患者老年男性,6年前肛周疼痛伴左下肢麻木,肛周疼痛间断发作,左下肢麻木持续存在。2年前出现右下肢麻木,无行走障碍,5天后自行好转,随后右下肢麻木间断发作。2个月前出现小便失禁,大便困难,行磁共振(MRI)检查示骶管占位性病变,为求进一步治疗入院。
(一)病史
患者老年男性,主因肛周疼痛伴左下肢麻木6年,右下肢间断麻木2年。
(二)查体
神清,双瞳孔等大等圆,对光反射灵敏,颈软,双肺呼吸音清,四肢肌力、肌张力正常。双下肢感觉减退,会阴区感觉减退,以肛门为中心直径8cm感觉消失。提睾反射未引出,肛周反射未引出,肛门括约肌松弛。
(三)辅助检查
术前磁共振(MRI)示:骶管内长T1、稍长T2占位性病变,肿瘤强化不明显(图1~3)。

图1 术前磁共振(MRI)
a.T1像;b.T2像;c.强化像

图2 术前磁共振(MRI)强化水平位

图3 术前磁共振(MRI)强化冠状位
术前CT示:骶椎管不规则扩大,骶管内及骶椎前缘可见团块状软组织密度影,内见斑点状钙化;右侧梨状肌受累,病变整体大小约10.2cm×8.4cm×11.4cm。腰椎生理曲度稍直,L2~4椎体边缘骨质增生变尖,各腰椎间隙等宽,腰椎椎管有效前后径在正常范围。CT骨窗:骶椎椎体及附件可见弥漫性骨质破坏(图4)。

图4 术前CT示骶椎椎体弥漫性骨质破坏
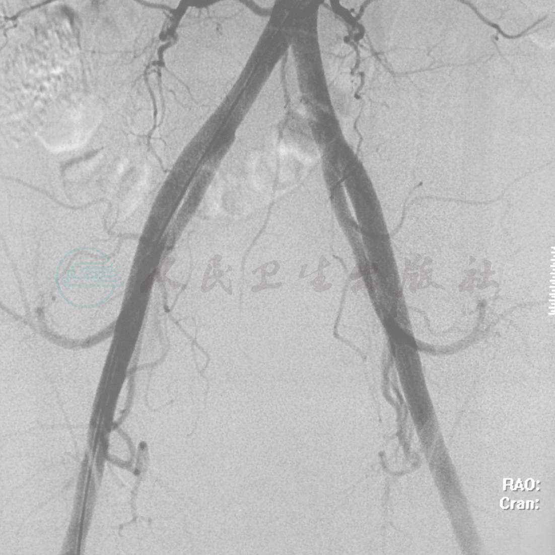
术前DSA肿瘤未见明确动脉供血(图5)。

图5 术前DSA肿瘤未见明确动脉供血
(四)术前诊断
骶管内占位性病变。
(一)手术过程
全麻成功后,安置神经监测电极,体位采取俯卧位;手术入路选择自L4棘突至骶尾骨水平纵行切开,可见骶骨后方骨质缺损,肿瘤向背侧膨胀生长。将骶骨后方残余骨质咬除,暴露肿瘤,可见肿瘤灰红色,质地软,血供丰富,边界不清(图6),肿瘤中可见马尾神经自其中穿行,显微镜下仔细将右侧S1、S2、S3神经及左侧S2、S3神经暴露并切除周围肿瘤(图7),骶骨下方可见肿瘤向腹侧生长,骶管前方部分骨质缺损,镜下全切肿瘤,可见后腹膜完整,切除肿瘤后腹膜向背侧膨隆,将肿瘤侵蚀的骨质使用单极灼烧灭活肿瘤,铺止血海绵于后腹膜上,将2枚万向螺钉自L5椎弓根置入L5椎体,并将两枚粗7.5mm,长70mm骨螺钉自髂后上棘入钉点进钉,向髓臼方向自髂骨翼中置入,使用连接杆将L5椎弓根钉及髂骨钉连接(图8),植骨于骶髂关节及螺钉周围,置入皮下引流管。并取自体皮下脂肪填塞于切除肿瘤后的空腔中,逐层缝合,手术顺利,术中出血约4500ml,输红细胞1600ml,输血浆400ml。

图6 术中可见肿瘤灰红色,质地软,血供丰富,边界不清

图7 肿瘤全切后保留双侧S1、S2、S3神经根

图8 术后L5椎弓根钉及髂骨钉连接良好
(二)免疫组织化学标记
GFAP(-);S-100(+);Vimentin(+);CK(+);EMA(+);CK14(-);CK8/18(+);CEA(-);CK8(+);Ki-67(+1-5%);P53(-);CK18(+);CK5/6(-);P63(-);Syn(-);CgA(-);CD10(-);D2-40(-);Lys(-);CD56(+);IDH-1(-)。
(三)病理诊断
(骶骨区域)脊索瘤(经典型),伴有肿瘤累及周围软组织(图9)。


图9 (骶骨区域)脊索瘤(经典型)病理所见(HE染色×200)
(四)术后恢复情况
患者术后恢复顺利,伤口愈合良好,复查磁共振(MRI)示肿瘤切除彻底(图10),腰椎、髂骨固定良好(图11)。14天出院,出院时下肢麻木感减轻,肛周疼痛明显减轻。

图10 术后磁共振(MRI)
a.T1像;b.T2像;c.强化像

图11 术后CT示腰椎、髂骨固定良好



