了其临床应用。Xe-CT因Xe具有放射性且来源困难,限制其临床应用。SPECT不能提供脑血管的形态学信息。临床较多应用CTP及PWI来进行脑血流储备评估。
一、缺血性脑血管疾病的治疗
缺血性脑血管病的治疗包括病因治疗、对症治疗,分为内科治疗、介入治疗及外科治疗。颈内动脉狭窄被认为是脑缺血疾病的重要原因,采用内膜剥脱还是选择支架治疗一直以来有较多争论,目前研究表明采用内膜剥脱仍然是首选治疗方式。
(一)内科处理
TIA的治疗主要是以病因治疗及预防。有报道认为TIA发作后一个月内发生卒中的机会是4%~8%;在第一年内发生的机会是12%~13%;以后5年则高达24%~29%。TIA发生率在椎基底动脉供血区明显低于颈内动脉供血区,且后循环预后一般较前循环好。临床治疗以控制高血压、降低血粘度、改善高凝状态、控制血糖,如冠心病、心律失常、心功能不全和瓣膜病患者还应治疗心脏疾患。
脑栓塞治疗中有效的预防很重要。房颤患者可采用抗心律失常药物或电复律。如果复律失败,应采取预防性抗凝治疗。抗凝疗法目的是预防形成新的血栓,杜绝栓子来源,或防止栓塞部的继发性血栓扩散,促使血栓溶解。由于个体对抗凝药物敏感性和耐受性有很大差异,治疗中要定期监测凝血功能,并随时调整剂量。在严格掌握适应证并进行严格监测的条件下,适宜的抗凝治疗能显著改善脑栓塞患者的长期预后。血管扩张剂如罂粟碱或亚硝酸异戊酯对于部分发病后2~3小时心源性脑栓塞患者有一定疗效。气栓处理主张应采取头低位、左侧卧位;减压病应立即尽快给予高压氧治疗,可减少气栓,增加脑细胞供氧。当有癫痫发作,抗癫痫治疗同时停止应用神经兴奋性药物,适当脱水治疗并严密观察。脂肪栓的处理可用扩容剂、血管扩张剂、5%碳酸氢钠注射液250ml静脉滴注,每日2次。足量的抗生素抗感染治疗是感染性栓塞主要治疗手段。
脑梗死属于急症,本病的病死率约为10%,致残率可达50%以上。存活者的复发率高达40%,脑梗死复发可严重削弱患者的日常生活和社会功能,而且可明显增加死亡率。脑梗死溶栓治疗适宜时间窗为发病4.5小时,尽可能静脉溶栓治疗,发病6~8小时内仍可进行适当的急性期血管内干预。脑梗死治疗强调个体化和整体化治疗,与神经外科、康复治疗努力实现一体化治疗,以最大程度提高治疗效果和改善预后。
1.一般治疗
(1)基础治疗
卧床,避免和处理引起颅内压增高的因素,如头颈部过度扭曲、激动、用力、发热、癫痫、呼吸道不通畅、咳嗽、便秘等,注意血压控制、血糖水平的调节。高颅压症状明显,可使用甘露醇静脉滴注,必要时也可用甘油果糖或呋塞米等。
(2)控制血压
脑梗死急性期患者合并有高血压病时目前一般不建议降压治疗,血压降低会减少脑灌注,加重梗死区或者半暗带的缺血,使病情加重。有高血压病史者24小时病情稳定后再系统降压药物治疗;对于平均动脉压超过130mmHg或者收缩压超过180mmHg,使用降压药物,并首选口服降压药。
(3)控制血糖
空腹血糖应<7mmol/L(126mg/dl),糖尿病血糖控制的靶目标为<6.5mmol/L,必要时可通过控制饮食、口服降糖药物或使用胰岛素控制高血糖。在急性期血糖超过11.1mmol/L时可给予胰岛素治疗,治疗高血糖同时应注意避免低血糖,血糖低于2.8mmol/L时可给予10%~20%葡萄糖口服或注射治疗。
2.抗血小板聚集及抗凝药物治疗
