英文名称 :erythema multiforme drug eruption
多形红斑型药疹多由磺胺类、NSAIDs及巴比妥类等引起,临床表现类似多形红斑。皮损多对称分布于四肢伸面及躯干,为豌豆至蚕豆大小、圆形或椭圆形水肿性红斑,可见虹膜现象或靶形改变(图1~2)。患者可自觉瘙痒,如口腔及外生殖器黏膜受累可伴疼痛。部分患者皮损泛发全身,出现水疱、大疱及糜烂伴严重渗出;患者往往伴有高热、外周血白细胞升高、肾功能损害及继发感染等表现,称为 Stevens-Johnson综合征(Stevens-Johnson syndrome)(图3)。该病属于重型药疹之一,病情凶险,可致患者死亡。

图1多形红斑型药疹:皮损对称分布于双手以及上胸部,为豌豆至蚕豆大小、圆形或椭圆形水肿性红斑,可见虹膜现象

图2多形红斑型药疹:足底圆形或椭圆形水肿性红斑,可见虹膜现象或靶形改变

图3Stevens-Johnson syndrome:面部水肿型红斑,水疱或大疱,黏膜损害严重
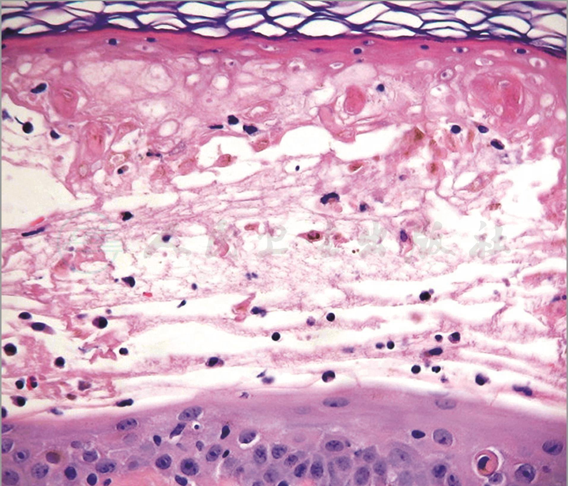
病理表现类似多形红斑。表皮细胞融合性坏死致水疱形成。真皮炎症反应轻微(图4~5)。

图4多形红斑型药疹:病理表现类似多形红斑,角质层正常,表皮细胞融合性坏死致水疱形成,真皮炎症反应轻微

图5多形红斑型药疹:示网篮状角质层及表皮内坏死的角质形成细胞
停用一切可疑致敏药物及结构相似药物,加速致敏药物的排出,注意药物的交叉过敏或多价过敏。
1.过敏性休克的抢救与治疗
过敏性休克是药物过敏的一种严重反应,以注射青霉素等抗生素发生者最多。抢救与治疗:①本病一旦发生,必须争分夺秒,立即抢救;②可用0.1%肾上腺素0.5~1ml肌注,以减轻呼吸道黏膜水肿及平滑肌痉挛,并可升高血压;③可先用地塞米松5~10mg肌注或静注,然后可将氢化可的松200~400mg加入5%~10%葡萄糖溶液500~1000ml内静脉滴注;④上述处理后,收缩压仍低于80mmHg时,可给升压药;⑤支气管痉挛严重时,可静注0.25g氨茶碱;喉头水肿呼吸受阻时,可行气管切开;⑥心搏、呼吸骤停时,应进行心肺复苏。
2.轻型药疹停用致敏药物后,皮损多迅速消退。一般给予抗组胺药、维生素C等。必要时给予中等剂量泼尼松(30~60mg/d),待皮疹消退后逐渐减量以至停药。
3.重型药疹应及时抢救,防止病情加重,减少并发症及后遗症,加强护理,缩短病程,降低死亡率。
(1)及早足量使用糖皮质激素:一般可给氢化可的松300~400mg/d 静脉滴注,或用地塞米松10~20mg/d,分2次静脉滴注;重症大疱性表皮松解型药疹可加大糖皮质激素的用量。糖皮质激素足量,病情应在3~5日内控制;否则,应加大糖皮质激素用量(原剂量的1/3~1/2);待皮疹颜色转淡,无新发皮疹,体温下降,症状缓解后可逐渐减量。
(2)预防和治疗感染及并发症:①选用抗生素时,应注意避开易产生过敏的药物,注意交叉过敏或多价过敏;②对抗生素治疗效果不佳者,应注意真菌感染的可能;③若伴发肝脏损害,应加强保肝疗法;④注意电解质紊乱并及时予以纠正;⑤若有粒细胞降低、贫血、衰竭等,可少量多次输血;⑥注意眼睛护理,定期冲洗,减少感染,防止球睑结膜粘连,闭眼困难者应用油纱布盖眼,以防角膜长久暴露而损伤;⑦注意大剂量糖皮质激素引起的副作用。
(3)加强支持疗法:及时纠正低蛋白血症、水电解质紊乱。注意蛋白质的摄入量,必要时输新鲜血及血浆或清蛋白以维持体内的胶体渗透压,可有效减少渗出。
(4)加强护理及局部治疗:①对皮损面积广,糜烂渗出重者,应注意保暖,加强病室的消毒隔离,每日更换无菌被单;②对红肿伴有渗出的皮损,用3%硼酸溶液或生理盐水湿敷;③对大疱性表皮松解型药疹的糜烂面,以暴露干燥和创面湿敷相交替为宜,可暴露于温度适宜且干燥的专用灯箱,适当湿敷;④注意防止褥疮发生。



