英文名称 :breast abscess
乳腺脓肿(breast abscess)既可发生于产后哺乳期妇女,也可发生于非产后哺乳期妇女。乳腺脓肿可由乳腺炎形成,少数来自囊肿感染。而对于非产后哺乳期乳腺脓肿,则多数不是由急性乳腺炎迁延而来,临床表现不典型,常无急性过程,患者往往以乳腺肿块而就诊,因缺乏典型的乳腺炎病史或临床症状,更由于近年来乳腺癌的发病率上升,容易将其误诊为乳腺肿瘤。
乳腺脓肿有3种类型:①皮下型;②乳腺腺内型;③乳房后型(图1)。

图1 乳腺脓肿部位
1.皮下型
皮下型乳腺脓肿,是由于乳晕周围皮肤损伤,细菌侵入后引起的急性炎症发展而成的。可见于产妇,也可见于非产妇。局部有红、肿、痛、热。触之有波动感,但乳腺腺体内无硬块。
在急性炎症初期,局部可用75%酒精湿敷及口服一些抗生素。一旦局部出现波动感,即脓肿形成,应做切开引流。皮下型脓肿因表浅,一般切开时不会伤及乳管,可沿乳晕做皮内皮肤局麻,然后沿乳晕做一弧形或横向切口。因脓肿表浅,切开皮肤后脓液即排出。待脓排净后,置一凡士林纱条引流。24小时后拔除引流条,以后每日或隔日换药一次。一般伤口很快愈合(图2)。

图2 引流切口部位
2.乳腺腺内型
腺内型脓肿,多是在积乳的基础上细菌侵入后产生。脓肿部位常较深。临床上患者伴有寒战、高热、脉搏快、食欲缺乏、白细胞增加。患乳有跳动性痛感。局部触痛明显,皮肤发红,腋下淋巴腺肿大,并可伴触痛。脓肿明显时可触及波动感。
乳腺脓肿在MRI上比较具有特征性表现,MRI平扫T1WI上表现为低信号,T2WI呈中等或高信号,边界清晰或部分边界清晰,脓肿壁在T1WI上表现为环状规则或不规则的等或略高信号,在T2WI上表现为等或高信号,壁结构较厚。当脓肿形成不成熟时,环状壁可厚薄不均匀或欠完整,外壁边缘较模糊;而脓肿形成成熟后,其壁厚薄均匀完整。脓肿中心坏死部分在T1WI呈明显低信号、T2WI呈明显高信号。脓肿周围可见片状长T1、长T2水肿表现。
在增强MRI,典型的脓肿壁呈厚薄均匀的环状强化,多数表现为中度、均匀、延迟强化。当脓肿处于成熟的不同时期时,脓肿壁亦可表现为厚薄均匀或不均匀的环状强化,强化程度亦可不同。脓肿中心坏死部分及周围水肿区无强化。部分脓肿内可见分隔状强化。较小的脓肿可呈结节状强化。当慢性脓肿的脓肿壁大部分发生纤维化时,则强化较轻。如在脓肿周围出现子脓肿时对诊断帮助较大(图3)。

