胸膜间皮瘤(pleural mesothelioma)是一种源于胸膜间皮组织的肿瘤,约占胸膜肿瘤的5%,却是胸膜最常见的原发肿瘤。间皮瘤除了发生在胸膜外,还可发生在腹膜、心包膜和睾丸鞘膜等部位。胸膜间皮瘤占整个间皮瘤的50%。临床上常见的为弥漫性恶性胸膜间皮瘤(malignant pleural mesothelioma,MPM),早期诊断困难,预后差。80%MPM的发生与接触石棉有关,其他致病因素可能包括感染猿猴病毒40(SV40)、非特异性工业化合物接触史及遗传等。目前仍缺乏有效的方法治疗MPM,其中位存活时间仅为4~12个月。MPM的诊断和治疗已成为继肺癌之后我们需要面对的另一个医学难题,需要给予更多的重视和关注。
男性,38岁,因“活动后胸闷气短15天”入院。
患者15天前无明确诱因出现活动后胸闷、气短,呈持续性加重,无发热、盗汗及胸痛,夜内偶有咳嗽,无痰,无咯血,就诊于当地医院,肺CT显示“左侧大量胸腔积液”,为系统诊治入我院,患者病来无头晕头痛、无心慌、无关节疼痛、饮食睡眠良好,体重下降3kg。既往史:否认结核病史,否认石棉接触史。
入院时查体:T:36.5℃,P:80次/分,R:20次/分,BP:130/80mmHg。神志清楚,步入病房,查体合作,发育营养可。周身皮肤黏膜未见苍白及黄染,无皮损,口唇无发绀,睑结膜无苍白,巩膜无黄染,咽不赤,扁桃体无肿大,颈静脉无充盈,浅表淋巴结未触及肿大,气管居中,左侧胸廓饱满,左侧叩诊实音,左肺呼吸音明显减弱至消失,右肺呼吸音清,未闻及干湿啰音,心音纯,律齐,无杂音,腹平软,全腹无压痛,无反跳痛及肌紧张,肝脾肋下未触及,肝肾区无叩痛,双下肢无水肿。
入院时辅助检查:血常规:WBC:9.8×109/L,NE%:68.60%,RBC:5.39×1012/L,HB:139g/L,PLT:460×109/L,总蛋白:62.9g/L,白蛋白:33.4g/L,谷丙转氨酶:24U/L,血清钾:3.81mmol/L,血清钠:136mmol/L,血糖:5.24mmol/L,尿素氮:3.97mmol/ L,肌酐:69μmol/,血清结核抗体:阴性。
入院诊断:胸腔积液原因待查
治疗经过及疾病变化:入院后行超声检查示左侧大量胸腔积液无分隔,行胸腔穿刺术,抽取胸腔积液,抽水过程中发现,患者胸腔积液为深黄色,黏稠,抽取费力,胸水化验回报:总蛋白:37.7g/L,乳酸脱氢酶:465U/L,腺苷脱氨酶:26.41U/L。细胞总数:2850×106/L,白细胞数:350×106/L,红细胞数:2500 ×106/L,胸水肿瘤标记物检查:CYFRA21-1:>500ng/ml,NSE:49.6ng/ml,CEA:0.32ng/ml。肺CT示:纵隔居中,左侧胸腔可见大量液体密度影,胸膜呈弥漫不规则增厚,左胸膜不规则形高密度影突向肺野,纵隔淋巴结肿大(图1)。
图1 左侧胸腔可见大量液体密度影,胸膜呈弥漫不规则增厚(白色箭头),左胸膜不规则形高密度影突向肺野(白色箭头),纵隔淋巴结肿大(黑色箭头)
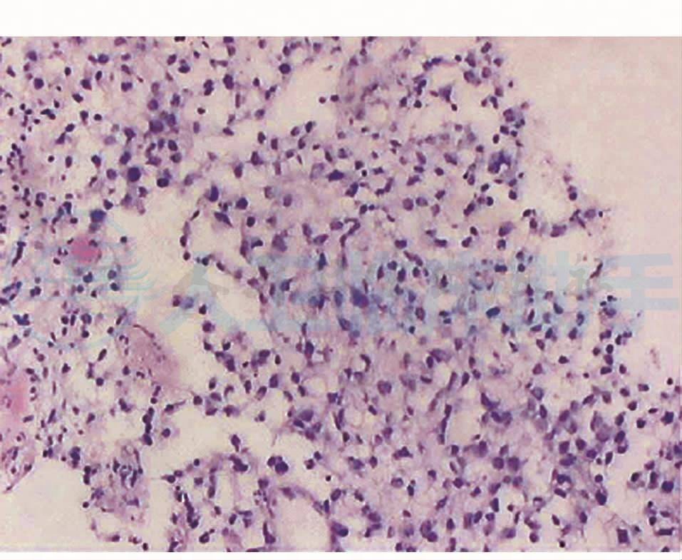
行胸膜活检,病理回报:瘤细胞散在排列,核大,深染,胞浆淡染,免疫组化显示:CK(-),EMA(+),Vimentin(+),Calretinin(-)。结论:恶性间皮瘤可能性大(图2)。
图2 瘤细胞散在排列,核大,深染,胞浆淡染,恶性间皮瘤可能性大
确定诊断:恶性胸膜间皮瘤Ⅱ期



