患者,女性,55岁,退休干部,因左下胸痛3个月,咳嗽、咳痰2个月于2012年1月30日入院。患者于2011年11月中下旬开始无明确诱因出现左下胸痛,右侧卧位时明显,无明显放射痛。未予重视,自行服用“感冒药”后症状持续加重,于2个月前开始出现咳嗽、咳痰,晨起明显,咳吐白色泡沫痰,量较多,咳嗽时伴有左侧胸痛加重。于2011年12月和2012年1月先后在深圳、广州等多家医院住院治疗,期间曾查胸部CT(图1)示左下肺呈大部分实变,密度欠均匀,内可见支气管影,左侧胸腔内可见不规则低密度影,纵隔内可见多个较小淋巴结,部分心包增厚。多次查胸水见大量中性粒细胞和红细胞,未发现癌细胞,提示脓血性胸腔积液;胸膜活检示慢性炎症,外院诊断考虑左下肺感染并胸腔积液可能,予间断抗感染、化痰及对症治疗1个月余,患者胸痛稍有缓解,但仍时有发作,为进一步明确诊断而收治我科。患者起病后体重减轻8kg,精神、食欲欠佳。既往无高血压、糖尿病病史。曾于1997年行阑尾切除术,2007年行腹腔镜下胆囊切除术。
图1 肺CT(2011-12-13)
入院查体
T 36.6℃,P 112次/分,R 14次/分,BP 104/51mmHg。营养欠佳,慢性病容,意识清,全身浅表淋巴结后未触及肿大,左下肺语颤减弱,左侧肩胛线第8肋以下叩诊浊音,左下肺呼吸音消失,右肺呼吸音清晰。心脏各瓣膜无杂音。双下肢无水肿。
辅助检查
血常规WBC 44.3×109/L↑,N 90.80%↑,核左移明显,Hb 95g/L↓,PLT 382×109/L↑;肝功能ALB 30.5g/L↓;癌胚抗原37.860ng/ml↑;降钙素原0.23ng/ml↑;内毒素定量(比浊法):0.157EU/ml;大小便常规、肾功能、电解质、凝血功能、结核全套、肺炎支原体抗体、衣原体抗体、军团菌抗体、甲状腺功能、免疫球蛋白、真菌全套均(-);痰涂片革兰氏染色、找酸染色(-)。
1.诊治经过
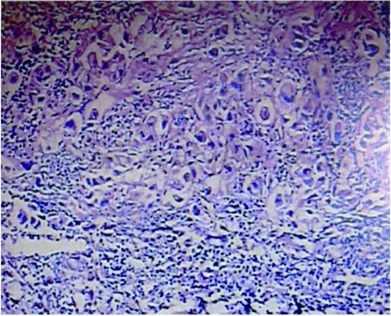
患者入院后初步诊断为:左下肺实变并胸腔积液查因:结核感染可能。入院后完善相关检查并持续监测患者体温,发现患者于每天下午至夜间出现低热,体温波动在36.3~37.8℃,夜间咳嗽明显,咳嗽剧烈时伴有头痛和左侧季肋区疼痛。2012年2月3日行纤维支气管镜提示左下基底段狭窄闭塞,呈支气管炎症样改变。予行经纤支镜肺活检(TBLB),病理结果回报:(支气管黏膜及肺组织)极少散在淋巴细胞,切片未见癌。予以抗感染治疗近2周,患者仍间断低热,但无明显畏寒、盗汗。2周后复查肺部CT肺部实变无好转;查腹部CT亦未见异常。鉴于患者临床表现与检验、纤维支气管镜检结果及治疗转归不完全相符,于2月15日转胸外科行开胸肺活检,术中见左侧两叶肺水肿严重,肺门结构不清,左下肺可见15cm×15cm×20cm肿块,外形不规则,质硬与膈肌粘连,未见侵犯,左上肺部分不张,左侧胸腔积液,病理检查(彩图2)提示肉瘤。遂行左下肺切除并淋巴结清扫术,术后治疗半个月后痊愈出院。
彩图2 肺组织活检(HE×100)
2.最后诊断
左下肺肉瘤。



