中文别名 :腺瘤性息肉
胃腺瘤是指发生于胃黏膜上皮细胞的良性肿瘤。一般起始于小凹部,从黏膜表面向外呈息肉状生长,故又名腺瘤样息肉。可发生于任何年龄,多见于40岁以上男性。腺瘤多见于胃窦部,常单发,基底宽,多较平整。胃腺瘤病因不明,可能与遗传有关。组织学上分为管状、管状-绒毛状和绒毛状腺瘤。
腺瘤的癌变率高,文献报道管状腺瘤的癌变率为10%,绒毛状腺瘤的癌变率为40%~50%。腺瘤癌变的危险因素为:①直径超过2cm;②无蒂;③多发腺瘤;④形态正面观为不规则的圆形或不规整形,侧面观为广基、不对称性、不整齐的隆起;⑤表面多为结节状、颗粒状且凹凸不平;⑥颜色暗红或多彩;⑦组织学类型为绒毛状腺瘤;⑧活检显示有高度异型增生者;⑨年龄大于50岁。
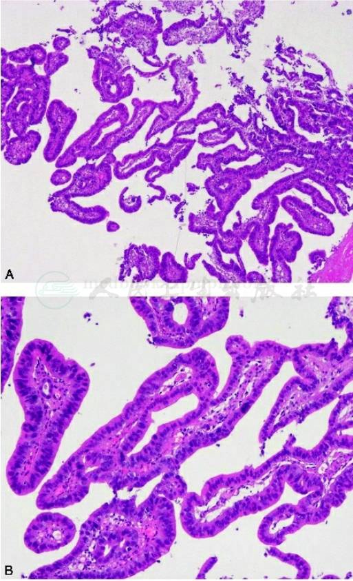
多数位于胃窦,体积较大,单个,广基或有蒂(图1),来自肠上皮化生的腺上皮。外形像结肠的腺管状腺瘤、绒毛状腺瘤或绒毛腺管状腺瘤。

图1 胃腺瘤
光镜:腺瘤上皮显示不同级别的异型增生(dyspla‐sia),上皮内有散在的神经内分泌细胞。腺瘤可癌变,特别是高级别异型增生(H.G.dysplasia)和直径>2cm者易发生癌变,但癌变率较低,仅3.4%。
目前对于胃腺瘤性息肉的治疗尚有争议,近年有人提出,凡发现息肉,不论其大小,均在活检后行电切电凝、高频电圈套摘除术、激光疗法或微波等治疗,此后胃镜复查随访,观察息肉有无再生、复发。但是少数的胃癌初起病灶可呈息肉样的形态,而良性腺瘤也有恶变的可能,因此轻率地予以观察或肿瘤切除不彻底均会影响预后。目前一般认为多发、无蒂、直径大于2cm,细胞学检查有恶变可疑者应予手术切除,可根据具体情况选择胃部分切除或全胃切除术,手术切除预后良好。



