患者,女性,48岁,农民,因咯血伴胸痛8年,加重1周,于2007年12月31日入院。患者诉8年前无明显诱因出现咯血,为鲜红色,量不多,伴右侧胸背部隐痛,无咳嗽、咳痰、发热等不适,遂入当地医院就诊,予以“止血、抗感染”等对症支持处理后病情好转。但之后患者病情反复发作,于2000~2001年在外院行规律抗结核治疗1年,后又间断行抗结核治疗,病情无明显好转。1年前,患者咯血量增多,发作较前频繁,在外院查肺部CT(图1)示右上肺斑片影,其周可见大小不一囊性空洞,考虑:①结核;②多发性肺囊肿并感染。至我院行支气管镜检查示支气管化脓性炎症,遂间断抗感染治疗。1周前,患者咯血量增多,为鲜红色,约30ml/d,伴胸痛,为求进一步诊治入我院。患者本次起病以来,精神、食欲欠佳,二便正常,体重亦无明显变化。
图1 肺CT(2006-12-12)
入院查体
T 36.5℃,P 96次/分,R 20次/分,BP 100/65mmHg,SpO2 96%,全身浅表淋巴结无肿大,呼吸运动对称,语颤右侧减弱,左侧语颤正常,左肺叩诊清音,右中叩诊稍浊,双肺未闻及明显干湿啰音,心界不大,心率96次/分,腹软,肝脾不大,双下肢不肿。
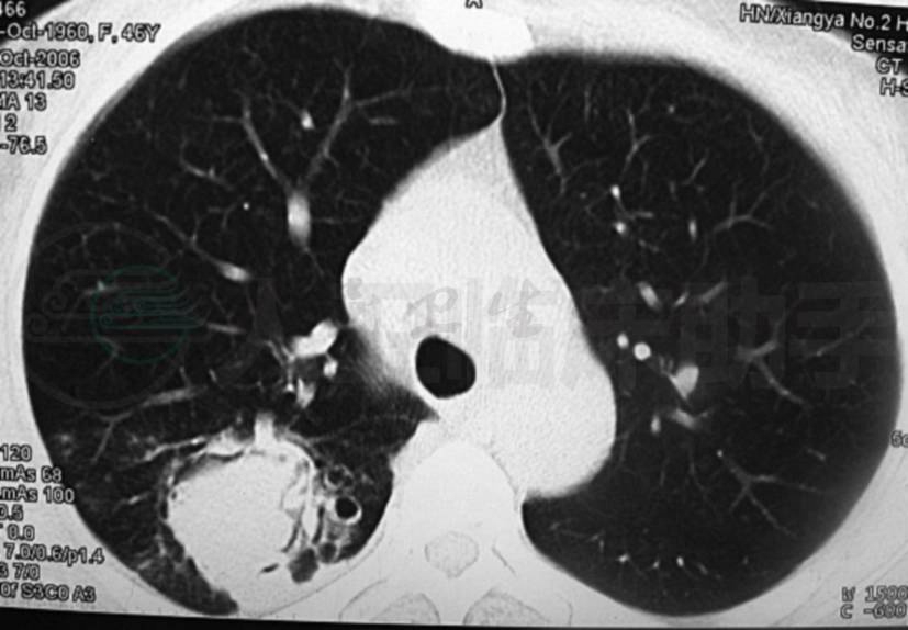
辅助检查
血常规Hb 94g/L;肝肾功能、凝血功能(-);动脉血气(鼻导管吸氧3L/min):pH 7.50,PCO2 29.80mmHg,PO2 78.40mmHg。痰涂片找真菌(-),三次痰培养均(-)。肺部高分辨CT(图2)示右上肺后段见斑片状、团块状影,其内可见大小不一圆形透光区,局部胸膜增厚,右下肺后基底段奇静脉食管隐窝处可见条索状影及小囊状支气管影像,余肺未见异常密度影,右肺门、纵隔未见肿大淋巴结,未见胸腔积液征象。
图2 肺CT(2008-01-02)
一、诊治经过
患者入我科后经哌拉西林/他唑巴坦+左氧氟沙星抗感染、氨甲环酸+蛇毒血凝酶+垂体后叶素+奥曲肽止血、复方氨基酸支持对症等治疗后病情无明显好转,在1月3日行介入治疗后转入监护室仍有反复咯血,系鲜红色血,400~500ml/d,考虑与肺部肿块有关,诊断首先考虑“支扩合并曲霉菌球”,内科治疗及放射介入治疗效果均不佳。后转入胸外科于1月14日在全麻下行“右上肺切除、右下肺背段切除术”,手术顺利,术后肺组织病检:切面见一个5cm×4cm×3cm大小的囊。镜下见支气管腔呈囊状扩张,官腔内有大量炎性坏死及曲霉菌孢子及菌丝,肺泡腔内有较多炎性坏死,大量中性粒细胞、组织细胞浸润,有脓肿形成。PAS(+)。考虑右上叶支气管扩张并曲霉菌感染。术后经抗感染、抗真菌及对症支持治疗,患者恢复良好出院。
二、最后诊断
1.右上叶支气管扩张;
2.曲菌球(右上叶)。



