患者女性,34岁,8年前无明显诱因感左侧肢体麻木,无肢体活动障碍,当地按颈椎病行推拿按摩后有所缓解。入院前3周行剖宫产手术,麻醉完毕后感右下肢麻木,后逐渐发展至左下肢,左臀部。出院后麻木范围再次扩大,间断嗳气,于当地医院检查发现延髓占位。为进一步治疗,来我院就诊,门诊以“延髓占位”收入我院。
(一)病史
患者中年女性,主因间断左侧肢体麻木8年,加重2周入院。
(二)查体
下腹部可见陈旧性手术瘢痕。双侧瞳孔等大等圆,直径2.5mm,光反射灵敏,面纹对称,伸舌居中。颈椎生理曲度可,棘突无压痛。颈椎活动度可,耸肩有力对称。四肢肌力、肌张力可。左下肢、左臀部、左腰背部、左手内侧三指、上臂内侧痛触觉减弱。双下肢腱反射对称引出,病理征阴性。
(三)辅助检查
磁共振:颈椎生理曲度变直。C3-4,C4-5,C5-6椎间盘后凸,硬膜囊前缘稍受压。延髓背侧见类圆形不均匀短T1长T2信号,增强后病变呈轻度强化,大小约12mm×11mm×17mm。
(一)手术过程
全麻插管后,安置脑干及双上肢体感电位,患者取左侧卧位,三钉头架固定头部,取枕下后正中直切口约8cm。术前左侧体感电位较正常人低30%,右侧为左侧的50%。咬除枕骨大孔后缘骨窗约3cm×2cm,咬除部分寰椎后弓。正中剪开硬膜,见病变位于延髓背侧,右侧小脑后下动脉分支骑跨于病变之上。病变暗红色,内有畸形血管及陈旧坏死,边界尚清,质地稍韧,血供丰富(图3)。

图3 术中见病变暗红色,位于延髓背侧,右侧小脑后下动脉分支骑跨于肿瘤之上
切除过程中,双侧体感电位减弱。肿瘤全切(图4)充分止血后,自体肌肉修补并缝合硬膜。逐层缝合肌层,皮下组织,皮肤。术中失血500ml,输自体回收血250ml。

图4 显微镜下肿瘤全切,保留分支血管
(二)免疫组织化学标记
CD34 (+);CD31(+);CD68散在(+);FacⅧ (+);Actin(+);Desmin(-);SMA(+);LCA(散在+);ERG(+);GFAP(间质+);Vimentin(+);弹力纤维(-)。
(三)病理诊断
海绵状血管瘤。
(四)术后恢复情况
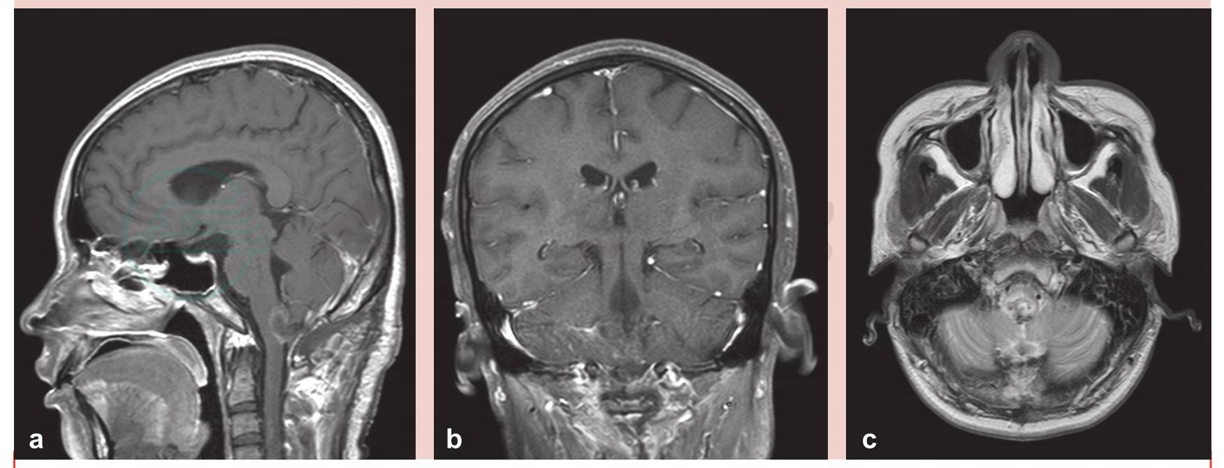
患者术后第1天拔除气管插管,自主呼吸平稳,无吞咽障碍。间断行腰椎穿刺2次,释放脑脊液。左上肢麻木感减轻,左上肢远端肌力Ⅳ级,右上肢浅感觉减弱。术后增强MRI扫描提示病变切除满意(图5)。术后10天顺利出院,于当地康复医院行后续康复治疗。

图5 术后增强磁共振(MRI)扫描提示病变切除满意
a.矢状位;b.冠状位;c.轴位



