细支气管肺泡癌(bronchioloalveolar carcinoma,BAC)是肺腺癌的一种特殊亚型,原发于远端细支气管和肺泡。1876年法国医师Malassez首次报道了BAC病例,1960年由Liebow正式命名。BAC曾一度被认为是一种少见的肺部恶性肿瘤,但近年其发病呈增长趋势。Barsky报道BAC的发病率由1955年少于5%增加到1990年的24%。国内学者贾心善报道BAC占全部肺癌的9.15%,占腺癌20.1%,有增加趋势。究其原因,一方面与近年肺癌发病率增加有关,尤其是腺癌发病率增加有关,其次与高分辨CT的普及有关。BAC具有与其他非小细胞肺癌(NSCLC)不同的生长方式和生物学特性,使该病的临床及影像呈现多样性,极易误诊或漏诊。
患者,女,32岁,农民,2009年2月26日因“咳嗽4个月,发热、咳痰伴呼吸困难2个月”为主诉入院。患者于入院前4个月无明显诱因出现咳嗽,无痰,不伴发热及咯血,当时未系统治疗。入院前2个月因咳嗽加重,咳黄痰,发热,体温达39℃,且出现乏力、气短,于当地医院行肺CT检查示“左肺炎症”,给予“头孢哌酮、阿奇霉素”治疗20天后,咳嗽有所减轻,咳白痰,但仍间断低热,无盗汗,转诊于当地结核病院抗感染、抗结核治疗半月,咳嗽仍不见好转,且呼吸困难进行性加重。患者于入院前3天再次出现高热,体温39.1℃,咳嗽、咳黄痰,平卧后咳嗽加重,活动后明显呼吸困难。患者在蔬菜大棚内湿热环境劳作10年,无宠物、粉尘及药物接触史。
入院时查体:T:36.9℃,P:109次/分,R:24次/分,BP:110/70mmHg。呼吸促,神清语明,查体合作,步入病房。未见贫血貌,口唇轻度发绀。周身皮肤及巩膜无黄染,结膜无苍白,浅表淋巴结未触及肿大。无颈静脉怒张,气管居中,左肺叩诊略浊,呼吸音粗,可闻及湿啰音。心音纯,心率109次/分,律齐,各瓣膜听诊区未闻及病理性杂音。腹部平软,全腹无压痛及反跳痛。肝脏脾脏肋下未触及,双肾区无叩痛,双下肢无水肿,四肢活动良好。
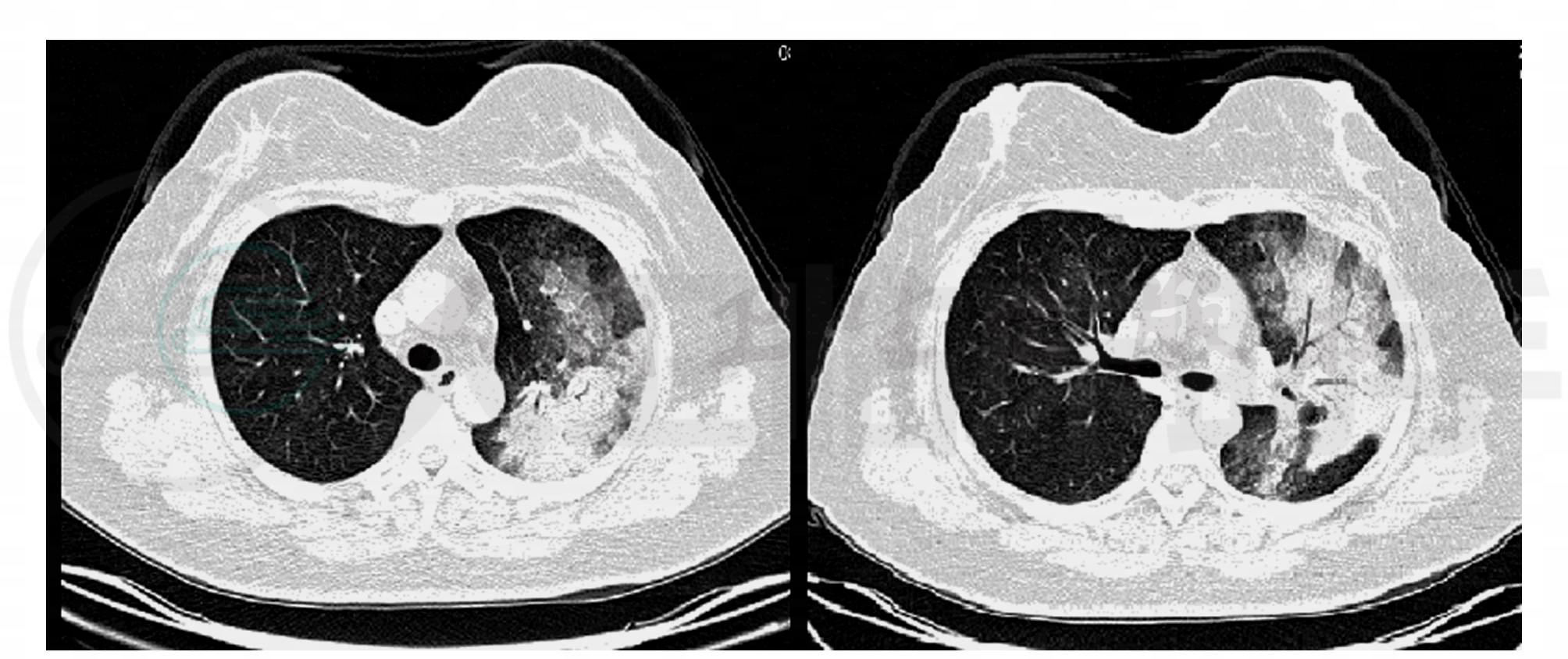
入院时辅助检查:血常规WBC 14.0×109/L,N 80.1%,Hb 124G/L,PLT 226×109/L;血气分析PaO2 45.6mmHg,PaCO2 39.5mmHg;支原体抗体1∶320;肝功、肾功、尿常规均正常;痰细菌、真菌、结核菌涂片及培养、肝炎系列、HIV和梅毒抗体均阴性;PPD阴性。肺CT示双肺多发磨玻璃影,以左肺为著,左肺可见斑片状渗出改变及实变影,伴支气管充气征(图1)。
