【主诉】
睡眠增多1个月余,反应迟钝、记忆力下降10天。
【现病史】
患者男性,43岁,内蒙古人。2001年8月上旬患者家人发现患者无明显诱因容易困倦,睡眠增多,当时未引起注意。8月30日家人发现患者反应迟钝,容易忘事,有时出现言语错乱,双眼视物模糊。遂于当地医院就诊,行头颅CT检查发现“颅内多发占位病变”,当时未查视力,亦未治疗。为进一步诊治来我院就诊,门诊行头颅MRI检查示“颅内多发占位病变”后收住神经内科。发病以来患者饮食正常,无发热、抽搐、头痛、恶心、呕吐、乏力、体重下降及肢体活动障碍等,大小便正常。
【过去史】
2年半前发现患有“糖尿病”,未正规服药。2年前患有“脑梗死”,未遗留不适;4个月前行“甲肝和乙肝疫苗”接种。
【个人史】
生于原籍,无外地久居史,无疫水接触史。长年在牧区从事畜牧工作。不吸烟,嗜白酒约20年,每日约半斤。无放射性物质及毒物接触史。已婚,爱人及子女均健康。
【家族史】
父亲20年前死于“咯血”,病因不清。姐姐患有“糖尿病”,哥哥患“高血压病”,母亲患有“老年性痴呆”。
【查体】
体温:36.6℃,脉搏:78次/分,呼吸:20次/分,血压:130/80mmHg。内科系统检查未见异常。神经系统检查:意识清楚,表情淡漠,反应迟钝,言语流利,时有答非所问,右利手,远、近记忆力、定向力、计算力较差,左右失认、手指失认。嗅觉正常,视力、视野粗测正常,双眼底视乳头无水肿,无出血及渗出,双侧瞳孔等大等圆,直径约3mm,对光反射灵敏。双眼球同轴居中,各方向活动正常。鼻唇沟对称,示齿口角无歪斜,听力粗测正常,无构音障碍、饮水呛咳、吞咽困难,转颈耸肩对称有力,伸舌居中,未见舌肌纤颤及萎缩。四肢肌力5级,躯干及四肢深浅感觉对称,指鼻稳准,跟膝胫试验完成好,双侧肱二头肌、肱三头肌、膝腱及跟腱反射(++),双侧Hoffmann、Babinski及Chaddock征(-)。颈软,Kernig征(-)。
【辅助检查】
1.尿便常规正常,血常规:白细胞计数11×109/L,红细胞计数4. 89×1012/L,血红蛋白150g/L。
2.血生化 血电解质、肝肾功能正常,空腹血糖:6. 4mmol/L,乙肝表面抗原(HBV-Ag)(-),丙肝抗体(HCV-Ab)(-),艾滋病抗体(HIV-Ab)(-)。
3.血结核三项 结明试验:弱阳性,ICT卡试验阳性,快速卡试验阴性,血弓形虫IgG(-),血风疹病毒IgG(-),血抗巨细胞抗体-IgG(CMV)阳性及抗单纯疱疹病毒抗体-IgG(HSV)阳性。
4.心电图、胸片正常。
5.腹部B超 除脂肪肝外余未见异常。
6.视诱发电位 左侧P100延长。P300检查示各记录点潜伏期均延长。7.腰穿检查 第1次(9月13日) :压力200mmH2O,外观无色透明,蛋白定性试验(Pandy试验) (+),细胞总数20×106/L,白细胞5×106/L,蛋白930mg/L,糖4. 7mmol/L,氯化物127mmol/L,结核三项阴性。第2次(9月21日) :压力(静点甘露醇250ml后) 150mmH2O,外观无色透明,细胞总数:无,蛋白定性试验(Pandy试验)(-),蛋白708mg/L,糖4. 6mmol/L,氯化物123mmol/L,并送外院查抗巨细胞病毒抗体-IgG(-),抗EB病毒抗体-IgG(-),抗单纯疱疹病毒抗体IgG(-),抗麻疹病毒抗体IgG (+),抗风疹病毒抗体IgG(-)。寡克隆区带(+),髓鞘碱性蛋白4. 9nmol/L(正常值≤0. 55nmol/L)。
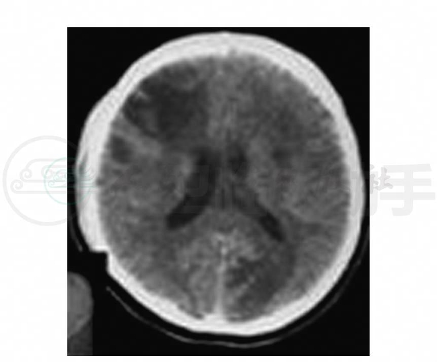
8.头颅CT(9月3日) 双额叶、左侧颞叶、枕叶、顶叶多发局限性低密度灶(图1),占位效应不明显,增强后无强化(图2),无囊变,无钙化,无结节,中线居中,脑室不大。
图1 头颅CT示双额叶、左侧颞叶、枕叶、顶叶多发局限性低密度灶
图2 头颅CT增强示病灶无强化
9.头颅MRI(9月10日)双侧额叶、左枕叶、左颞叶皮质及皮质下多个大小不等的T1WI低信号、T2WI高信号(图3),最大者直径约6cm,两侧脑室前角受压变形,胼胝体受累,中线结构略左移。DWI示高信号(图4)。增强扫描可见上述病灶多数呈环形增强(图5)。
图3 头颅MRI轴位T2WI示双侧额叶、左枕叶、左颞叶皮质及皮质下多发高信号,两侧脑室前角受压变形,胼胝体受累,中线结构略左移
图4 头颅MRI轴位DWI示高信号
图5 头颅MRI矢状位T1WI增强扫描示病灶多数呈环形增强
【诊治经过】
入院后患者病情稳定,于2001年9月14日行立体定向脑内占位穿刺活检术并取病变组织送病理检查。
【病理结果】
取材部位:右额叶脑组织。
