患者中年女性,于5年前无明显原因出现颈部不适,颈部僵硬,伴头晕、头痛。无恶心、呕吐,无四肢麻木。未予诊治。患者2年前因颈部不适到当地医院行颈部CT检查提示:颈椎病。给予牵引治疗后症状略有好转。患者半年前颈部不适加重,伴头晕、头痛、四肢麻木无力。无恶心、呕吐,无大小便障碍。后就诊于我院,行磁共振(MRI)检查示:颅底凹陷、寰枕融合畸形,寰齿间距增大,小脑扁桃体下疝合并脊髓空洞,C3-4、C5-C6椎间盘突出,以“颅底凹陷、寰枕融合畸形,小脑扁桃体下疝畸形,脊髓空洞”收入院。
(一)病史
患者主因颈部不适5年,加重伴四肢麻木无力6个月入院。
(二)查体
神清语利,双侧瞳孔等大等圆,直径约3.0mm,对光反射灵敏,眼动充分,左侧面部麻木,枕部、颈肩部、双上肢感觉针刺觉减退。双上肢近端肌力Ⅳ级,双手、双腕肌力Ⅲ+,肌张力高,精细活动差,躯干感觉未见异常。会阴区感觉未见异常,双下肢深浅感觉未见明显异常,双下肢肌力Ⅳ-级,肌张力高,闭目难立征阳性,指鼻试验、跟膝胫试验欠稳准,轮替试验迟缓,生理反射正常引出,病理反射未引出。
(三)辅助检查
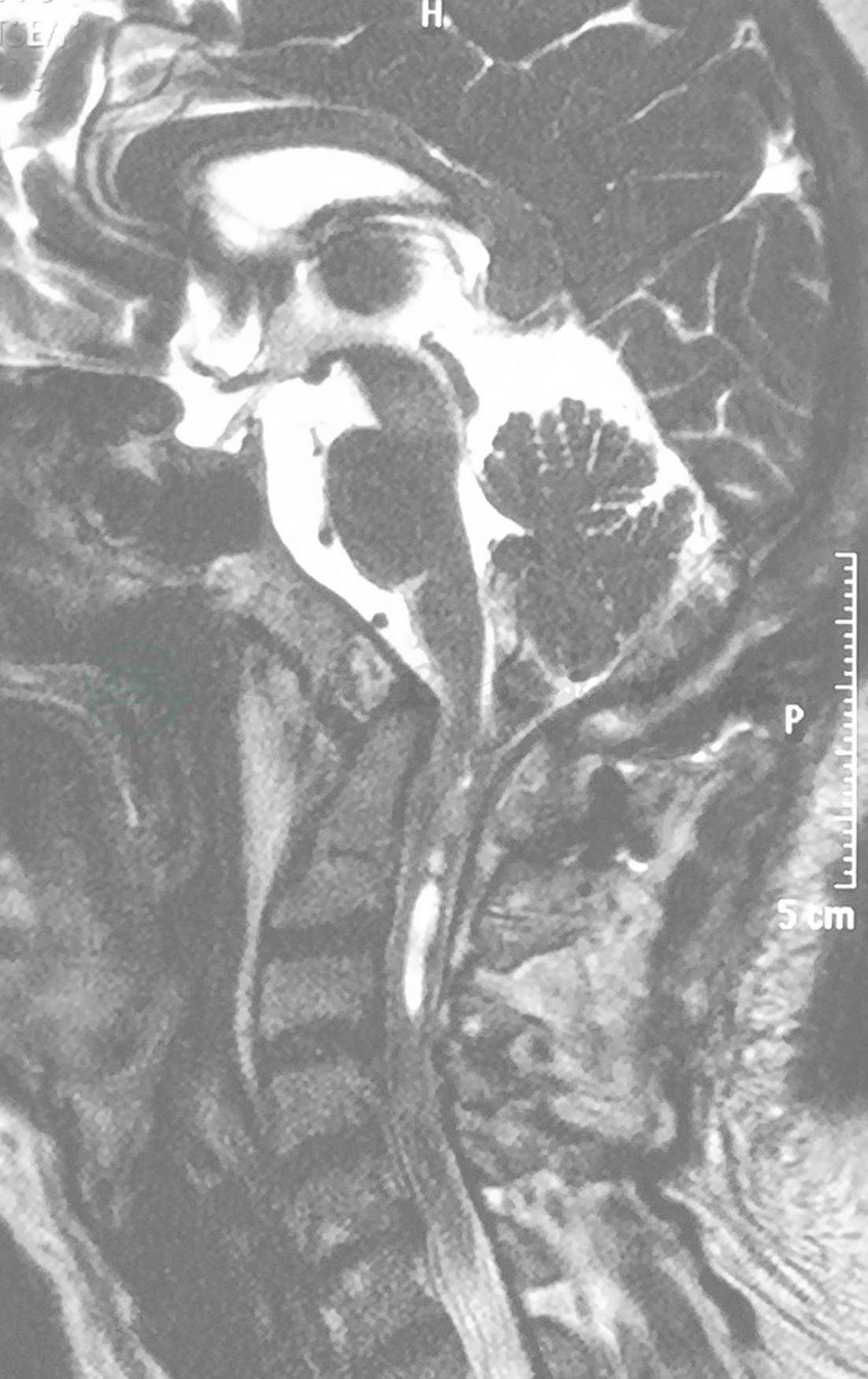
术前磁共振检(MRI)查示:颅底凹陷、寰枕融合畸形,寰齿间距增大,小脑扁桃体下疝合并脊髓空洞(图1)。