急性期(脑梗死发病6小时后至2周内,进展性卒中稍长)的抗血小板聚集推荐意见如下:①对于不符合溶栓且无禁忌证的缺血性脑卒中患者应在发病后尽早给予口服阿司匹林150~300mg/d。急性期后改为预防剂量50~150mg/d;②溶栓治疗者,阿司匹林等抗血小板药物应在溶栓24小时后开始使用;③对不能耐受阿司匹林者,可考虑选用氯吡格雷等抗血小板治疗。抗血小板药物的选择以单药治疗为主,氯吡格雷(75mg/d)、阿司匹林(50~300mg/d)都可以作为首选药物。对于有急性冠状动脉疾病(例如不稳定型心绞痛,无Q波心肌梗死)或近期有支架成形术的患者,推荐联合应用氯吡格雷和阿司匹林。
抗凝治疗,主要包括肝素、低分子肝素和华法林。其应用指征及注意事项如下:①无抗凝禁忌证的动脉夹层患者发生缺血性脑卒中或者TIA后,首先选择静脉肝素,维持活化部分凝血活酶时间50~70秒或低分子肝素治疗;随后改为口服华法林抗凝治疗(INR2.0~3.0),通常使用3~6月;随访6月如果仍然存在动脉夹层,需要更换为抗血小板药物长期治疗;②溶栓后还需抗凝治疗的患者,应在24小时后使用抗凝剂;③少数特殊患者(如主动脉弓粥样硬化斑块、基底动脉梭形动脉瘤、卵圆孔未闭伴深静脉血栓形成或房间隔瘤等)的抗凝治疗,可在谨慎评估风险、效益比后慎重选择;④对大多数急性缺血性脑卒中患者,做好不进行早期抗凝治疗。
3.降低血浆纤维蛋白原治疗
很多研究显示脑梗死急性期血浆纤维蛋白原和血液黏滞度增高,蛇毒酶制剂可显著降低血浆纤维蛋白原,并有轻度溶栓和抑制血栓作用。对不适合溶栓并经过严格筛选的脑梗死患者,特别是高纤维蛋白血症者可选用降纤酶(defibrase)、巴曲酶、安克洛酶(ancrod)等治疗。
4.其他药物
目前常用神经营养药物:神经节苷脂、依达拉奉、丁基苯酞等。对一般缺血性脑卒中患者,不推荐扩容及扩血管治疗,脑卒中后早期血液稀释疗法有降低肺栓塞和下肢深静脉血栓形成的趋势,但对近期或远期病死率及功能均无显著影响。1次痫性发作不建议长期使用抗癫痫药物,脑卒中后2~3个月再发的癫痫应常规抗癫痫治疗。
5.康复治疗
应尽早康复治疗,有研究结果提示脑梗死发病后6个月内是神经功能恢复的“黄金时期”,对语言功能的有效康复甚至可长达数年。
(二)血管内治疗
血管内介入治疗主要包括急性期的动脉内溶栓、狭窄动脉内膜旋切术和狭窄动脉支架置入,机械碎栓,机械取栓、血管内血栓抽吸等。溶栓治疗是目前最重要的恢复血流措施,重组组织型纤溶酶原激活剂(rtPA)和尿激酶(UK)是我国目前使用的主要溶栓药,目前认为溶栓治疗时间窗为4.5小时内或6小时内。溶栓治疗有静脉溶栓及动脉溶栓两种方法。动脉溶栓使溶栓药物直接到达血栓局部,理论上血管再通率应高于静脉溶栓,且出血风险降低,目前尚无证据表明动脉溶栓效果优于静脉溶栓,机械碎栓,机械取栓、血管内血栓抽吸等治疗目前国内外虽有文献报道,但由于对设备及技术要求高,术中及术后颅内出血风险增加,其效果有待临床进一步证明。
1.静脉溶栓
(1)适应证
年龄18~80岁;发病4.5小时以内(rtPA)或6小时内(尿激酶);脑功能损害的体征持续存在超过1小时,且比较严重;排除颅内出血,且无早期大面积脑梗死影像学改变。
(2)禁忌证
近期有过出血性疾病或手术及有出血倾向者:脑出血、蛛网膜下腔出血;近3周内有胃肠或泌尿系统出血;近2周内进行过大的外科手术;凝血机制异常,血小板严重减少者;严重心、肝、肾功能不全;严重糖尿病及高血压病;妊娠患者。
(3)静脉溶栓方法
①对缺血性脑卒中发病3小时内和3~4.5小时的患者,尽快静脉给予rtPA(0.9mg/kg)溶栓治疗,其中10%在1分钟内静脉推注,其余持续滴注1小时。②发病6小时内的缺血性脑卒中患者,如不能使用rtPA可考虑静脉给予尿激酶,应根据适应证严格选择患者。使用方法:尿激酶100万~150万U,溶于生理盐水100~200ml,持续静脉滴注30分钟。
