显微镜下多血管炎(microscopic polyangiitis,MPA)又称显微镜下多动脉炎(microscopic polyarteritls),是一种系统性、坏死性血管炎,属自身免疫性疾病。该病主要侵犯小血管,包括毛细血管、小静脉或微动脉,但也可累及小和(或)中型动脉。免疫病理检查特征是血管壁无或只有少量免疫复合物沉积。可侵犯全身多个器官,如肾、肺、眼、皮肤、关节、肌肉、消化道和中枢神经系统等,在临床上以坏死性肾小球肾炎为突出表现,但肺毛细血管炎也很常见本病男性多见,男女比约2∶1,多在50~60岁发病,我国的确切发病率尚不清楚。
男,65岁,因“发热、咳嗽、咳痰带血丝二十余天”于2010年6月8日入院。患者二十余天前自觉着凉后出现发热,午后发热,体温最高38.9℃,无寒战、无盗汗,伴有咳嗽,少痰,偶有血丝痰,无异味,伴流清涕,无咽痛,无呼吸困难,无胸痛,偶有乏力,无关节疼痛。曾于当地医院抗感染治疗(具体不详),未见好转。患者病来无头晕头痛,无恶心、呕吐,无腹痛腹泻,周身无皮疹,无关节肿痛。二便正常,体重下降约2公斤。既往史:遇冷空气刺激易咳嗽十年,每次咳嗽不超过一周即缓解,未系统治疗。否认心脏病,冠心病,高血压,糖尿病等慢性病病史。否认肝炎结核等传染病病史。过敏史:否认食物或药物过敏史。
入院查体:T:37.5℃,P:80次/分,BP:120/75mmHg,R:18次/分,神清语明,步入病房,睑结膜无苍白,皮肤巩膜无黄染,浅表淋巴结未触及肿大。颈静脉无充盈,口唇无发绀,咽部无充血,扁桃体无肿大。双肺叩诊清音,左肺可闻及湿啰音,右肺呼吸音清,心音纯正,律齐,各瓣膜区未及病理性杂音,腹平软,无压痛及反跳痛,肝脾肋下未触及,双下肢无水肿。
辅助检查:血常规:白细胞:10.5×109/L,中性粒细胞百分比:84%,血红蛋白:106g/L,血小板:486×109/L,尿常规:隐血+1,尿蛋白+-,红细胞1.51/HP,白细胞3.94/HP,C-反应蛋白:146mg/L,血生化:白蛋白:28.4g/L,AST:30U/L,ALT:101U/L,肌酐:69μmol/L,尿素氮:4.23mmol/L,血气分析:pH:7.435,氧分压:68.4mmHg,二氧化碳分压:38.6mmHg,动脉血氧饱和度:94.3%,肺炎支原体:1∶40,结核抗体、军团菌抗体均为阴性。HIV,TPPA,RPR阴性。肿瘤标志物阴性,痰结核菌涂片阴性。
肺CT(2010-6-07):双肺胸膜下多发斑片影及磨玻璃密度影,其间见小叶间隔增厚,部分区域呈蜂窝样改变(图1)。
图1 双肺胸膜下多发斑片影及磨玻璃密度影,其间见小叶间隔增厚,部分区域呈蜂窝样改变
入院诊断:社区获得性肺炎