HE+LFB(luxol fast blue)染色:所检脑组织多灶性变性,皮质未见著变,病变脑组织结构解离,可见大量格子细胞和少量Creutzfeldt细胞,反应性星形细胞增生,脑组织血管周围淋巴细胞“套袖”样浸润(图6)。LFB染色:脑白质分层脱髓鞘,髓鞘脱失与髓鞘相对保留区相间存在(图7)。格子细胞内可见吞噬蓝染的髓鞘碎片。临床病理诊断:炎性脱髓鞘病。
图6 病变脑组织结构解离,反应性星形细胞增生,脑组织血管周围淋巴细胞“套袖”样浸润,LFB+HE×100
图7 脑白质分层脱髓鞘,髓鞘脱失与髓鞘相对保留区相间存在,LFB×100
2001年10月15日和12月25日复查头颅MRI,除与首次MRI平扫可见多发病灶外,第2次(2001-10-15)头颅MRI的T2WI上可见左颞叶病灶有同心层样改变(图8),第3次(2001-12-25) MRI在多个病位可见明显的同心层样影像(图-9~图11),最多同心层可达8层之多。此时结合病理,临床诊断为同心圆硬化(Balo病)。实际上当时的病理已经有同心层的改变,但由于影像尚未表现,故未诊断。该患者经激素治疗2个月后,精神症状好转,记忆力有恢复。2002年6月6日又进行MRI检查(病后10个月)可见病灶明显缩小,仍可见模糊的同心层改变(图12)。2003年5月电话随访,除脾气急躁、反应略慢、近记忆稍差外,无其他症状。
图8 头颅MRI轴位T2WI示左枕叶、左颞叶皮质及皮质下多发高信号,病灶有同心层样改变(2001-10-15)
图9 头颅MRI矢状位T2WI示病灶同心层样改变(2001-12-25)
图10 头颅MRI矢状位T2WI示病灶局部同心层样改变(2001-12-25)
图11 头颅MRI轴位T2WI示病灶局部同心层样改变(2001-12-25)
图12 头颅MRI轴位T2WI示病灶同心层样改变(2002-06-06)
笔者曾遇到一个类似病例,最初在外院误诊为脑多发转移瘤,但实际上是同心圆硬化。病史如下:
患者女性,47岁。因反应迟钝、智能减退2个月,左下肢力弱1个月入院。患者2004年 3月下旬出现主动语言交流减少,反应略迟钝。当时家人未在意。4月13日家人发现患者不去上班,有时无故发笑,打牌时经常出错牌,回答问题略简单,未在意。4月20日家人发现患者持物不稳,且走路时左下肢力弱拖沓,遂送医院行头颅CT,发现脑内多发病灶(图13)。进一步行头颅MRI检查,示病灶呈T1WI低信号(图14)和T2WI高信号(图15),周边强化(图16),FLAIR可见同心层样改变(图17),疑为“脑多发转移瘤”,4月26日转到北京某医院考虑为“同心圆硬化”收住院,即予静脉丙种球蛋白25g/d治疗,共5天。外院腰穿压力200mmH2O,细胞总数14×106/L,白细胞数2×106/L,脑脊液蛋白480mg/dl(正常<450mg/dl), MBP13. 14ng/L(正常<0.55ng/L),24小时IgG合成率-42.29mg(正常-9~3mg),寡克隆带阳性。5月1日予甲泼尼龙静点,1g/d×5天,5月6日改地塞米松静点,20mg/d×14天,5月10日患者左下肢力弱好转,搀扶能行走,全身无疼痛感。5月20日改地塞米松15mg/d×10天,辅以神经节苷脂-1、甲钴胺等治疗。但自5月21日后症状再次加重,左肢无力,小便失禁,解大便时困难,伴痛苦表情,乱抓乱喊。此外,患者食欲不振,睡眠增多,常处于嗜睡状态。为进一步诊治于2004年5月25日收入我科。
图13 头颅CT示颅内多发病灶
图14 头颅MRI轴位T1WI示双额、颞叶多发低信号
图15 头颅MRI轴位T2WI示双额、颞叶多发高信号
图16 头颅MRI轴位T1WI增强扫描示病灶环形强化
图17 头颅MRI轴位FLAIR示同心层样改变
入院后神经系统查体:神清,淡漠,少语,语利。定向力、记忆力、计算力下降。MMSE10分。双眼可见水平眼震,右侧面肌有时可见Tic症状。左上肢肌力5-级,左下肢肌力4级。双侧腱反射对称引出,双侧Hoffmann阳性,大小便失禁。根据患者的MRI,尤其是FLAIR像的同心层样病变,可以诊断为同心圆硬化。虽然患者在外院已经过甲泼尼龙冲击治疗,效果不佳,入院后再次给予甲泼尼龙冲击治疗,分别500mg/d×3天、240mg/d×3天、160mg/d×3天、80mg/d×3天,以后改泼尼松口服,60mg/d逐渐递减。激素治疗同时IVIG 20g/d×30天,GM-1 20mg/d×30天。1个月后,患者病情逐渐恢复。10个月后随访MMSE为28分,MRI仍可见模糊的同心圆病灶,但病变显著缩小。2006年8月随访时已完全恢复正常工作。2008年8月随访时病灶为陈旧病灶。至2009年随访时,在MRI上仍然可以见到同心层的改变。



