曲霉菌广泛地存在于自然界,目前已知的大约250种曲霉中,仅有极少数具有致病性。曲霉菌的致病性取决于宿主的免疫状态和曲霉菌的毒力。通常将曲霉所致的呼吸系统疾病分为腐生性(曲菌球)、过敏性(哮喘、变应性曲菌性鼻窦炎、变应性支气管肺曲菌病、过敏性肺炎)和侵袭性(气管侵袭性曲菌病、侵袭性肺曲菌病)。变应性支气管肺曲菌病(ABPA)作为一种变态反应性(而非侵袭性)的肺部疾病,被认为是由烟曲霉所致的气管高反应,其临床主要表现为哮喘、反复的肺内浸润病灶、支气管扩张等。在免疫机制上,ABPA具有速发型(Ⅰ型)和抗原抗体复合物(Ⅲ型)变态反应的临床特点。而侵袭性肺曲菌病(IPA)属肺部感染性疾病,是曲霉菌致病的另一种表现形式。理论上ABPA和IPA的发病机制不同,虽同为曲霉菌致病,但隶属于两类不同的疾病。我科曾诊治过一例ABPA合并IPA患者,现报告如下。
男患,68岁,以“心悸1个月,黑便3天”为主诉入住我院消化科。
1个月前,患者自觉心悸,无乏力,无头晕头迷,自测脉搏90~100次/分左右。3天前,患者晨起自觉乏力气短加重伴有头晕头迷,排柏油样便1次,便前无腹痛,便后无里急后重。患者病来有喘息气短,无发热,无反酸,无上腹烧灼感,无恶心呕吐,无腹痛腹胀,无呕血,小便正常,近3日排柏油样便,日1次,量约200g。饮食可,睡眠差,近期体重未见明显减轻。否认冠心病、高血压病史;否认肝炎结核病史;否认糖尿病病史;慢性支气管炎病史十余年;曾有左腿跟腱裂伤,现已愈合;3年前行左眼白内障手术;5个月前诊断腰间盘脱出,腰椎管狭窄。否认药物及食物过敏史。有面粉接触史18年;吸烟30年,戒烟3年;否认家族遗传病史。
入院查体:查体:T:36℃,P:110次/分,R:20次/分,BP:132/90mmHg。神清语明,查体合作。周身皮肤黏膜无苍白及黄染,未见肝掌及蜘蛛痣。浅表淋巴结未触及肿大。结膜略苍白,巩膜无黄染。双肺听诊哮鸣音。心音有力,心率110次/分,律齐,各瓣膜区未闻及杂音。腹软,下腹正中轻压痛、无反跳痛及肌紧张,肝脾肋下未触及,肝区无叩痛,移动性浊音阴性,肠鸣音4次/分。双下肢无水肿。
入院辅助检查:血常规:白细胞:9.8×109/L,中性粒细胞56.9%,淋巴细胞28.2%,嗜酸性粒细胞5.7%,血红蛋白92g/L,血小板236×109/L;便常规:外观软便,潜血(+++)。
入院时诊断:1.消化道出血;2.胃溃疡?