2.血管扩张术
球囊血管成形术和支架置入术最初用来治疗颅内动脉粥样硬化性脑血管狭窄,预防急性卒中。Phatouros等应用球囊扩张术和支架置入术,使动脉粥样硬化性卒中患者闭塞的血管得到再通。目前应用的主要有Wingspan、Neuroform、Enterprise、Leo以及Solitaire等自膨式支架。自膨式支架具有良好的顺应性,血管痉挛的发生率较低,但它只适用于直径超过2mm的血管。血管痉挛是术中及术后最常见并发症。支架置入后需要抗血小板聚集治疗,存在出血的风险;支架置入术可能引起迟发性的支架内狭窄。但由于术后恢复快,创伤较小,多数患者仍然选择,临床应用较多。
可回收支架是用于治疗急性缺血性卒中的最新装置。这种支架在急性缺血性卒中患者治疗的过程中,可起到再通闭塞管腔的作用,随后可被回收,不作为永久性置入。在回收的过程中,可以同时作为血栓切除装置。缺点是增加血管壁内皮损伤、血管痉挛的风险。
(三)外科手术治疗
1.颈内动脉内膜切除术(CEA)
20世纪50年代,Fisher等在研究颅外颈动脉疾病与脑梗死之间关系时证实了颅外颈动脉疾病是引起短暂性脑缺血发作(TIA)及脑卒中的重要原因,并指出动脉粥样硬化多发生于颈动脉分叉部位,而分叉远端的颈内动脉分支和颅内血管则较少受累。手术切除受累的血管内膜既解除了颈动脉的狭窄,可迅速有效改善脑供血及预防脑卒中。Stully等于1953年首先开始尝试进行颈动脉内膜切除术(carotid endarterectomy,CEA)以来,CEA已成为脑血管手术中最常实施的方法之一。CEA手术对有症状或无症状颈动脉严重狭窄者均有明显疗效,可减少脑卒中发生和TIA进行性加重,已经产生脑梗死灶(多为腔隙性梗死)的可阻止梗死灶进一步扩大。
(1)CEA适应证
1)反复单侧颈动脉系统TIA,颈动脉狭窄超过70%。如双侧动脉均有狭窄,有症状的一侧先手术;双侧均有症状时,狭窄较严重侧先手术,三周后再作对侧手术;如双侧狭窄相似,选择前交通充盈侧先手术。如颈动脉近端、远端均有病灶,应选近端先手术。
2)TIA表现短暂单眼盲(黑矇)发作或不完全性脑卒中,CT无大的梗死或出血性梗死及占位征象,增强CT无血-脑脊液屏障破坏表现,尽管颈动脉狭窄程度未达到上述标准,也应手术。
3)颈动脉狭窄合并椎基底动脉供血不足症状,后循环主要由前循环供血者。
4)无症状颈动脉狭窄者应根据狭窄程度、侧支循环、溃疡斑部位、是否出现梗死灶决定。
5)轻型进行性脑卒中内科治疗无效者,并有“(2)”的CT条件。
(2)CEA禁忌证
1)中-重型完全性脑卒中。
2)有严重冠心病或其他器质性病变者。
3)颈动脉狭窄范围超过乳-颚线(乳突尖与下颚角连线)达颅底,颅外手术不可到达。
4)颈动脉完全阻塞,并且血管造影显示没有侧支逆流到达岩骨段ICA。
(3)围术期危险因素(MayoClinic标准)评估
根据患者的神经功能状态、全身情况和血管造影发现,患者出现神经功能障碍的风险最大,其次是全身情况,最后是血管造影结果。
(4)颈动脉内膜切除方法
采用胸锁乳突肌前缘切口,显露颈总动脉、颈外动脉和颈内动脉近端,阻断颈部血管前,静脉注入肝素(1mg/kg)抗凝。在手术显微镜下,沿颈总动脉和颈内动脉前壁切开血管,用剥离子分离形成硬化斑块的血管内膜,动作轻柔仔细,防止穿破颈动脉壁,斑块切除完成后,头部血管端进行血管外膜固定1~2针,防止夹层、血栓形成阻塞血管。血管切口用血管缝合线(如:Prolene 6-0 Ethicon缝线)连续缝合,当缝合完最后一针打结时,要放开颈内动脉放血冲洗处残留的斑块碎屑和空气。缝合完成后先放开颈外动脉,再放开颈总动脉,最后放开颈内动脉。局部止血后,术中B超检查血管内腔情况,若有管腔狭窄、内膜漂浮等现象,立即拆开缝线进行处理。术后用抗凝剂不是必须,用氯吡格雷或阿司匹林抗血小板聚集,治疗半年。
