英文名称 :nipple ductal adenoma
中文别名 :乳头导管腺瘤
乳头腺瘤又称乳头导管腺瘤,是发生于乳头内的导管即乳窦部,是一种局限于集合管内或其周围的良性上皮增生。好发于40~50岁女性,偶有男性,发病率不到乳腺良性肿瘤的1%,病程长,生长缓慢,肿瘤体积小,直径一般不超过2cm。
乳头腺瘤发生部位一定是在乳腺大导管开口处,形态复杂,表现多样性:可是硬化性乳头状瘤样、多发性乳头状瘤样、腺病样的混合性增生病变。最基本的病变为弥漫性导管上皮细胞呈乳头状瘤样增生与腺病样结构混合。导管上皮呈复杂分支的乳头状增生,乳头可粗可细,亦可形成实性、管状和腺腔结构,腺腔大小不等,上皮呈规则柱状,胞核较一致,排列整齐,有顶浆突起(图1)。外周有一层肌上皮细胞,部分导管扩张、扭曲变形。致密结缔组织中可见陷入的导管,呈假浸润现象。上皮高度增生时可有不典型,灶性上皮出现坏死(图2)并可见散在核分裂象(图3)。这时极易误诊为腺癌,应高度警惕。另可见导管上皮增生呈管状或低乳头状(图4)。
导管上皮可发生鳞形上皮化生及大汗腺化生,有时鳞化的上皮可延伸至表面,形成角化小囊。间质中有少量淋巴细胞及浆细胞浸润。WHO 及有的作者将乳头腺瘤分为三种组织学类型:①最常见的为腺病型伴硬化性或假浸润特征;②集合管上皮增生;③上皮增生与硬化性腺病共存。
图1 乳头腺瘤病变呈类圆形,由排列紊乱的增生性管状结构构成
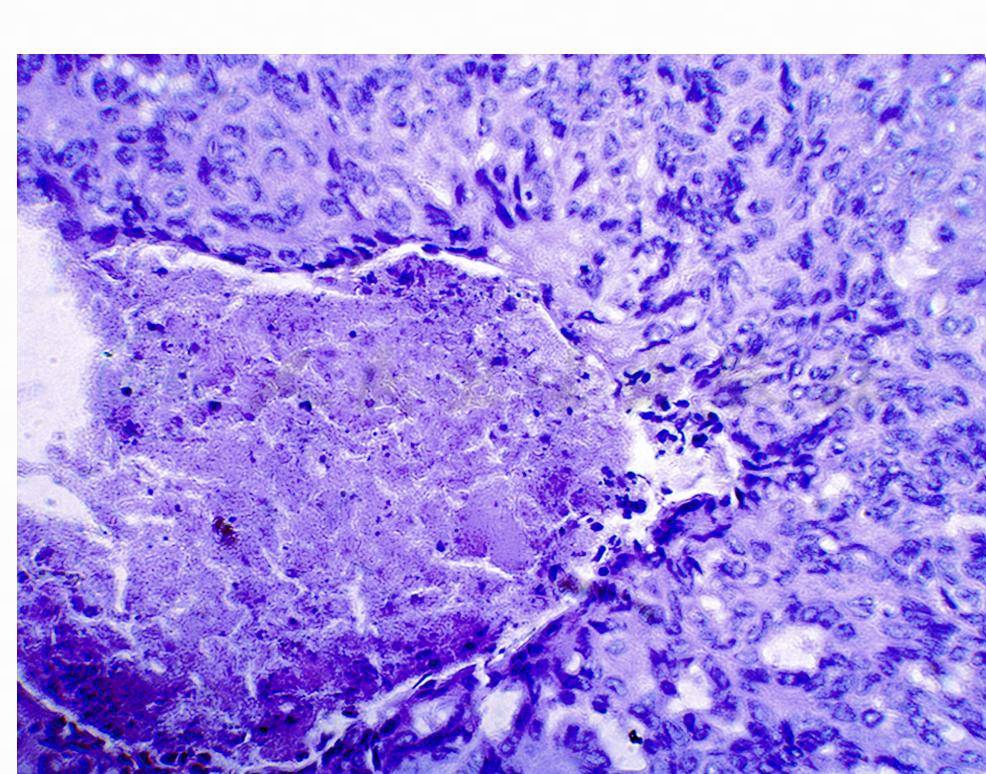
图2 乳头腺瘤病变中央区有坏死
图3 乳头腺瘤示增生细胞中可见核分裂象图
图4 乳头腺瘤可见导管上皮增生,呈管状、低乳头状
本病应尽量行乳头结节局部完整切除保留乳头,一般不主张行乳房单切术,术后常见复发,未见癌变报告。



