患儿男性,1年前无明显诱因出现颈肩部疼痛,性质为刺痛,自肩部向颈部放射,醒后疼痛明显,久坐站起时疼痛加重,无四肢无力,无大小便失禁。当地医院诊断颈椎病,给予止痛药物治疗后疼痛消失。患者2周前再次无明显诱因出现颈肩部疼痛,性质同第一次发作,口服止痛及肌松药物无明显缓解,后行颈椎MRI检查示C3-4水平椎管内囊性占位,压迫脊髓。患者为进一步治疗来我院就诊,门诊以“颈椎管占位”收入院。
(一)病史
患儿男性,12岁,主因间断颈肩部疼痛1年入院。
(二)查体
患儿一般状况可,神清,双瞳孔等大等圆,对光反射灵敏,颈软,曲颈受限,双肩部向颈部放射痛,颈部无压痛及反跳痛,四肢活动正常,四肢感觉无明显异常,四肢肌力及肌张力正常,双膝踝反射正常,病理征未引出。
(三)辅助检查
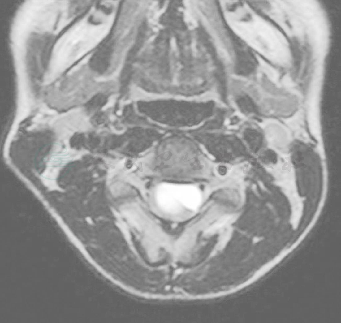
术前磁共振(MRI)示:C3-4段椎管内脊髓前缘见圆形长T1长T2信号影(图1),其边界清晰,内部信号均匀,颈髓受压变形后移,轴位像可见“脊髓嵌入征”(图2)。颈椎生理曲度变直,各椎间隙未见明显狭窄,椎间盘未见突出。增强扫描后,C3-4椎管内病变未见明显强化(图3)。

图1 术前磁共振(MRI)C3-4段椎管内脊髓前缘可见圆形长T1长T2信号影
a.T1像;b.T2像

图2 术前磁共振(MRI)轴位 可见“脊髓嵌入征”

图3 术前磁共振(MRI)增强扫描后,C3-4段椎管内病变未见明显强化
(四)术前诊断
颈椎管内占位性病变(C3-4)。
(一)手术过程
全麻成功后,安置神经监测电极,患者右侧卧位,取颈后正中切口,依次切开皮肤、皮下,分离两侧肌肉,显露C2左侧椎板,将外侧部分椎板咬除,可见硬膜较膨隆,切开硬膜,可见脑脊液流出,显微镜下可见肿瘤位于硬膜下,灰白色包膜,血供中等,质地韧,包膜完整,包膜内可见无色透明液体,镜下全切肿瘤,充分止血并严密缝合硬膜,术中体感监测未见异常。
(二)术后恢复情况
患儿术后恢复良好,颈肩部疼痛明显缓解,肢体活动良好。术后复查颈椎磁共振(MRI)示肿瘤切除彻底(图4、图5)。

图4 术后磁共振(MRI)示肿瘤切除彻底
a.T1像;b.T2像;c:强化像

图5 术后磁共振(MRI)冠状位



