患者男性,80岁,因“咯血1天”于2012年3月15日入院。患者无明显诱因起病,咯鲜血3次,总量约50ml,不含食物及胃内容物,伴咳嗽,无咳痰,无发热,无气促,无胸痛、胸闷、心悸,无盗汗。
既往史:“垂体瘤伽马刀术后”20余年,术后出现腺垂体功能减退,长期予“氢化可的松、左甲状腺素钠片及十一酸睾酮”替代治疗。另有“原发性高血压、冠状动脉粥样硬化性心脏病、全身多发脂肪瘤、末梢神经炎、L1椎体压缩性骨折”病史。
入院查体:T 36.3℃,P 70次/分,R 18次/分,BP 120/80mmHg。体重106kg,BMI 32.9kg/m2。神志清,口腔内少许新鲜血,口唇无发绀。双侧呼吸音粗,双下肺闻及湿啰音,以左下肺为甚,未闻及干啰音。心率70次/分,律齐,无杂音。腹部未查及阳性体征。双下肢中度凹陷性水肿。
入院当晚无诱因再次出现咯血,气促明显,无咳痰、发热、无胸痛、胸闷、心悸等。血压156/82mmHg,SpO2 77%,R 22次/分,神志清,呼吸稍急促,颈软,颈静脉无怒张。双肺呼吸音粗,可闻及大量湿啰音,右下肺可闻及少许干啰音。心率88次/分,律齐,无杂音。腹部无阳性体征。双下肢中度凹陷性水肿。予呋塞米(速尿)利尿消肿,多索茶碱解痉平喘等处理后气促好转。
辅助检查:
血常规:白细胞11×109/L↑,中性粒细胞75.2%↑,血红蛋白152g/L,血小板169×109/L。
心肌酶:正常;NT-proBNP 287pg/ml。
凝血功能:D-二聚体6.90μg/ml↑,其余正常。
血气分析:pH 7.466↑,PCO2 29.9mmHg↓,PO2 51.5mmHg↓,BE-0.4,SO2 88.7%↓。
心磷脂抗体(ACA)+β2糖蛋白抗体:抗心磷脂抗体IgG 42.876 GPL/ml↑(正常范围<18),IgM 354.207 MPL/ml↑(正常范围<18),抗β2糖蛋白1抗体165.993 RU/ml↑(正常范围<20)。
抗中性粒细胞胞浆抗体cANCA、抗中性粒细胞核周抗体pANCA、抗核抗体(ANA)+ANA抗体谱、人免疫缺陷病毒抗体(HIV)+丙型肝炎抗体(HCV)+梅毒螺旋体抗体:均阴性。
心电图:胸导联V3~V6导联T波低平。
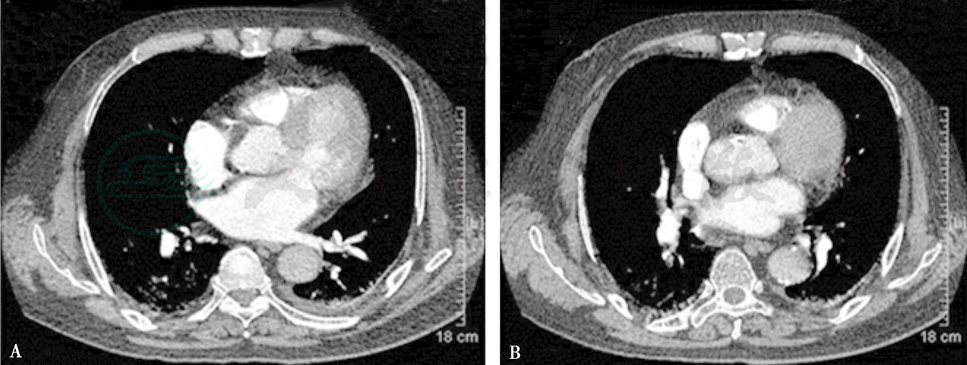
肺动脉CTA(图1):双肺动脉分支栓塞,左肺舌段动脉、左下肺动脉、右肺上中下叶动脉多发充盈缺损,考虑栓子形成。
图1 2013年3月16日肺动脉CTA
双肺动脉分支栓塞 (栓塞部位为箭头所示)
A.左下肺动脉充盈缺损;B.右肺上中下叶动脉多发充盈缺损;C.右肺上中下叶动脉多发充盈缺损;D.右肺上中下叶动脉多发充盈缺损
诊断:1.肺栓塞(左肺舌段动脉、左下肺动脉、右肺上中下叶动脉);2.原发性高血压;3.冠状动脉硬化性心脏病;4.全身多发脂肪瘤;5.末梢神经炎;6.L1椎体压缩性骨折。
治疗:患者无右心功能不全表现,血压正常,为“非大面积肺栓塞”,立即开始低分子肝素抗凝治疗,之后两周内两次出现与华法林叠加用药时咯血,改单药抗凝后咯血消失(具体见表1),最终在INR未达目标时更换为单用华法林,据INR调整华法林剂量,维持INR在2.0左右,监测D-二聚体均在正常范围。其他对症处理包括抗感染、化痰等治疗。
表1 抗凝治疗方案及凝血结果一览表
2013年3月31日肺动脉CTA(图2):双肺动脉分支栓塞较前好转。
2013年5月17日肺动脉CTA(图3):双肺动脉显影未见明显异常。
图2 2013年3月31日肺动脉CTA
双肺动脉分支栓塞较前好转
A.左下肺动脉充盈缺损基本消失;B.右肺叶分支动脉充盈缺损较前明显减少
图3 2013年5月17日肺动脉CTA
双肺动脉显影未见明显异常
A.左下肺动脉显影正常;B.右肺叶分支动脉显影正常
2012年6月15日复查抗心磷脂抗体IgG 14.534 GPL/ml,IgM 66.021 MPL/ml↑,抗β2糖蛋白1抗体91.593 RU/ml↑。
2012年12月27日复查抗心磷脂抗体IgG 8.114 GPL/ml,IgM 8.159 MPL/ml,抗β2糖蛋白1抗体>200 RU/ml↑。



