患者,女性,61岁,护士,因体格检查发现双下肺多发性小结节状阴影9天于2001年7月18日入院。患者于2001年7月9日体检时,胸片发现左下肺结节状致密影,并于7月14日行肺CT扫描发现双下肺多发性小结节病灶而收住入院。起病后无发热、咳嗽、胸痛及咯血等症状。既往体健,起病前1年有短暂的饲鸽史。
入院检查
T 36.8℃,P 96次/分,R 20次/分,BP 100/70mmHg。全身皮肤黏膜无黄染、浅表淋巴结不大,气管居中,两肺呼吸音清晰,心界不大,心率96次/分,腹软,肝脾不大,双下肢不肿。
辅助检查
血常规、血沉、腺苷脱氨酶(ADA)、血管紧张素转换酶(ACE)、ECG和腹部B超均正常;癌胚抗原(CEA),癌抗原125(CA125),甲胎蛋白(AFP),PPD-IgG和IgM均为阴性。胸片:左下肺结节状致密影。肺CT:双下肺近胸膜下多个类圆形小结节状影,密度均匀,边界欠清晰,直径0.5~1.0cm不等,边缘未见明显分叶及毛刺,未见空泡征,气管、主支气管通畅,纵隔内未见肿大的淋巴结(图1)。
图1 肺CT
一、诊治经过
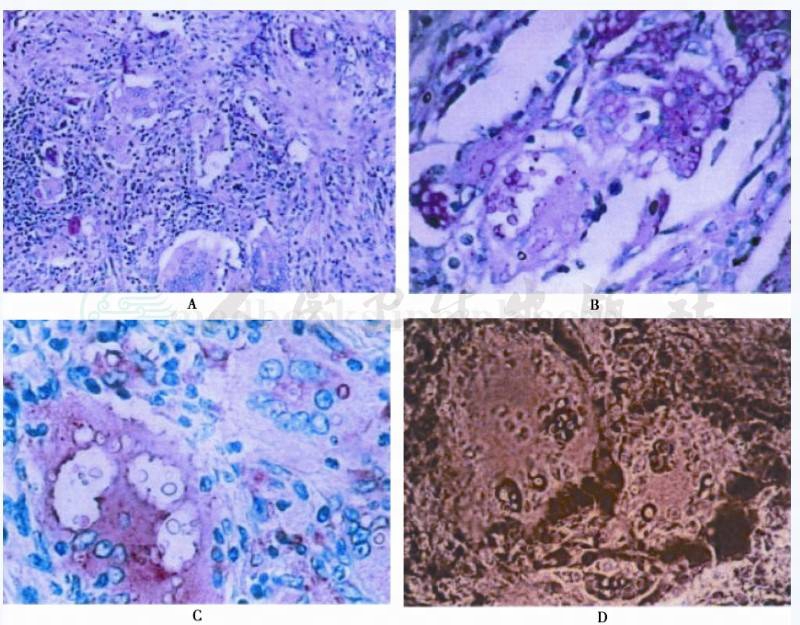
CT示双下肺多发性小结节病灶,不排除肺转移癌而于2001年7月31日行剖胸探查术,术中见左下肺多个质硬结节(约6个)分布较均匀,最大为2cm×2cm×1cm,小的直径约0.5cm,并行左下肺切除术。术后见标本剖面呈灰白色、鱼肉状,淋巴结未见肿大,左下肺结节病理组织切片诊断:肺隐球菌病,肺组织内有巨细胞性肉芽肿形成,肉芽肿的组织内有大量单核细胞、多核细胞及淋巴细胞,间质内有较多纤维组织增生,肺泡有萎缩。PAS染色检查发现有较多隐球菌,墨汁染色显示较多的隐球菌荚膜。免疫组化:CK(-),EMA(-),CD68(+),Lys(+),示多核巨细胞内有隐球菌(图2)。
图2 肺组织病理
A.HE×100;B.PAS×100;C.免疫组化(CD68)×100;D.墨汁染色×100
二、最后诊断
双肺隐球菌病。



