患者,男,15岁。因查体发现心脏杂音12年,房间隔缺损修补术后9年,剧烈活动后心悸、气短3年入院;患者3年前出现剧烈活动后心悸、气短,未予重视。近期因家长发现其较同龄人发育较瘦小而要求进一步检查。
既往史和家族史无特殊。
查体:BP 100/70mmHg。两侧胸廓不对称,左侧胸廓相对容积偏小;双肺呼吸音清晰,未闻及干湿性啰音。HR 84次/分,心律齐,P2>A2,胸骨左缘第2~3肋间可闻及3/6级收缩期杂音。
实验室检查:血常规:正常。甲状腺功能指标:正常。尿常规:正常。肝、肾功能:正常。乙肝、丙肝:阴性。HIV:阴性。C反应蛋白(CRP) 1.15mg/L;血沉3mm/h。
心电图:窦性心律,电轴右偏。
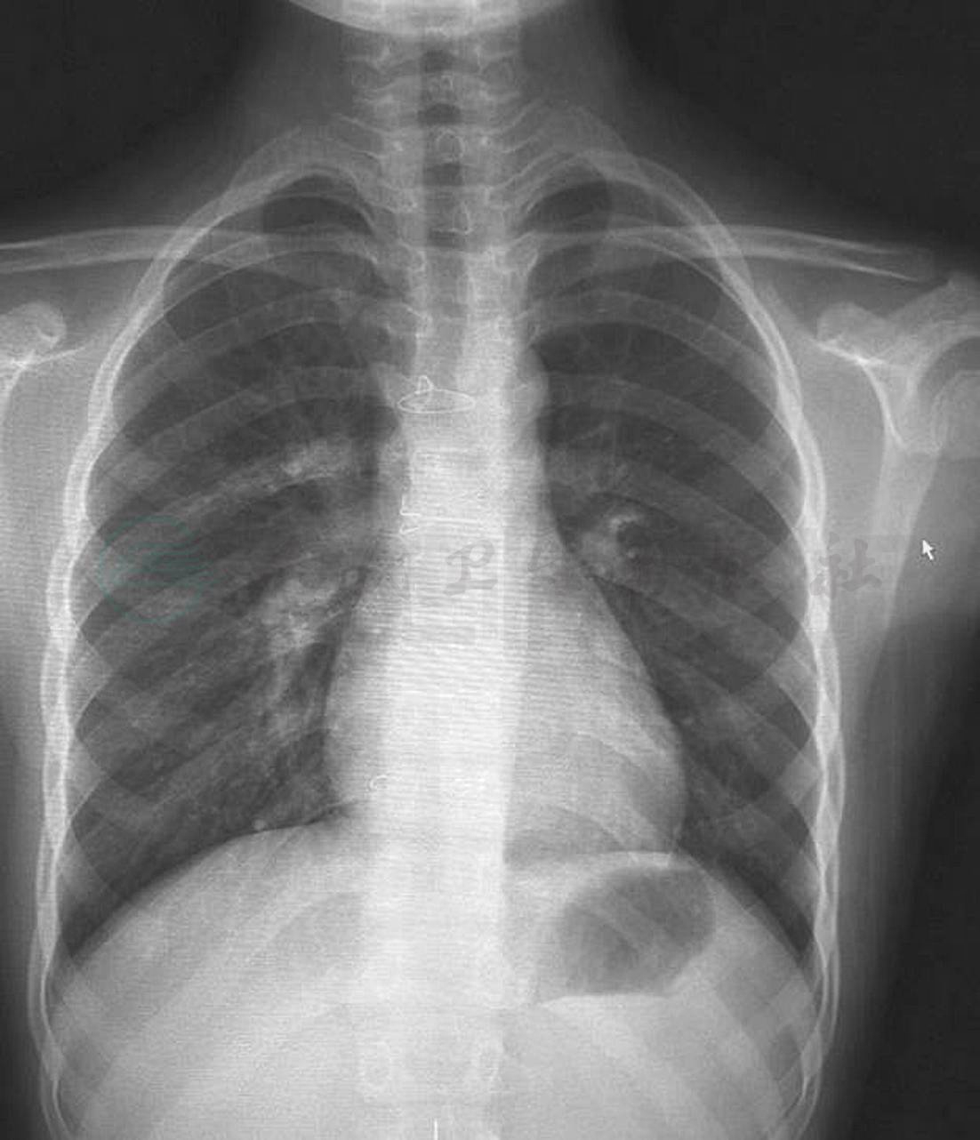
X线胸片(图1):两肺血不对称,左肺血减少,主动脉结不宽,肺动脉段平直,各房、室未见明显增大,心胸比0.48。
图1 胸部X线平片(正位):两肺血不对称,左侧明显少于右侧
超声心动图:右心房、室增大,左心大小大致正常,运动幅度良好,左心室射血分数62%。房、室间隔完整,各瓣膜结构、形态和启闭未见异常。主肺动脉及右肺动脉发育良好,左肺动脉狭窄,前向血流速度增快,收缩期峰值压差约50mmHg。
心脏增强CT(图2):心脏正位,房、室间隔连续完整,右心房、室轻度增大。左肺动脉起始部重度局限性狭窄,右肺动脉起始部轻度局限性狭窄,狭窄以远肺动脉及其分支发育良好,管腔内未见充盈缺损。
图2 心脏增强CT三维重建图像:左肺动脉起始部重度狭窄,右肺动脉起始部轻度狭窄
右心导管及心血管造影(图3):左肺动脉起始部重度局限性狭窄,右肺动脉起始部轻度狭窄。右心室压60/15(28)mmHg,肺动脉压58/15(31)mmHg,左肺动脉-主肺动脉连续测压可见41mmHg收缩压差,右肺动脉-主肺动脉连续测压可见18mmHg压差。
图3 肺动脉造影(左前斜位+足头位):左肺动脉起始部重度狭窄(箭头所示)
介入治疗:以14~40mm BIB球囊加载28mm的CP支架经12F Mullins输送鞘管行左肺动脉支架植入术;植入后造影显示支架内血流通畅,右肺动脉起始部未受明显影响(图4);右心室压51/15(22) mmHg,肺动脉压47/15(26) mmHg,左肺动脉-主肺动脉连续测压可见18mmHg收缩压差,右肺动脉-主肺动脉连续测压可见22mmHg压差。
图4 植入CP支架后肺动脉造影(左前斜位+足头位):左肺动脉起始部狭窄解除,支架内血流通畅(箭头所示),右肺动脉未受明显影响
随访:支架植入术后1年随访,活动后心悸、气短症状消失。超声心动图显示心脏各房、室大小正常,左肺动脉起始部可见20mmHg峰值收缩压差,右肺动脉起始部可见约25mmHg收缩压差。胸片示两肺血大致对称、正常,左肺动脉支架形态、位置良好(图5)。
图5 术后1年随访胸部X线平片:支架形态良好,两肺血无明显差别