治疗经过及疾病变化:入院后给予美罗培南0.5g q8h静点抗感染治疗,但患者体温无明确改善。入院第3天:患者仍有发热,体温无下降趋势,并出现左眼结膜充血,眼科会诊诊断:结膜炎,并给予可乐必妥滴眼液滴眼。入院第4天:患者体温升高达40℃,咳嗽加重,仍有咯血丝痰,给予行血细菌培养检查及复查血常规、血沉等检查,并加用莫西沙星0.4g日一次静点及止咳药物治疗。血常规回报:白细胞:10.6×109/L↑,中性粒细胞百分比81.9%↑,血红蛋白106g/ L↓,血小板477×109/L↑,血沉:50mm/h。入院第5天:患者体温无明确改善并出现听力下降,给予非甾体抗炎药控制体温,完善ANCA、支气管镜肺泡灌洗、肺功能+激发试验、鼻窦CT、肌电图及Coomb试验,复查血尿常规及生化检查。入院第6天:患者体温下降至正常,结膜充血及听力无好转,并突发腹部绞痛,检查结果回报:立位腹平片:未见异常,血尿淀粉酶及血脂肪酶未见异常,对症处理后腹痛略有改善,其他检查回报:支气管激发试验阴性,弥散功能下降,肌电图及Coomb试验阴性,鼻窦CT:双上颌窦、蝶窦、筛窦、额窦内可见软组织密度影,黏膜明显增厚(图2)。肺泡灌洗液呈洗肉水样改变,血常规回报:白细胞:12.3×109/L↑,中性粒细胞百分比85.9%↑,血红蛋白98g/L↓,血小板440×109/L↑,尿常规:隐血+2,尿蛋白±,红细胞4.44/HP↑,白细胞8.44/HP↑,便潜血±,p-ANCA阳性,肾活检示:新月体肾小球肾炎,寡免疫复合物沉积。
图2 双上颌窦、蝶窦、筛窦、额窦内可见软组织密度影,黏膜明显增厚
修正诊断:显微镜下多血管炎。调整治疗方案为甲泼尼松龙80mg日二次静点,环磷酰胺0.2隔日一次静点,下调抗生素为二代头孢。
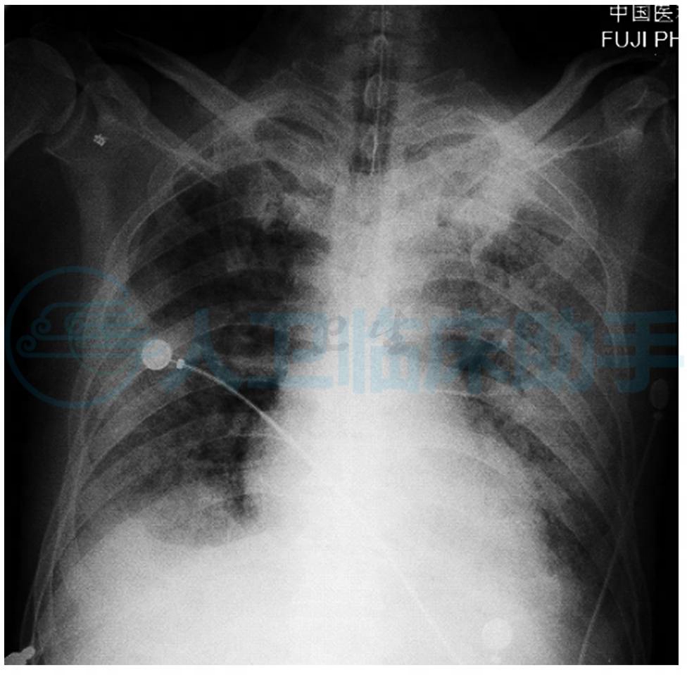
入院第9天:患者突发咯血伴有呼吸困难血氧下降,指脉氧下降至50%(图3),神志尚清,立即给予气管插管呼吸机辅助通气,并复查血常规及肾功能,化验回报:血常规:白细胞:25.8×109/L,中性粒细胞百分比90.4%,血红蛋白102g/L,血小板419×109/L,肾功能:肌酐779μmol/L,尿素氮29.3mmol/L。调整治疗方案为:甲泼尼松龙500mg日一次静点连3天,环磷酰胺0.6g日一次静点连2天,亚胺培南/西司他丁1.0g q8h静点,丙种球蛋白20g日一次静点连5天,并给予血浆置换2000ml日一次治疗共5次,连续性血液净化治疗日一次及营养支持治疗。
图3 双肺野透过度明显降低,多发渗出及斑片影
入院第13天:患者病情稳定(图4),无咯血,结膜充血改善,听力改善,腹痛消失,化验检查:p-ANCA阴性,血沉23mm/h,C-反应蛋白16.4mg/L,肌酐496μmol/L。
图4 双肺野透过度有所改善,多发渗出及斑片影有所吸收
临床诊断:显微镜下多血管炎,弥漫性肺泡出血



