患者女性,22岁,3年前左顶枕部刺痛,数分钟后自行缓解,右手、右腿麻木,在外院行寰枕畸形行枕下减压+枕大池扩大成形+小脑扁桃体下疝切除手术,术后疼痛麻木有所缓解。2年前患者头痛症状再次出现,持续存在无缓解,并出现右半身麻木感。1周前患者头痛明显加重,范围扩大,右侧肢体无力,表现为行走困难,握持无力,感间断头晕、恶心,后为求进一步治疗来我院就诊,遂以“寰枕畸形减压术后”收入院。
(一)病史
患者青年女性,主因寰枕畸形减压术后3年,间断头痛1年,加重伴右侧肢体无力1周入院。
(二)查体
患者神清,双瞳孔等大等圆,对光反射灵敏,颈软,双肺呼吸音清,右手示指痛触觉减退,余肢体深、浅感觉基本正常,右侧肱三头肌、胸大肌萎缩,颈椎前屈20°,后伸30°,缓慢旋转,颈枕部压痛阳性,右上肢肌力Ⅳ级,右下肢肌力Ⅳ-级,右半身浅感觉稍减退,Romberg试验阳性。JOA评分:9/17分。
(三)辅助检查
2012年 5月磁共振(MRI)(第一次术前):可见齿状突位置上移,延颈髓明显受压屈曲后弓。小脑扁桃体下缘变尖,其下缘位于C1水平(图1、图2)。髓内可见长节段脊髓空洞(图3)。

图1 2012年 5月(第 一次术前)磁共振(MRI)可见齿状突位置上移,延颈髓明显受压屈曲后弓。小脑扁桃体下缘变尖,其下缘位于C1水平

图2 2012年5月(第一次术前)磁共振(MRI)示小脑扁桃体下疝伴随脊髓空洞
a. T1像;b. T2像

图3 2012年5月(第一次术前) CT矢状位示齿状突上移,存在颅底凹陷
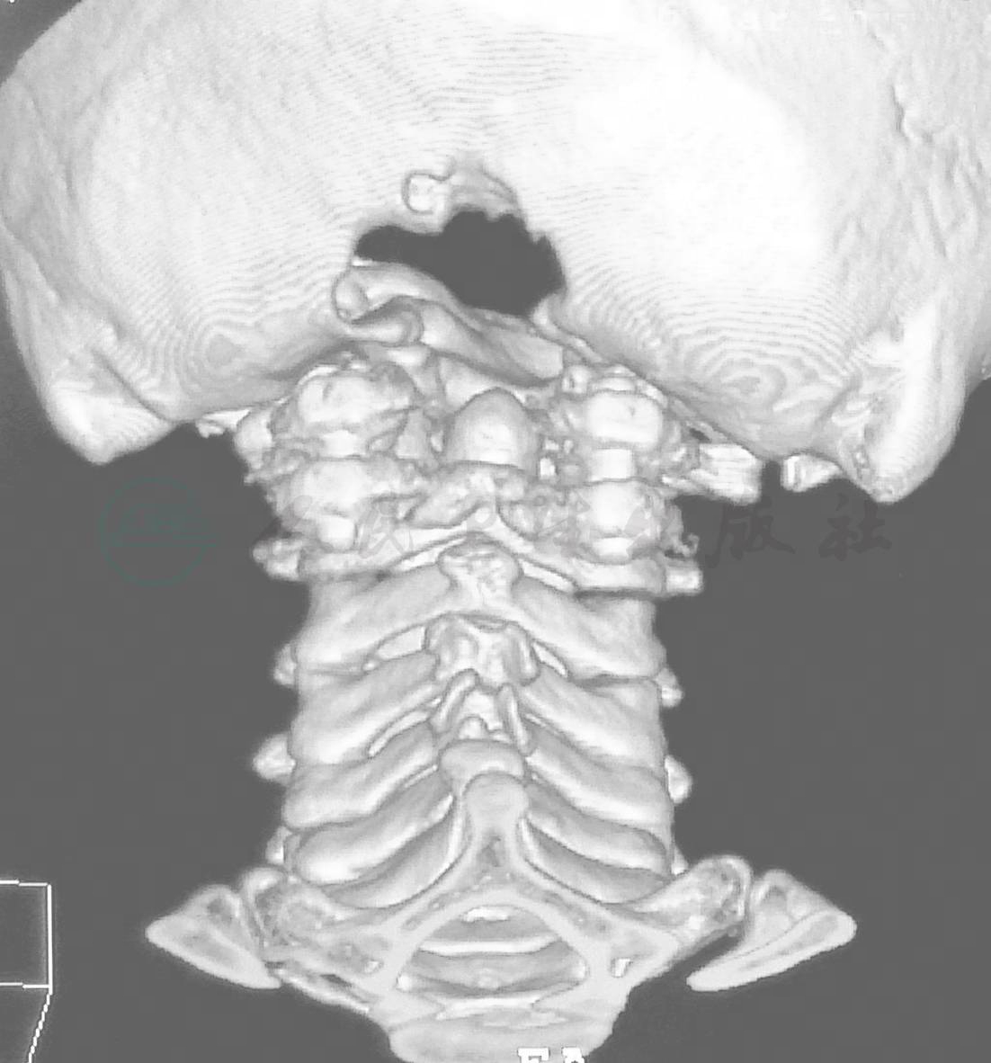
2012年 5月 CT(第一次术前):可见齿状突上移,超过Chamberlain线上约8mm,存在颅底凹陷(图4)。

