患者青年男性,3年前因左侧肢体力量下降,行相关检查考虑小脑扁桃体下疝,脊髓空洞,于全麻下行寰枕畸形减压术,出院后1个月患者间断发热,后再次就诊,给予抗炎补液等治疗,后患者间断出现头晕、头痛,伴随恶心、呕吐,行CT检查考虑脑积水,于3个月后行右侧脑室腹腔分流术,术后患者仍感左侧肢体乏力,症状逐渐加重,现发展为双上肢抬举困难,左手精细活动受限,双下肢行走无力,右手右脚发凉、麻木,复查磁共振(MRI)提示脊髓空洞。后为求进一步治疗来我院就诊,遂以“寰枕畸形减压术后”收入院。
(一)病史
主因寰枕畸形减压术后3年,四肢乏力2年。
(二)查体
神清语利,枕下后正中、右额顶可见手术瘢痕,右额顶皮下可触及分流泵,双侧瞳孔等大等圆,直径2.5mm,光反射灵敏,伸舌居中,颈软无抵抗,双上肢抬举困难,左上肢近端肌力Ⅲ级,左手指屈曲畸形,肌力约Ⅱ级,右上肢肌力Ⅳ级,双下肢肌力Ⅳ级,左足背屈无力,病理征阴性。
(三)辅助检查
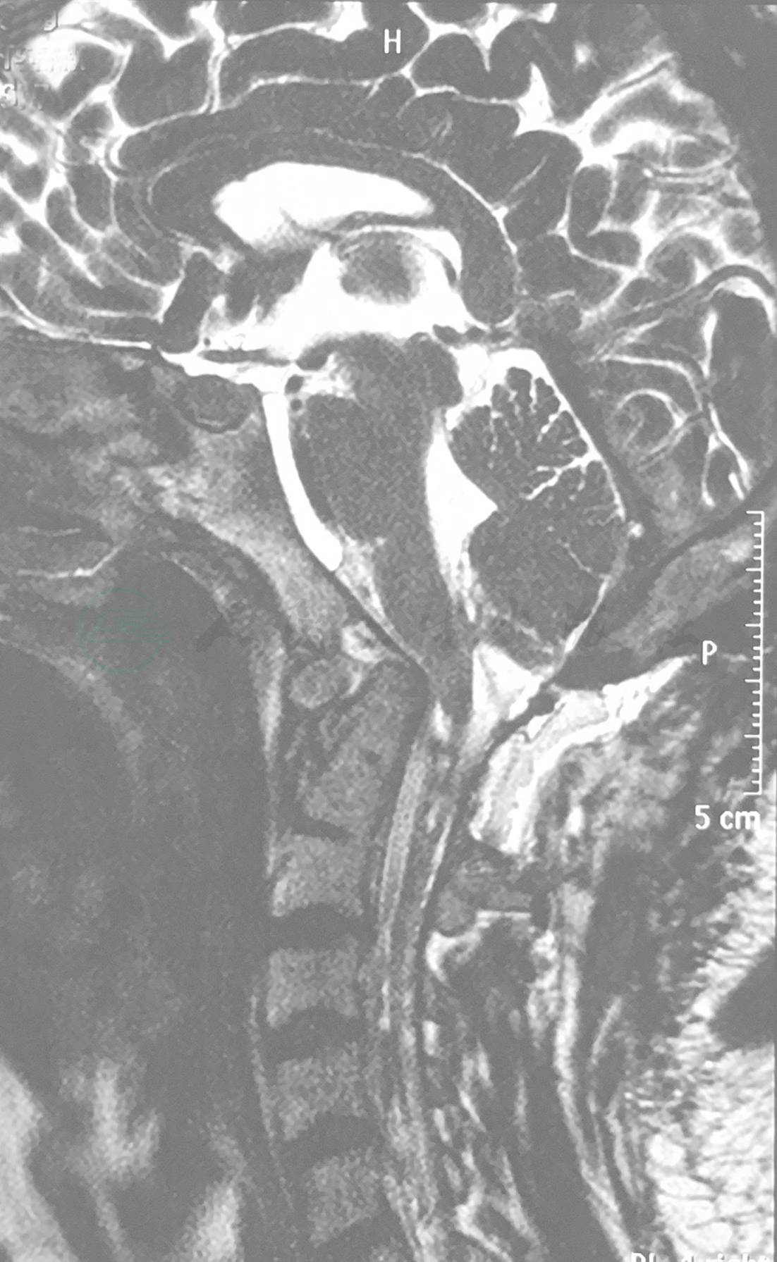
2013年5月行磁共振(MRI)示小脑扁桃体下疝,伴随脊髓空洞(图1)。2013年6月头颅CT示脑室系统扩张明显(图2)。2014年1月复查头颅CT符合脑室腹腔分流术后改变,脑室系统无扩张(图3)。2016年5月颈部磁共振(MRI)示小脑扁桃体下疝畸形术后改变,脊髓空洞较前明显增大(图4),脑脊液电影示桥前池、第四脑室出口脑脊液流动信号弱。中脑导水管、第四脑室及枕骨大孔后部脑脊液流动信号弱(图5)。颈椎CT示齿状突上移,超过Chamberlain线上,寰齿椎间隙扩大,考虑颅底凹陷合并寰枢椎半脱位(图6),三维重建示枕骨及寰椎后弓缺失(图7)。

