【主诉】
言语缓慢伴行走踩棉感3月余,加重10余天。
【现病史】
患者男性,46岁。患者于3个月余前无明显诱因出现言语缓慢,可听懂他人讲话,可对答,但语速慢,偶有找词困难,发音无明显异常。行走踩棉感,怕摔跤,上下楼梯时明显,但未曾摔倒,觉夜间走路较白天困难,无双下肢无力,无行走歪斜,无走路掉鞋。自觉记忆力下降,以近记忆力下降明显,售卖彩票时偶有算账慢或出错,日常生活可自理,情绪低落,对下棋等既往爱好兴趣下降,易发脾气。上述症状进行性加重,10余天前觉劳累后言语缓慢较前明显加重,现仍可对答、独立行走,1天前就诊于我院急诊,行头颅MRI DWI见胼胝体高信号,以“脑梗死”收入院。自起病以来,无意识不清、头痛、头晕,无幻觉,无视物成双、视物变形,无耳鸣、听力下降,无吞咽困难、饮水呛咳,无强哭强笑,无肢体无力,睡眠可,食欲欠佳,大小便正常,体重无明显变化。
【过去史】
4年余前出现双足麻木,持续无缓解,未予诊治。否认高血压、心脏病、糖尿病史,否认脑血管病、精神疾病史。10年前患肺结核、结核性胸膜炎,自述已愈。否认溃疡、哮喘史。否认手术、外伤、输血史,否认药物过敏史。
【个人史】
纺织厂工人,现售卖彩票。吸烟30余年,约10支/日。饮白酒10余年,既往每天饮酒1~2斤,2年前于北医六院、回龙观医院等戒酒治疗,期间曾出现幻觉等精神症状,出院后每天仍饮白酒1斤左右,现未戒酒。
【家族史】
无特殊。
【查体】
无T、P、R。血压120/60mmHg。神清,言语缓慢,发音正常。计算力下降,无失认、无失用。脑神经检查未见异常。四肢肌力5级,肌张力正常。双足针刺觉过敏,双侧深感觉正常。双侧指鼻稳准,轮替动作正常,双侧跟膝胫试验稍欠稳准,Romberg征(-),直线行走不能。双上肢腱反射(++),双膝腱反射(+++),双跟腱反射(+),双Rossolimo征(+),双侧Babinski征(-)。颈无抵抗。
【辅助检查】
1.血常规 血红蛋白130g/L,平均红细胞体积107.2fl,平均红细胞血红蛋白含量37.3pg,淋巴细胞比例40. 2%,单核细胞比例8. 2%。
2.叶酸3.5ng/ml,钾3.44mmol/L,总蛋白50g/L,尿酸461μmol/L,余肝肾功能、心肌酶、凝血、糖化血红蛋白、血糖、血脂、免疫八项、HCY、维生素B12、甲状腺功能、甲状腺抗体、尿便正常。
3. MMSE: 25分,MOCA: 25分。
4.头颅MRI(2011-2-10)DWI:胼胝体呈弥散高信号,T2WI:胼胝体呈高信号,FLAIR像胼胝体呈高信号,余未见异常。
5.头颅MRA(2011-2-12)双侧大脑中动脉水平段走行僵硬并轻度狭窄,其远端分支、大脑后动脉远侧分支纤细;大脑前动脉、后动脉主干走行尚自然,未见明显狭窄。诊断:符合大脑中动脉粥样硬化改变。
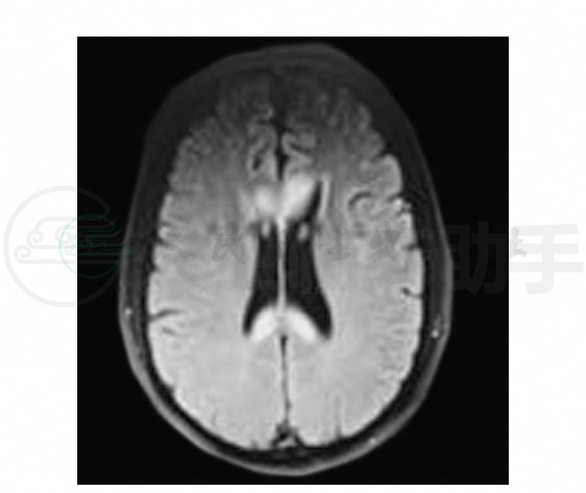
6.头颅MRI(2011-2-15)DWI:胼胝体弥漫高信号,T2WI:未见明确出血灶,胼胝体见多发片状高信号,FLAIR呈高信号,增强后病变强化不明显,余未见异常。诊断:胼胝体脱髓鞘改变,酒精中毒可能,请结合临床(图1~图4)。
图1 头颅MRI轴位T2WI示胼胝体斑片状高信号
图2 头颅MRI轴位FLAIR示胼胝体斑片状高信号
图3 头颅MRI矢状位T2WI示胼胝体由外向内呈“三明治”样低、高、低信号
图4 头颅MRI矢状位T1WI增强扫描示胼胝体由外向内呈“三明治”样低、高、低信号
7.肌电图(2011-2-15)双侧腓肠神经、右尺神经SNAP波幅下降,SCV正常范围,双胫神经H反射未测出,下肢SEP:双胫神经刺激,双侧脊髓段未测出,双侧中枢段潜伏期延长,波幅下降,双侧周围段潜伏期、波幅、波间期均在正常范围。