术后血压的控制非常重要。狭窄的颈内动脉恢复畅通,血流量显著增加,颅内血流量及血流压力相应增加,同时由于颈动脉窦刺激,血压在术后波动较大,造成颅内出血风险较大。因此,术后应严格控制血压,使血压下降至原来收缩压2/3,必要时辅以镇静治疗。
(5)颈动脉临时转流管使用指征和方法
患者经全身麻醉后,术中电生理监及经颅多普勒超声(TCD)使用。显露颈部血管后,首先试验性阻断术侧颈内动脉,如M1段血流明显下降,电生理监测波幅明显减低,则认为存在侧支循环代偿不良,需用颈动脉临时转流管。将颈动脉临时转流管的两端分别插入颈总动脉近端切口和颈内动脉远端切口内,通过止血带并充盈转流管两端球囊,排气后即可开放转流管并继续手术。颈动脉缝合至最后3~4针时,抽空转流管两端的球囊,取出转流管,再次阻断血管并完成血管缝合。
(6)术中监测
术中脑电图、体感诱发电位、TCD使用可提高手术的安全性。术中评价和监测脑血流状态,对保证术侧脑血流灌注充足是十分必要的。脑电图或体感诱发电位监测术区电活动变化,以间接了解术侧脑血流是否充足。TCD持续监测术侧大脑中动脉血流速度;直接测定术侧颈内动脉远端反流压,以确定颈内动脉颅内段的代偿状况。
2.去骨瓣减压手术
发生在颈内动脉末端或大脑中动脉主干的大面积脑栓塞,以及小脑梗死可发生严重的脑水肿,继发脑疝,应积极进行脱水、降颅压治疗,同时尽快进行去骨瓣减压术。
许多动物实验证实,大脑中动脉被阻断的时间越长,梗死区越大,水肿范围也越广,造成的神经功能障碍越严重。中动脉夹闭1~2小时可引轻微神经功能障碍;夹闭4小时出现小梗死区,中度神经功能障碍;夹闭6~24小时出现大面积脑梗死,偏瘫及昏迷。2小时后恢复血供,可出现进行性脑水肿;6~24小时后恢复血供,则出现梗死区出血。因此,实施血管重建手术可恢复脑缺血区血流循环,但进行性的水肿和出血常导致手术失败,手术的时机、手术方式应慎重选择。
用手术建立低流量侧支循环(采用间接血流重建+直接血流重建),STA-MCA吻合,引起梗死区出血的概率较低。目前对于大面积脑梗死的治疗,可颞肌贴敷、去骨瓣减压,同时选择性应用STA-MCA吻合。如果患者已经脑疝形成,颅内压非常高,过长时间暴露脑组织会加重脑的缺血损害。为了使颞肌与脑皮层有较好血管重建,硬脑膜提倡放射状切开,且不主张用人工脑膜。对于脑梗死患者是否适合血管吻合手术,目前尚有较多争论。
二、疗效与展望
对于颅内血管狭窄、闭塞造成的脑缺血疾病,颅内外血管直接、间接重建是目前重要治疗手段。1967年Yasagil和Donaghy应用颞浅动脉与大脑中动脉吻合(STA-MCA bypass)。1985年一项前瞻性国际多中心研究结果证实搭桥手术对颅内动脉狭窄或闭塞的治疗是无效的,尤其是大脑中动脉组。随着医学技术的进步,脑血管病检查手段的提高,重新思考、分析后许多学者认为,以往研究的设计存在很多不足,研究组没有纳入脑灌注血流动力学因素,并且有些中心病例数量过少,搭桥手术的效果应重新评价。随着神经外科显微技术的不断进步,颅内外血管搭桥技术重新得到发展。
关于颈内动脉狭窄的支架(carotid artery stenting,CAS)治疗和CEA治疗随机化对照研究显示:7天以内症状发生率CAS高于CEA;30天卒中或死亡的发生率,支架术后(9.6%)显著高于内膜剥脱术后(3.9%),ECA仍然是颈动脉狭窄治疗首选。