图1 术前磁共振(MRI)
脑脊液电影示中脑导水管、第四脑室及枕骨大孔脑脊液流动明显减弱(图2)。

图2 术前磁共振(MRI)脑脊液电影示脑脊液流动明显减弱
术前CT:齿突位置升高,寰齿间隙增大(图3、图4)。枕骨大孔前后径约31mm,齿突略后倾,延颈髓前缘受压。颈椎管前后径在正常范围,椎管内未见异常密度影。颈椎各椎体附件未见明显异常。

图3 术前CT矢状位示齿状突上移

图4 术前CT轴位示寰齿间隙增大
(四)术前诊断
小脑扁桃体下疝畸形、颅底凹陷、寰枕融合、寰枢椎脱位、脊髓空洞、C3-4、C5-6椎间盘突出。
(一)手术过程
全麻下行枕下后正中入路寰枕畸形减压及枕颈固定融合术,术中充分暴露C2棘突及椎板、枕骨粗隆、枕大孔后缘,可见寰枕融合,自枕骨大孔后缘向上咬除1.5cm×2.5cm,减压充分后,见局部硬膜膨起,C2两侧各放置万向螺钉1枚,共2枚,塑形两侧连接棒,枕骨钉及螺钉将连接棒牢靠固定于枕骨上,后减压窗两端稍作撑开约5mm后上紧C2两侧万向螺钉螺帽(图5),硬膜外铺外科隔离膜,两根钛棒之间放置横连接杆并牢靠固定,逐层缝合,手术顺利。

图5 术中照片
(二)术后恢复情况
术后患者恢复良好,神清语利,刀口愈合良好,双侧瞳孔等大等圆,直径约3.0mm,对光反应灵敏,四肢肌力Ⅳ+级,肌张力略高。右手活动较前灵活,骨间肌力量增加。术后复查颈椎MRI及CT,提示齿状突较前下移,寰齿间隙较前变小,脊髓空洞变细(图6)。脑脊液电影示中脑导水管、第四脑室脑脊液流动信号较术前增强(图7)。术后CT示齿状突较术前下移明显(图8),C2椎弓根螺钉位置良好(图9),寰齿间隙缩小(图10)。术后半年复查颈椎MRI示脊髓形态良好,脊髓空洞基本消失(图11)。磁共振(MRI)脑脊液电影显示桥前池、中脑导水管、第四脑室及枕骨大孔脑脊液流动基本正常(图12)。

图6 术后磁共振(MRI)示脊髓空洞明显缩小
a.T1像;b.T2像

图7 术后磁共振(MRI)脑脊液电影示中脑导水管、第四脑室脑脊液流动信号较术前增强

图8 术后CT示齿状突较术前下移明显

图9 术后CT示C2椎弓根螺钉位置良好
a.矢状位;b.轴位

图10 术后CT示寰齿间隙缩小

图11 术后半年复查磁共振(MRI)示脊髓空洞基本消失
a.T1像;b.T2像

图12 术后半年复查磁共振(MRI)脑脊液电影示桥前池、中脑导水管、第四脑室及枕骨大孔脑脊液流动基本正常



