【主诉】
闭经1年余,低热2个月。
【现病史】
患者,女,40岁。患者于1年前无明显诱因出现月经量减少,逐渐闭经,伴午后、夜间盗汗,未行诊治。于2个月前出现低热,体温波动在37. 2~38℃之间,无头晕、头痛,无心慌、胸闷,无恶心、呕吐,无视物模糊、视物成双,无四肢抽动及大小便失禁。在当地医院给予输液治疗(具体药物不详),症状无明显改善。入院前1天在外院行头颅MRI示:脑及脊髓多发病变。为求进一步治疗来我院就诊,以“颅内病变待查”收住院。患者自发病以来,饮食、睡眠尚可,大小便正常,体重减轻约10kg。
【过去史】
既往体健,否认高血压、冠心病、糖尿病等慢性病史,否认肝炎、结核等传染病史,无手术外伤史,无输血史,无食物药物过敏史。
【个人史】
预防接种随当地进行。月经史: 14
39,发病前月经规律。
【家族史】
母亲健在,曾有“结核”病史,父亲已故,死于胃癌,否认家族遗传病及传染病史。
【查体】
体温36℃,脉搏64次/分,呼吸20次/分,血压134/101mmHg。意识清楚,精神可,内科系统查体无异常。神经系统查体无阳性体征。
【辅助检查】
1.血常规 白细胞计数4.49×109/L,中性粒细胞百分比43. 9%。
2.凝血检验、肝功能、生化检查均无明显异常。性激素测定无明显异常。
3.尿常规 pH 7.0,尿白细胞(+),潜血(-),红细胞12个/μl。
4.心电图检查 无明显异常。
5.胸部X线片 胸廓对称,双肺纹理增多紊乱,双肺透光度减低,似磨玻璃样改变,肺门心影不大,双膈光滑,双侧肋膈角锐利。印象:双肺改变,考虑慢性炎症,建议进一步检查除外肺结核。
6.头颅MRI(2008年8月27日)示:双侧大脑半球、小脑半球、双侧侧脑室、上段颈髓内可见散在多发大小不等结节状T1WI等信号、T2WI略高(图1)异常信号灶,部分病灶周围可见水肿带;注入GD-DTPA后病灶明显结节状、环状强化(图2~图4)。各脑池及脑沟未见明显增宽及加深,诸脑室未见扩大和变形。中线结构无移位。
7.腰穿检查(2008-8-28)脑脊液常规:红细胞计数20×106/L,白细胞计数0;脑脊液生化:蛋白、糖、氯化物正常;脑脊液涂片未查到抗酸杆菌及新型隐球菌,结核抗体阴性;单纯疱疹病毒、弓形虫、巨细胞病毒、风疹病毒抗体检测均阴性。
【诊治经过】
入院后予以改善循环、营养神经及对症处理治疗后,症状无明显变化,于2008年9月1日行脑活检。
【病理结果】
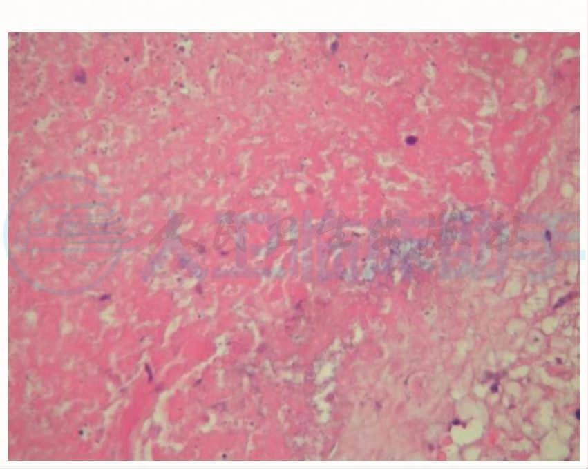
HE染色:光镜下可见慢性肉芽肿性变,病灶中央有干酪样坏死组织(图5~图6),坏死组织中央细胞结构消失呈嗜酸性改变(图7);周围有朗格汉斯细胞、淋巴细胞、浆细胞、上皮细胞浸润,部分肉芽肿纤维增生,病灶组织周围血管壁淋巴细胞浸润(图8)。
病理诊断:结核性肉芽肿。
图5 慢性肉芽肿,HE×100
图6 病灶中央见干酪样坏死组织,坏死组织中央细胞结构消失呈嗜酸性改变,HE×400
图7 慢性肉芽肿,HE×200
图8 部分肉芽肿纤维增生,病灶组织周围血管壁淋巴细胞浸润,HE×400
该患者经活检后予以抗结核治疗3个月后,复查头颅MRI,颅内病灶较前减少,部分病灶钙化。患者闭经症状好转,无午后低热现象。