诊治经过:针对消化道出血给予保护胃黏膜
等相关治疗,经胃镜及肠镜检查不能解释患者消化道出血的原因,且在治疗过程中,患者喘息逐渐加重,结合患者有“慢性支气管炎”病史10年给予多索茶碱治疗,并请呼吸科会诊。完善总IgE、肺功能、肺CT检查。结果回报,总IgE>3000IU/L;肺功能:混合性肺通气功能障碍,小气管功能重度减退,支气管舒张试验阳性;肺CT显示双肺多叶段支气管扩张,以中心性扩张为主,双肺小斑片影,左肺上叶纤维增殖性病变(图1)。呼吸科会诊诊断:支气管哮喘(变应性支气管肺曲霉菌病可能性大),在消化道出血控制后,于入院第7天转入呼吸科继续诊治。入呼吸科后反复痰查曲菌阴性,行支气管镜检查及肺泡灌洗检查均未发现曲菌感染的证据。复查血常规,白细胞7.6×109/L,中性粒细胞百分比54.3%,嗜酸性粒细胞比例9.4%,嗜酸性粒细胞计数0.71×109/L。由于检查手段限制未能行曲霉菌皮肤点刺试验检查及特异性IgE/IgG检测,综合上述检查结果,临床诊断:变应性支气管肺曲霉菌病。给予泼尼松40mg qd口服,联合抑酸剂保护胃黏膜,布地奈德/福莫特罗吸入剂160μg日2次吸入治疗,患者喘息症状明显改善,出院。
图1 双肺多叶段支气管扩张,以中心性扩张为主,双肺小斑片影,左肺上叶纤维增殖性病变
出院诊断:变应性支气管肺曲菌病,上消化道出血
出院后继续上述治疗方案。出院半个月后,患者出现咳嗽咳,咳大量黄色黏痰,每日约300ml,咳嗽时伴有胸痛,无咯血,伴有发热,体温最高39℃,有畏寒寒战,在当地医院给予头孢类(具体不详)和喹诺酮类(具体不详)等抗感染治疗无效,再次入院。
再次入院查体:T:37.8℃,P:114次/分,R:20次/分,BP:100/60mmHg,一般状态尚可,神清语明,步入病房,查体合作。周身皮肤未见皮疹及出血点,皮肤巩膜无黄染,睑结膜略苍白,未见肝掌及蜘蛛痣。浅表淋巴结未触及肿大。双肺散在干鸣音,右肺中下野可闻及少量湿啰音,湿啰音位置固定,咳嗽后无明显变化,双肺叩诊音清;心音低钝,律齐,心率114次/分,各瓣膜区未闻及杂音。腹软,全腹无压痛、反跳痛及肌紧张,肝脾肋下未触及,肝区无叩痛,移动性浊音阴性,肠鸣音3次/分,双下肢无水肿。