图1 入院时肺CT示双肺多发磨玻璃渗出改变及实变阴影,以左肺为著,可见支气管充气征
入院诊断:重症肺炎,Ⅰ型呼吸衰竭。
治疗经过及疾病变化:患者入院后先后给予哌拉西林/他唑巴坦、美罗培南、莫西沙星、阿奇霉素抗感染治疗,并给予吸氧、祛痰对症治疗13天,患者体温降至正常,黄痰消失,但仍咳嗽、咳白痰,呼吸困难症状未缓解。复查:血常规WBC 6.1×109/L,N 66.2%;血气PaO2 54.2mmHg,PaCO2 43.2mmHg。复查肺CT示肺内病变无明显改善。因患者仍有呼吸衰竭,支气管肺泡灌洗存在风险,家属拒绝故未行该检查。结合治疗反应,诊断“隐源性机化性肺炎?”,试用激素治疗,予甲强龙40mg/d静脉滴注8天,之后序贯泼尼松50mg/d口服。激素治疗第10天,患者咳嗽、呼吸困难症状有所缓解。复查血气:PaO2 62.4mmHg,PaCO2 38.4mmHg。遂出院继续口服激素治疗。激素治疗2个月后,复查肺CT示右肺磨玻璃影明显吸收,左肺病灶缩小(图2)。
图2 激素治疗(2个月)后,肺CT示右肺磨玻璃影有所吸收
再次入院诊治经过:患者于2009年05月25日因“发热、咳嗽、咳痰、呼吸困难进行性加重3天”再次入院。当时口服泼尼松30mg/d治疗中。患者发热38℃,咳嗽、咳白痰,呼吸困难明显加重。查体:T 36.5℃,P 124次/分,R 22次/分,BP 120/80mmHg。呼吸促,神清,轮椅推入病房,口唇发绀,浅表淋巴结未触及肿大。无颈静脉怒张,左下肺叩浊,呼吸音粗,双肺可闻及湿啰音。心音纯,律齐,余未查及异常体征。辅助检查:血常规WBC 7.4×109/L,N 75.2%,Hb 118g/L,PLT 120×109/L;血气分析PaO2 38.7mmHg,PaCO2 42.4mmHg,肿瘤系列:癌胚抗原46.15ng/ml,神经元特异烯醇酶23.89ng/ml,细胞角蛋白19片段8.64ng/ml。肺CT示双肺斑片及实变影较前增多(图3)。在征得患者家属同意的情况下,进行了支气管肺泡灌洗的检查。支气管肺泡灌洗液中找到瘤细胞(图4)。痰脱落细胞学检查,也找到瘤细胞。患者及家属在确诊后自动退院。
临床诊断:BAC
图3 出院后3个半月,磨玻璃影增多增浓
图4 支气管肺泡灌洗液中找到核大、核浆比失调的癌细胞



