复发性多软骨炎(relapsing polychondritis,RP)是一种病因不明、全身软骨均可受累的自身免疫性疾病,以侵犯软骨和富含氨基聚糖的组织为主,临床表现多样,早期诊断困难。RP呼吸道受累比例高,预后相对较差,是引起死亡的主要原因之一。由于受累部位及程度不一,RP呼吸道受累的表现亦呈多样性,误诊率较高。
女患,43岁,2010年1月25日因“反复咳嗽两月余,加重伴发热、胸闷、气短十余天”为主诉入院。
现病史:患者来院两个月前无明显诱因出现感冒,咳嗽,流清涕,伴声音嘶哑,自行口服“消炎药”,症状未见好转,五天后就诊于当地医院,接受阿奇霉素抗感染治疗7天,自觉咳嗽症状减轻,回当地社区卫生所继续抗感染治疗,第1天给予克林霉素、后5天给予阿奇霉素抗感染治疗6天,咳嗽症状进行性加重。两周前患者出现发热,最高体温达40摄氏度,咳嗽加重伴胸闷气短、四肢肌肉酸痛,气短于活动后尤为明显,故就诊于我院,给予行CT检查示左肺门影增大,气管、左右主支气管和左肺上叶支气管管壁广泛增厚,建议患者行纤维支气管镜检查,但患者拒绝,经门诊系统抗感染治疗(三代头孢联合喹诺酮),咳嗽症状减轻,但仍发热。6天前患者再次出现高热,最高体温达39℃,为进一步诊治收入我科。患者病来饮食可,睡眠差,二便正常。体重下降3kg。否认高血压,糖尿病,冠心病病史,否认肝炎,结核病史。
查体:T:37.2℃,P:92次/分,R:22次/分,BP:120/60mmHg。神清语明,步入病室,查体合作。结膜无苍白,巩膜无黄染,口唇和四肢末梢不发绀,咽部不充血,扁桃体不肿大。颈软,气管居中,呼吸平稳,腋下及颈部多发淋巴结肿大,触之较韧,边界清楚,无明显融合,体表未见明显红肿及压痛。胸廓对称,双肺叩诊呈清音,双肺呼吸音粗,可闻及明显干啰音,左肺中下叶可闻及明显水泡音。心音纯,心率92bpm,律齐,各瓣膜区未闻及病理性杂音和额外心音。腹平坦,柔软,肠鸣音3次/分,全腹无压痛,肝脾肋下未触及。双下肢无水肿。
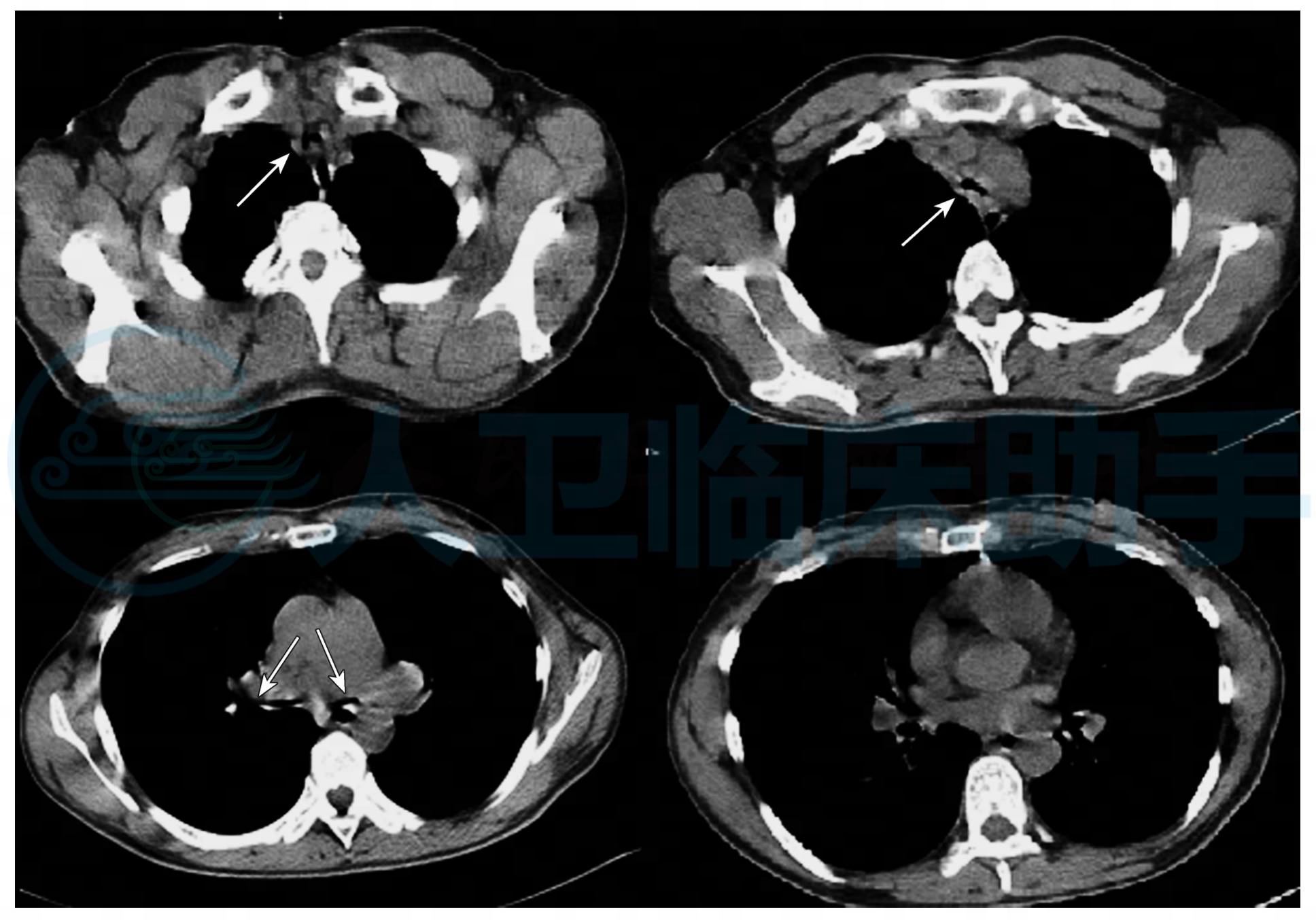
入院辅助检查:血常规:WBC:5.5×109/L,NE%:78.2%,RBC:4.31×1012/L,Hb:95g/L,PLT:627×109/L;CRP 48.10mg/L;肺炎支原体抗体1∶40,军团菌抗体(-)。肺CT检查示左肺门影增大,气管、左右主支气管和左肺上叶支气管广泛狭窄、管壁增厚,气管呈“刀鞘样”变,右肺中叶少量慢性炎症,右锁骨上窝、纵隔内、左肺门多发肿大淋巴结(图1)。
