英文名称 :actinic cheilitis
中文别名 :日光性唇炎
光化性唇炎( actinic cheilitis)又称日光性唇炎( solar cheilitis),是由于过度日光照射引起的唇炎。包括急性光化性唇炎和慢性光化性唇炎:急性光化性唇炎以水肿、水疱、糜烂、结痂和剧烈瘙痒为主要临床特征,慢性光化性唇炎以黏膜增厚、干燥、糠秕样白色鳞屑为主要临床特征。
本病与日光中的紫外线照射有关。某些药物、植物、吸烟及唇部慢性刺激等因素也可诱发该病。部分患者有家族史。
多见于户外工作者,以男性为主。在高原作训部队中有较高的发病率,在海拔3000m以上夏季某野外作训部队中的发病率曾高达26.5%。
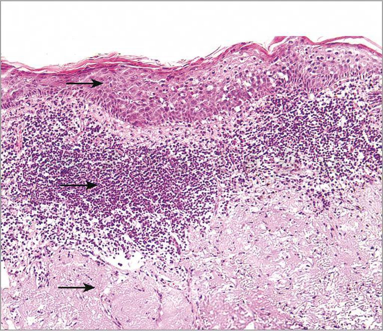
病理表现为表皮角化过度间有角化不全,棘层肥厚,轻度乳头瘤样增生,表皮突不规则下延。表皮细胞排列紊乱,细胞大小不等,形态不一(图1)。细胞核深染,大小不等,形状不规则,核分裂象常见。表皮中部可见角化不良细胞。真皮浅层胶原纤维嗜碱性变性,血管扩张,血管周围以淋巴及组织细胞为主的炎症浸润,还可见浆细胞和多核细胞(图2)。

图1 光化性唇炎
表皮细胞异型性明显,真皮混合炎细胞浸润伴有日光性损伤改变

图2 光化性唇炎:继前图示
表皮细胞异型性(上箭头),真皮混合炎细胞浸润(中箭头)伴有日光性损伤改变(下箭头)
因该病可能发生癌变,故应尽早诊断和治疗。一旦诊断明确,应注意减少紫外线照射,停用可疑的药物及食物,积极治疗与卟啉代谢有关的其他疾病。
1.一般治疗
可应用具有反射和遮蔽光线作用的防晒唇膏,减少紫外线对唇部皮肤黏膜的损伤。
2.外用药物治疗
渗出糜烂性皮损应用盐水湿敷,外用糖皮质激素糊剂或油剂;继发细菌感染时应用抗生素乳膏。
3.系统治疗
羟氯喹口服,成人每日0.4g,分2次服用,症状控制后可减至每日0.2g,每日1次。
4.物理疗法
冷冻疗法适用于慢性局限性皮损,弥漫性皮损可试用光动力疗法等。
5.手术治疗
对疑有癌变或已经癌变的局限性皮损可手术切除。
1.避免日光曝晒,户外活动时要采取防护措施,例如戴遮阳帽或口罩,唇部涂敷避光软膏等。
2.对光敏感者少食含卟啉多的食物,如菠菜、油菜、野菜等。
3.停用可使卟啉代谢紊乱的药物,如氯丙嗪、当归等。
4.积极治疗肝病,避免卟啉代谢异常。
5.改正舔唇、撕唇部皮屑等不良习惯。