图1 2013年5月第一次术前磁共振(MRI)
a.T1像;b.T2像

图2 2013年6月第一次术后头颅磁共振(MRI)示脑室扩张

图3 2014年1月分流术后脑室系统缩小

图4 2016年5月磁共振(MRI)示颈段脊髓空洞
a.T1像;b.T2像

图5 2016年5月CT矢状位示齿状突上移

图6 2016年5月CT轴位示寰齿椎间隙扩大

图7 2016年5月CT三维重建示枕骨及寰椎后弓缺失
(四)术前诊断
小脑扁桃体下疝畸形、脊髓空洞。
(一)手术过程
患者取俯卧位,取枕下后正中原切口入路,依次切开皮下、腱膜,分离两侧肌肉,枕骨大孔后缘、C1后弓、C2棘突两侧椎板,见枕大孔后缘骨窗大小约1.5cm×1.5cm,正中切开硬膜,见两侧小脑扁桃体充血水肿(图8),下疝至C1下缘水平,局部蛛网膜增厚,脊髓与周围组织粘连紧密,松解局部粘连,软膜下切除两侧小脑扁桃体,使之回缩,见第四脑室闩部粘连紧密,予松解,见脑脊液流出通畅,脊髓搏动良好,局部冲洗清亮,无活动性出血,硬膜下铺外科隔离膜(图9),防止粘连,取自体肌肉筋膜严密缝合硬膜,然后在C2两侧置椎弓螺钉各1枚,塑形两侧连接杆,用4枚枕骨钉固定于枕骨上,寰枕间隙撑开约0.5cm,固定C2两侧顶丝,固定牢靠后,两侧颗粒植骨,硬膜外置引流管,缝合肌肉、筋膜及皮肤。

图8 术中可见缺血变性的小脑扁桃体

图9 术后行硬膜修补
(二)术后恢复情况
术后患者四肢肌力较术前有所恢复,双上肢肌力约Ⅲ+级,双下肢肌力约Ⅳ+级。术后复查磁共振(MRI)符合术后改变,脊髓空洞明显减小(图10)。术后脑脊液电影示导水管、枕骨大孔区脑脊液流动信号增强(图11)。CT示齿状突下移(图12),齿状突轴位位置满意(图13),固定满意,螺钉位置良好(图14、图15),颈椎生理曲度良好。

图10 术后磁共振(MRI)示脊髓空洞缩小
a.T1像;b.T2像

图11 术后磁共振(MRI)脑脊液电影示导水管、枕骨大孔区脑脊液流动信号增强

图12 术后CT矢状位示齿状突下移

图13 术后CT轴位

图14 术后CT矢状位示C2椎弓根螺钉位置良好

图15 术后CT三维重建示枕颈固定位置良好