图1 左肺门影增大,气管、左右主支气管和左肺上叶支气管广泛狭窄、管壁增厚,气管呈“刀鞘样”变,其他叶段支气管基本正常,纵隔内、左肺门多发肿大淋巴结
入院诊断:气管弥漫性狭窄原因待查
入院后因患者存在气管弥漫性狭窄,故积极予患者完善结核相关检查及纤维支气管镜,PPD结果阴性,结核抗体阴性,反复痰涂片查结核菌及痰结核菌培养均为阴性。纤维气管镜结果回报:气管、支气管管腔狭窄,黏膜广泛增厚,环状软骨显示不清(图2)。支气管黏膜病理检查报告:支气管黏膜炎症。其他辅助检查结果回报:①尿常规RBC 110.20/HP,红细胞畸形率20%;②CRP 196mg/L;③血沉60mm/h;④肝肾功能:Alb 24.3g/L,TP 62.5g/L,白球比0.6,余均正常;⑤血气分析:pH 7.409,PaO2 65.7mmHg,PaCO2 41.6mmHg;6.DD 685μg/L。
图2 气管和支气管管腔狭窄,黏膜广泛增厚,环状软骨显示不清
完善检查同时予患者哌拉西林/他唑巴坦4.5g q8h抗感染治疗,三日后患者体温未见明显好转。且患者气管黏膜病理结果回报为非特异性炎症表现,未见明确感染病变,故停用抗生素观察患者热型变化。
患者目前诊断为气管狭窄原因待查,原因可能为:①淀粉样变性:为少见病例,确诊依靠病理诊断;但对于弥漫性气管狭窄为表现的淀粉样变性应由其注意鉴别原发或继发性淀粉样变性的可能,可筛查多发性骨髓瘤,慢性气管炎症如结核等,并将局部病理活检送检刚果红染色;②气管内膜结核:患者可表现为发热、咳嗽咳痰,患者血沉增快,但PPD阴性,多次痰查结核菌未见阳性结果亦有不支持之处,且气管内膜结核的病变多为局灶性,故暂不支持该患的诸多表现;③气管肿瘤:患者目前呈消耗体质,体重较前有所下降,贫血,血白蛋白及前白蛋白均明显降低,气管广泛狭窄,腋下及颈部多发淋巴结肿大,故应注意有无气管肿瘤的可能性,欲取局部淋巴结活检;④复发性多软骨炎:侵犯软骨和富含氨基聚糖的组织为主,可累及耳、关节、炎、鼻、气管软骨等多系统,此患者有声音嘶哑,气管狭窄的表现,但无其他系统受累的表现,故亦有不支持之处,但疾病早期受累脏器相对较少时可以仅出现气管表现,故该诊断仍有赖于病理学检查。但对于复发性多软骨炎及淀粉样变性,由于前者累及气管软骨,使大气管的支撑力不足,导致气管软化,而后者为气管黏膜的炎症改变,软骨支撑并未见明显变化,故通过气管镜下动态观察气管膜部的运动及吸、呼气双相CT对比可进一步验证。遗憾的是该患者拒绝了以上的检查,坚持出院。
出院后约3个月,电话随访患者,患者因急性气管梗阻,呼吸衰竭,于外院进行了气管切开,并出现了双耳的红肿。故最终诊断:复发性多软骨炎。



