特发性肺动脉高压预后不良,即使采用现代治疗措施也难以治愈,1年内死亡率大约为15%。我们在特发性肺动脉高压患者随访过程中发现一例诊断为特发性肺动脉高压患者,经过钙拮抗剂等治疗后,心电图、超声心动图和胸片提示心脏明显缩小,肺动脉压力恢复正常。
患者,女,31岁,未婚,农民。活动后胸闷、气短伴声嘶6个月,于2007年8月24日入院。入院前6个月无诱因出现胸闷、气短,劳累后发作,休息后缓解。2周前声音嘶哑,当地给予美托洛尔、卡托普利、利尿剂等治疗。血压控制在120/70mmHg,仍气短,行走200m即发作胸闷、气短。发病前1个月曾有低热(37.4~37.8℃)一周,在当地医院治愈。病程中无尿少、水肿,无咳血、无晕厥、无胸痛。既往高血压史不详,无糖尿病史,无特殊家族史。
查体:BP 170/130mmHg,P 108次/min,双肺呼吸音清,P2亢进,肺动脉瓣区闻及2/6级收缩期杂音。双下肢不肿。入院诊断:肺动脉高压原因待查。
血常规、尿常规、甲状腺功能指标、D-二聚体、肝肾功能均正常。乙肝、丙肝抗原和HIV均阴性。CRP、类风湿因子和血沉正常,自身抗体无异常。住院期间动脉血气分析见表1。
表1 住院期间动脉血气
入院前心电图(图1):P波异常,右心室肥厚。
图1 入院前心电图:P波异常,右心室肥厚,广泛ST-T改变
X线远达+左侧位片(图2):两肺纹理偏重,未见实变,主动脉结不宽,肺门动脉扩张,肺动脉段明显凸出,心室大。心胸比0.63。
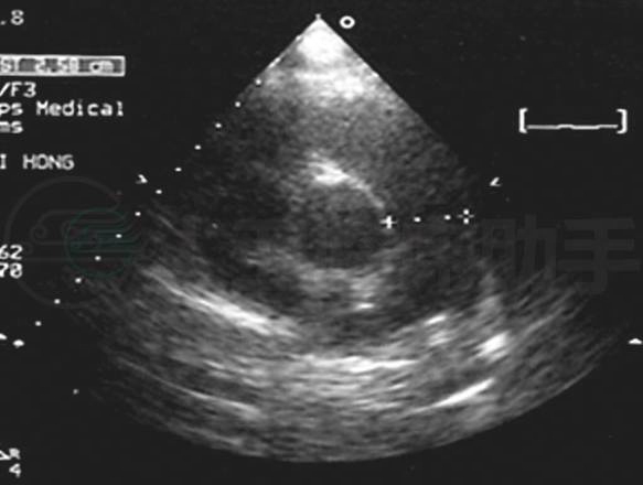
入院前门诊超声心动图(图3):左心室舒张末期前后径36mm,射血分数78%,右心室前后径40mm,右心房、右心室扩大,右心室壁增厚,运动正常,左心室内径大致正常。室间隔左移,左心室呈“D”字形,房、室间隔完整。室壁厚度正常,室间隔运动异常。肺动脉明显扩张,腔内未见明显异常回声。三尖瓣环扩张,致瓣叶对合不拢。余瓣膜形态、结构启闭未见明显异常。三尖瓣少量高速反流,肺动脉瓣少~中量高速反流,估测肺动脉收缩压84mmHg。
图2 X线远达+左侧位片:两肺纹理偏重,未见实变,主动脉结不宽,肺门动脉扩张,肺动脉段明显凸出,心室大。心胸比 0.63
图3 入院前门诊超声心动图:右心扩大,肺动脉高压
呼吸功能:肺容量和通气功能正常,小气道功能正常。肺弥散功能重度障碍。气道阻力和弹性阻力大致正常。
肺动脉增强CT(图4):肺动脉明显增宽,主肺动脉直径33.5mm,两侧段以上肺动脉充盈显影好,管腔内未见充盈缺损影。心脏结构正常,未见明确心内外分流征象。右心房、室增大,少量心包积液。两肺外围纹理纤细,肺内未见渗出及实变影。
图4 肺动脉增强CT:肺动脉明显增宽,主肺动脉直径33.5mm,两侧段以上肺动脉充盈显影好,管腔内未见充盈缺损影。心脏结构正常,未见明确心内外分流征象。右心房、室增大,少量心包积液。两肺外围纹理纤细,肺内未见渗出及实变影
核素肺灌注显像(图5):未见明显异常。
图5 核素肺灌注显像:未见明显异常
右心导管检查:肺动脉收缩压/舒张压/平均压:69/33/47mmHg,肺毛细血管楔压8mmHg,心脏指数1.8L/(min·m2),全肺阻力1273.56dyn·s/cm5。进行急性肺血管反应性试验,吸入伊洛前列素(万他维)后,复测肺动脉收缩压/舒张压/平均压:60/26/39mmHg,全肺阻力1086.28dyn·s/cm5,心脏指数1.7L/(min·m2),急性肺血管反应性阳性。
肺动脉及大动脉造影(图6):主肺动脉轻度扩张,血液充盈良好,肺动脉各分支未见充盈缺损及缺支、狭窄。弓上动脉各分支、腹主动脉及各分支未见狭窄及充盈缺损。
图6 肺动脉及大动脉造影:主肺动脉轻度扩张,血液充盈良好,肺动脉各分支未见充盈缺损及缺支、狭窄。弓上动脉各分支、腹主动脉及各分支未见狭窄及充盈缺损
综合上述检查,诊断考虑:特发性肺动脉高压,高血压,代谢性酸中毒(肾小管性酸中毒待除外)。因急性肺血管反应性阳性,给予硝苯地平缓释片20mg bid,碳酸氢钠0.5g tid,拜阿司匹林0.1g qd,美托洛尔(倍他乐克)12.5mg bid。并建议患者去综合医院进一步诊治代谢性酸中毒。以后患者多次门诊复诊,动脉血气逐渐恢复良好(表2)。
表2 随访期间动脉血气变化
多次复查心电图(图7~图9)示:电轴右偏逐渐恢复,异常P波逐渐恢复正常。2009年心电图已恢复成正常心电图。
图6 肺动脉及大动脉造影:主肺动脉轻度扩张,血液充盈良好,肺动脉各分支未见充盈缺损及缺支、狭窄。弓上动脉各分支、腹主动脉及各分支未见狭窄及充盈缺损
图7 随访3个月后心电图:电轴右偏改善,右心室肥厚减轻,异常P波逐渐恢复正常,胸前导联倒置T波回复直立
图8 随访7个月后心电图:电轴右偏消失,无右心室肥厚

图9 随访2年后心电图:正常心电图
X线胸片(图10)亦恢复正常,心脏大小恢复,无肺动脉段凸出。
图10 随访2年后X线胸片:肺纹理正常,心脏不大,肺动脉段不凸出
出院后7个月复查心脏超声(图11):三尖瓣少量反流,左心室整体收缩功能未见异常,心脏大小及肺动脉压力亦逐渐恢复正常,2年后复查超声心动图(图12,表3):静息状态下心内结构及血流未见异常。
图11 随访7个月后复查心脏超声:三尖瓣少量反流,左心室整体收缩功能未见异常,右心较前明显缩小
图12 随访2年后复查心脏超声:未见异常
表3 随访超声心动图参数变化