图4 2012年5月(第一次术前)三维重建
2013年 6月 CT(第一次术后)示脑室系统扩张(图5)。

图5 2013年6月(第一次术后) CT轴位示脑室系统扩张
2013年 6月磁共振(MRI)(第一次术后):示脊髓空洞较前无明显变化(图6)。

图6 2013年6月(第一次术后)磁共振(MRI)示脊髓空洞较前无明显变化
a. T1像;b. T2像
2015年 2月磁共振(MRI)(第二次术前):示脊髓空洞较前明显加重(图7)。

图7 2015年2月(第二次术前)磁共振(MRI)示脊髓空洞较前明显加重
2015年2月磁共振(MRI)(第二次术前):示中脑导水管开放,其内脑脊液流动信号较弱,桥前池、第四脑室及枕骨大孔脑脊液流动未见异常(图8)。

图8 2015年2月(第二次术前)磁共振(MRI)脑脊液电影示中脑导水管脑脊液流动信号减弱
(四)术前诊断
小脑扁桃体下疝畸形减压术后、颅底凹陷、脊髓空洞、脑积水。
(一)手术过程
患者俯卧位,原切口入路,术中见枕骨大孔减压窗大小3.0cm×4.0cm,C1后弓缺损宽1.5cm,C1、C2两侧置万向螺钉各1枚,塑形两侧连接棒,先固定于C1,C1-2之间撑开后加压固定C2螺钉(图10)。后剪开增厚硬膜,可见原手术瘢痕严重,蛛网膜粘连紧密(图11),两侧小脑扁桃体下端、延髓及蛛网膜粘连紧密,小脑后下动脉粘连其中,给予局部粘连松解,见脑脊液搏动良好,生理盐水冲洗清亮,严密缝合硬膜,硬膜外铺外科隔离膜,逐层缝合肌肉、筋膜、皮下及皮肤。

图10 术中固定C1-2螺钉

图11 术中打开增厚硬膜,可见蛛网膜粘连紧密
(二)术后恢复情况
术后患者恢复顺利,诉麻木感较前减轻,右下肢肌力Ⅴ-级,右上肢肌力Ⅴ-级。
复查磁共振(MRI)示延髓受压较术前减轻,脊髓空洞较术前缩小(图12)。术后CT 示齿状突下移(图13),C1、C2螺钉位置良好,寰枕固定位置良好(图14),C1、C2侧块外侧、连接棒周围可见早期骨痂形成(图15)。术后JOA评分:13/17分。

图12 术后磁共振(MRI)示脊髓空洞较前有所缩小
a. T1像;b. T2像

图13 术后CT示齿状突下移

图14 术后CT示C1、C2螺钉位置良好
a.矢状位;b.冠状位

图15 术后CT三维重建可见连接棒周围早期骨痂形成



