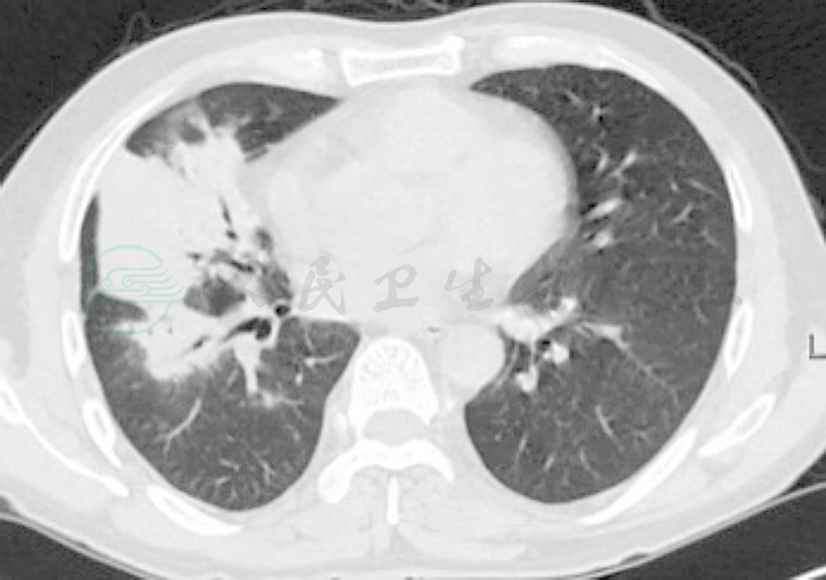
患者男性,65岁,因“咳嗽1周”于2011年6月2日入院。患者受凉后出现咳嗽,主要为干咳,无明显咳痰,无发热、盗汗、胸痛、咯血等不适。当地医院PPD皮试(-),肺部CT示:右上肺斑片状密度增高影,右中叶大片状密度增高影,其内可见充气支气管征(图1),未治疗。以“肺炎”收住院。
图1 入院前肺部CT
既往史:“高血压”10余年,血压最高150/90mmHg,服坎地沙坦,血压控制可。否认“糖尿病、冠心病”等病史,无“肝炎、结核”等传染病病史及其密切接触史,无重大手术及外伤史,无血制品输注史,无过敏史,预防接种史不详。
入院查体:T 36.5℃,P 76次/分,R 20次/分,BP 140/80mmHg,全身浅表淋巴结无肿大,颈静脉未见充盈,气管居中。双侧胸廓对称,双肺语音传导正常,双肺叩诊清音,双肺呼吸音清晰,无明显干湿啰音。
辅助检查:大小便常规、电解质、肝肾功能、肿瘤标志物、细菌内毒素检测、凝血常规、肝炎全套均正常。抗HIV(-)。
血常规:WBC 9.4×109/L,N 80.8%↑,L 12.4%。
血沉:70mm/h↑。
结核抗体IgG(+),IgM (-)。
真菌葡聚糖检测:57.0pg/ml。
心电图:电轴轻度左偏。
支气管镜检:支气管炎症(以右中叶明显)。
支气管分泌物抗酸染色液基夹层杯法:阴性。
支气管分泌物细菌培养:正常咽喉杂菌。
支气管镜取肺组织病检:右中叶分支黏膜慢性炎症。
予左氧氟沙星注射液抗感染治疗12天后复查肺部CT:病灶较前增多、部分增大(图2)。考虑普通细菌感染可能性不大,可能为真菌或结核等病原体感染。遂行CT引导下肺穿刺活检术,病理:(右中上肺)肉芽肿性炎,结合HE形态及特染,倾向组织胞浆菌病 (图3)。
图2 左氧氟沙星抗感染治疗12天后肺部CT
图3 肺穿刺活检病理
HE染色,A.×200,B.×400
诊断:1.肺组织胞浆菌病 (右肺);2.原发性高血压1级 (中危组)。
予伊曲康唑注射液抗感染治疗2周后复查肺部CT情况较前好转(图4)。
患者咳嗽症状改善,病情好转出院。嘱其出院后继续伊曲康唑口服液抗真菌治疗,定期复查肺部CT。
图4 伊曲康唑抗感染治疗2周后肺部CT
出院后分别于2011年9月28日、2011年11月8日以及2012年2月14日多次门诊复查肺部CT均提示肺部病灶较前吸收(图5~图7)。治疗10个月后无不适,于2012年4月24日复查肺部CT示:肺部病灶基本吸收(图8),遂停用药物治疗。
图5 治疗3个月后肺部CT
图6 治疗5个月后肺部CT
图7 治疗8个月后肺部CT
图8 治疗10个月后肺部CT



