肝脏淤血主要由于肝静脉回流受阻所致,多发生于右心功能不全,也见于肝静脉、下腔静脉闭塞,大剂量(30~60Gy)射线照射也可发生类似病变。长期淤血缺氧,肝细胞逐渐萎缩、变性、坏死或消失,网状支架塌陷,胶原纤维形成并向门脉周围伸展,形成淤血性肝纤维化或淤血性肝硬化。
病例介绍
患者中年女性,55岁,以“腹胀半个月”为主诉入院。
现病史:患者半个月前自觉无明显诱因出现腹胀,逐渐加重,无腹痛,伴有胸闷气短、心慌乏力,于我院门诊就诊,彩超示“淤血肝,胆囊结石,脾大”,血常规示白细胞及血小板降低,门诊以“淤血性肝病”为诊断收入院。病来患者无发热寒战,无咳嗽咳痰,无胸痛头晕,饮食睡眠可,大便不成形,约1~2次/日,尿量正常。
既往史:40年前因“支气管扩张”行左肺叶切除。冠心病病史10年,间断服用硝酸异山梨酯,近期无胸痛发作,偶有胸闷气短。否认高血压、糖尿病病史。有输血史,无输血反应。否认肝炎、结核传染性疾病史。青霉素批号过敏。否认烟酒嗜好。
体格检查:体温36.2℃,脉搏76次/分,呼吸18次/分,血压110/70mmHg,可触及奇脉。神志清楚,周身皮肤黏膜无苍白及黄染,未见肝掌及蜘蛛痣,浅表淋巴结未触及肿大。结膜无苍白,巩膜无黄染。平卧位可见颈静脉怒张。左胸部可见15cm手术瘢痕,右肺呼吸音清,无啰音,左肺未闻及呼吸音。叩诊心界正常范围,心音有力,心率76次/分,律齐,各瓣膜区未闻及杂音。腹部膨隆,可见腹壁静脉曲张,全腹无压痛、反跳痛及肌紧张,肝肋下3cm、剑突下2cm,Ⅱ度硬,有触痛,脾肋下未触及,肝区叩痛阳性,胆囊区无压痛,移动性浊音阴性,肠鸣音4次/分。左下肢水肿。
辅助检查:
血常规:白细胞3.0×109/L,红细胞4.0×1012/L,血红蛋白114g/L,血小板计数88×109/L。
心电图:窦性心律不齐,频发房性期前收缩,T波低平、倒置。
肝胆脾彩超:淤血肝,门脉扩张直径约1.4cm,胆囊结石,脾大。
初步诊断:1.淤血性肝病;2.冠心病。
入院后完善肝功能、脑钠肽、心肌酶谱测定等相关化验及腹部增强CT三维血管重建、心脏彩超及左心功能测定等检查,进一步明确肝脏病变程度及病因。辅助检查结果如下:
肝功能:总蛋白65.3g/L,清蛋白37.3g/L,白球比1.3,谷丙转氨酶15U/L,谷草转氨酶22U/L,碱性磷酸酶83U/L,γ-谷氨酰转肽酶79U/L,胆碱脂酶3910U/L,前清蛋白0.19g/L,总胆红素25.5μmol/L,直接胆红素9.8μmol/L,间接胆红素15.7μmol/L。
脑钠肽:186.7pg/ml,略高于正常值;心肌酶谱未见异常。
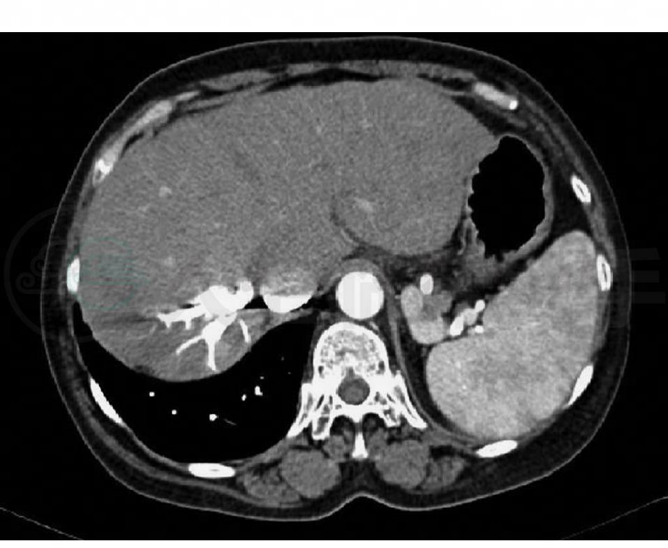
腹部增强CT三维血管重建:肝硬化,脾大;肝静脉及下腔静脉增粗(图1);胆囊多发结石。

图1 腹部增强CT三维血管重建
下腔静脉及肝右静脉分支明显增粗
心脏彩超及左心功能测定:双房比例增大,心包膜增厚,较厚处约3mm,回声增强;下腔静脉内径增宽,宽约27mm,随呼吸运动幅度减低;射血分数55%。
胸片:左侧肺叶切除术后,脊柱侧弯。
患者心包膜增厚,进一步完善心脏CT检查。结果回报:左侧胸膜、膈胸膜及心包多处增厚、钙化(图2);双房增大,主肺动脉、右肺动脉及其分支扩张;右侧颈内静脉、头臂静脉、上下腔静脉血管扩张;支持缩窄性心包炎诊断。

图2 心脏CT
心包广泛增厚、钙化
综合分析患者病情及辅助检查结果,考虑患者长期心包钙化使心脏舒张功能受限,进而导致肝脏淤血,肝脏长期淤血形成肝硬化,同时伴有脾功能亢进。
明确诊断:1.淤血性肝硬化,肝功能失代偿期;2.缩窄性心包炎。
患者明确诊断后转入心脏外科行心包剥离手术,术后病情平稳,患者出院。