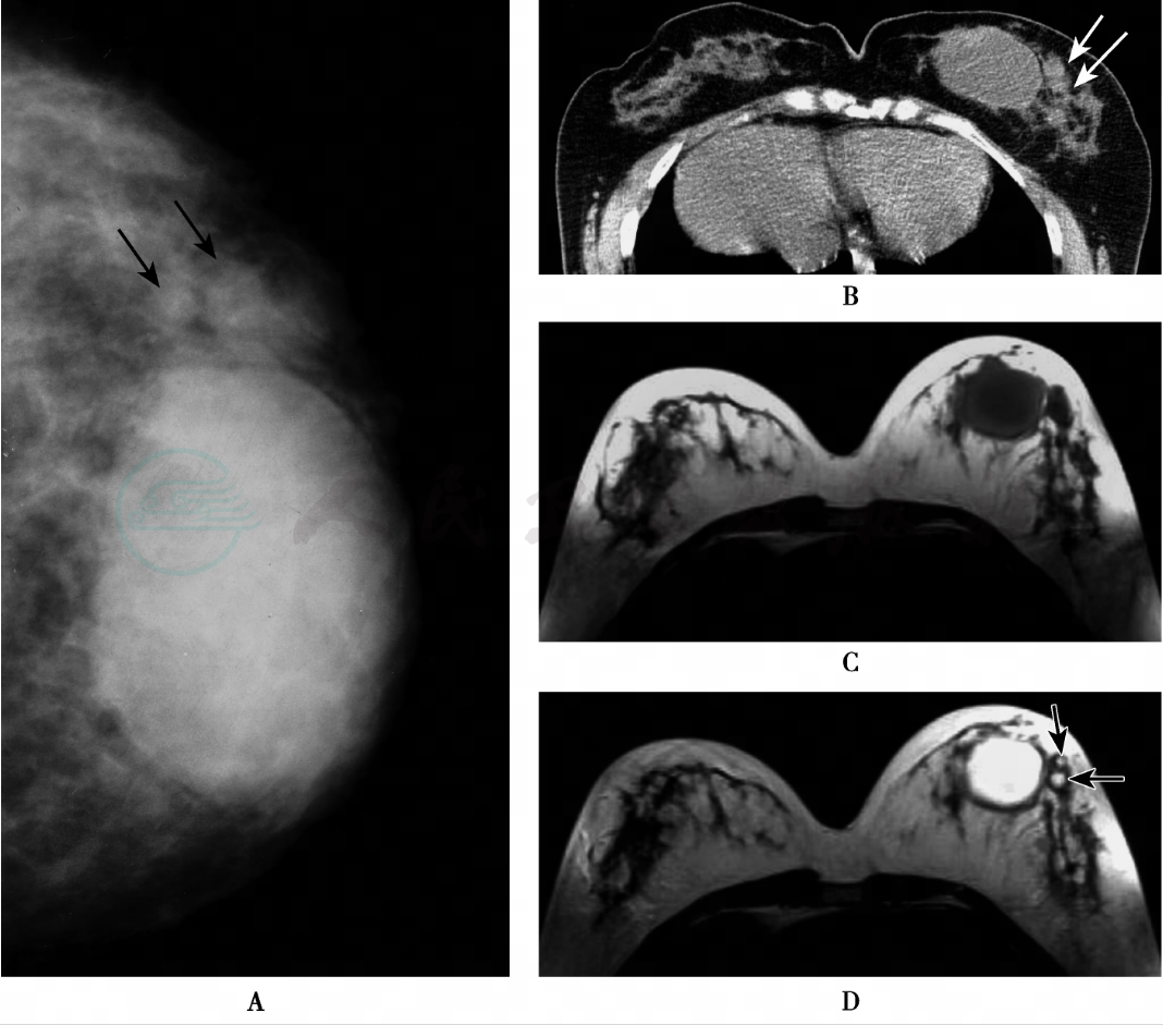
图3 乳腺脓肿MRI成像
注:37岁,女性。A.左乳X线头尾位片,显示左乳内上高密度肿物,肿物大部分边缘清晰、规则,部分后缘显示模糊,其内未见钙化,该肿物外侧尚可见两个小结节(黑箭),密度与腺体密度相近,边缘尚光滑;B.CT平扫,显示左乳内侧肿物,边界清楚,其内部CT值为11.4HU,肿物壁密度稍高且较厚,其外侧亦可见两个小结节(白箭),边界清楚;C.MRI横轴面平扫T1WI;D.MRI横轴面平扫T2WI,左乳内侧见一个类圆形肿物,肿物于T1WI呈低信号,T2WI呈高信号,表现为液体信号特征,边界清楚,肿物周边的壁厚度大致均匀,内壁光滑整齐。该肿物外侧亦可见两个信号与之相同的小结节(黑箭),边界清楚。
1.氯唑西林500mg口服,每日4次,共10日;或琥乙红霉素250mg口服,每日3次,共10日。
2.脓肿引流:常常需要全身麻醉,放射状切开,从乳晕边缘延伸向四周,避免损伤乳腺导管;用一根手指或组织钳打开脓腔;用纱布松松地填塞脓腔,其边缘引至切口外,以通畅引流剩余脓液;24小时后取出纱布,换一块更小的纱布填塞。
3.即使正在引流脓液,建议患者继续哺乳,用胸罩支撑乳房,哺乳间期冷敷乳房,以减轻肿胀和疼痛。
4.对乙酰氨基酚500mg口服,开始治疗后随访3日,以明确治疗反应。