再次入院辅助检查:血常规:白细胞23.0×109/L,中性粒细胞百分比87.3%,嗜酸性粒细胞百分比2.3%。复查肺CT(图2):肺部影像在前次肺部病变的基础上,斑片影扩大和实变,实变影内可见透光,另有新发浸润渗出病变;扩张的支气管的管壁增厚,周围渗出病变;左肺上叶病灶扩大。
图2 左图为首次入院,右图为再次入院。在前次肺部病变的基础上,斑片影扩大和实变,实变影内可见透光,另有新发浸润渗出病变;扩张的支气管的管壁增厚,周围渗出病变;左肺上叶病灶扩大
再次入院诊断:支气管扩张合并感染
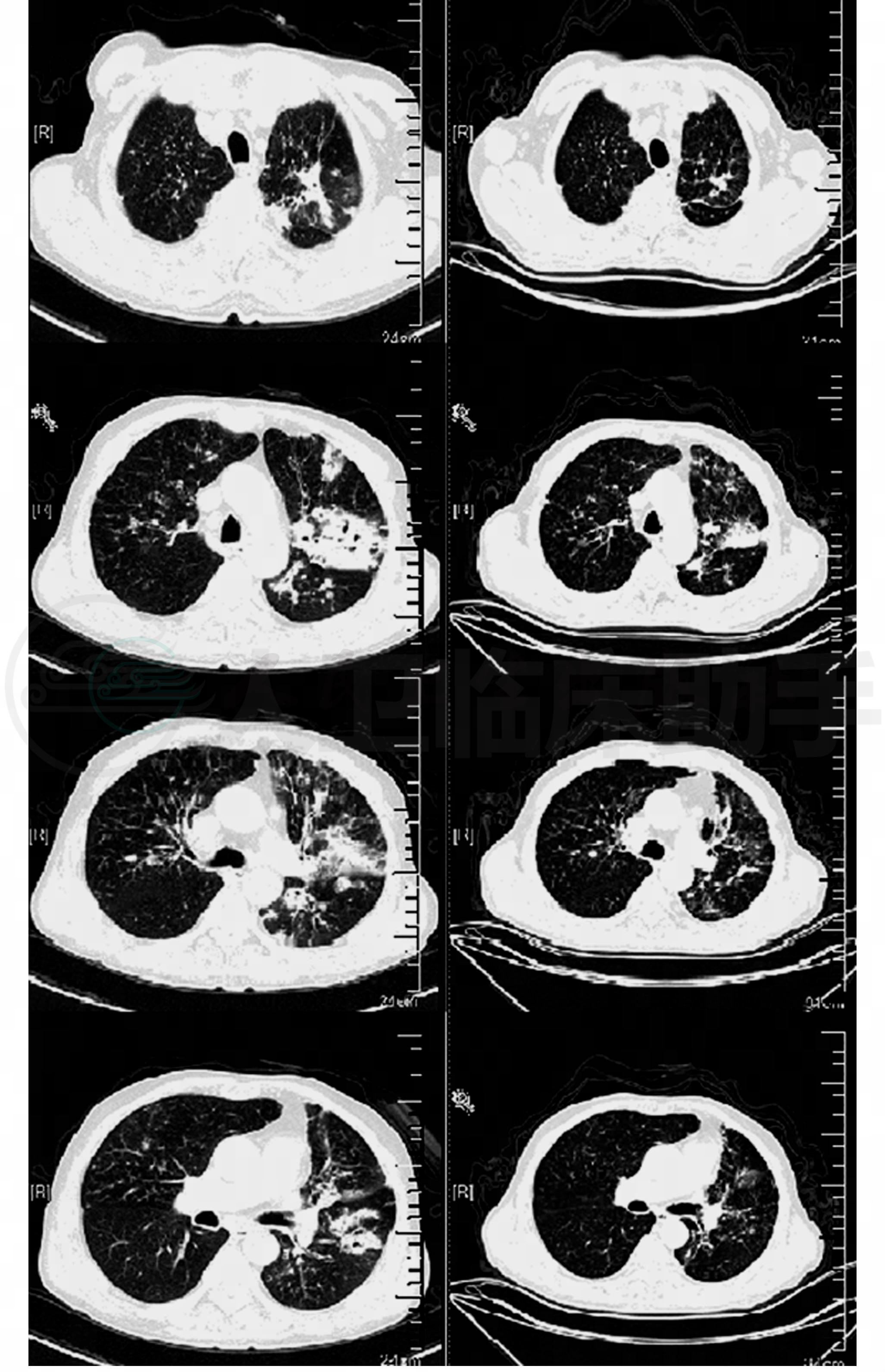
诊治经过:给予美罗培南0.5g q8h静点抗感染治疗5天,患者体温无下降,最高达39.3℃,仍咳大量脓性痰,并出现咯血,量约15ml/d。追问病史:患者以烧柴(玉米秸、稻草)取火做饭,每日翻动有霉变的柴草。气管镜下所见(图3):各级支气管黏膜萎缩,左肺上叶前段开口和左肺上叶舌段入口处可见白色膜状物附着,于该处取活组织标本3次,支气管肺泡灌洗液送检。结果:痰液和支气管肺泡灌洗液中均为烟曲霉菌生长;支气管黏膜病理标本:炎性细胞浸润,未见曲霉菌。临床诊断:侵袭性肺曲霉菌病。改用伏立康唑首日400mg间隔12小时静点,此后200mg q12h静点,患者体温明显下降,咯血消失,喘息改善,经治疗1个月出院,继续伏立康唑200mg q12h口服,疗程3个月。出院后1个月(伏立康唑治疗后2个月)复查肺CT,肺内阴影明显吸收(图4)。
图3 各级支气管黏膜萎缩,左肺上叶前段开口和左肺上叶舌段入口处可见白色膜状物附着
图4 出院后1个月(伏立康唑治疗后2个月)复查肺CT,肺内阴影明显吸收(左图为治疗前,右图为治疗后)
出院诊断:变应性支气管肺曲霉菌病,侵袭性肺曲霉菌病



