自身免疫性胰腺炎(autoimmune pancreatitis,AIP)是一类以胰腺弥漫性或节段性炎症改变为主的自身免疫性疾病(autoimmune disease,AD)。作为AD家族的年轻成员,AIP是少数几类可治愈的胰腺疾病,也因此逐步为临床医师和学者所重视。AIP发病率低,且临床表现和影像学征象较难与胰腺癌鉴别,故目前AIP的诊断和治疗仍是困扰外科医师的重要临床问题。
患者,男性,60岁,以“上腹不适2个月,发现皮肤巩膜黄染3天”主诉入院。患者自入院前2月起,无明显诱因下出现上腹部不适,偶有隐痛,无发热寒战,无厌油食欲缺乏,未重视。入院前3日自觉皮肤及巩膜泛黄,腹部不适略有加重,于外院就诊,B超提示“胰头肿块”,遂转至我院就诊并收治。
发病至入院期间,无发热寒战等表现,尿色略深,伴有乏力及食欲缺乏。
体格检查:神清,精神可,体温37.2℃。皮肤巩膜黄染。全腹平软,无腹块肠型,中上腹轻度压痛,未及反跳痛。肠鸣音可及,不亢。Murphy征阴性,肝区未及明显叩痛。
既往史:既往体健,无手术外伤史,无胰腺炎病史。
实验室检查:总胆红素(total bilirubin,TB)55.3μmol/L;结合胆红素(direct bilirubin,DB)30.7μmol/L;血淀粉酶196U/L;肝炎病毒指标阴性;肿瘤标志物:CA199 7.4U/ml;CA125 29.1U/ml;CEA 1.31ng/ml;AFP 2.29ng/ml。
影像学检查:
B超提示:胰头肿块,3.5cm×3.0cm。
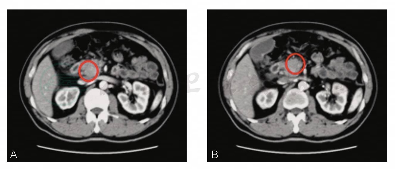
增强CT提示:胰头部肿大,强化明显,与肠系膜上静脉关系紧密;胆管系统扩张,胰管部分轻度扩张(图1)。
诊断:胰头占位性病变
图1 患者术前增强CT影像
胰头部肿大(圆圈所指),强化明显,与肠系膜上静脉关系紧密;胆管系统扩张,胰管部分轻度扩张
结合患者症状、体征及辅助检查,术前诊断“胰头占位”,经术前讨论并与患方充分沟通后,施行手术。手术方式:胰十二指肠根治性切除术。
术中探查见:胰腺钩突部约3.5cm×3.0cm肿块,质硬,边界不清,肿块与肠系膜上静脉关系紧密,余胰腺实质未触及明显异常。手术过程顺利。
术后恢复良好,未出现胆肠吻合口及胰肠吻合口漏,术后2周内TB即降至19.5μmol/L,DB降至5.4μmol/L。
术后病理提示:胰腺符合IgG4+相关纤维硬化性疾病。
术后第6周,患者无诱因下再度皮肤巩膜黄染,伴轻度腹部不适,合并发热,最高达38.6℃。复查血液生化,TB 114.2~222.7μmol/L,DB 74.9~136.4μmol/L,CT示肝内胆管明显扩张(图2),考虑梗阻性黄疸、胆道感染,予经皮肝胆管穿刺引流(PTCD)减黄。回顾性分析并复查免疫学标志物提示:类风湿因子33IU/ml(正常值:0~20IU/ml);血清IgG 1650mg/dl(正常值:751~1560mg/dl),P-ANCE及C-ANCA(-)。
图2 术后第6周CT影像
胰十二指肠切除术后改变,胰腺肿胀(圆圈所指),肝内胆管扩张明显(箭头所指),肝门区胆管壁增厚
结合组织病理学报告,该患者符合Ⅰ型-AIP伴胰外病变(硬化性胆管炎),予甲泼尼龙(即甲强龙)40mg/d静脉滴注冲击治疗。
激素治疗后,2周内患者胆道感染逐步得到控制,于第3周起缓慢减量并改口服用药,并顺利出院。随后每2周减少用量5mg/d,以10mg/d维持。
激素治疗后4周:TB 25.7μmol/L;DB 10.2μmol/L。
激素治疗8周后:TB 18.9μmol/L,DB 1.3μmol/L,恢复正常水平;类风湿因子21U/ml;IgG 1170mg/dl;IgA 200mg/dl(正常值:82~453mg/dl);IgM 154mg/dl(正常值:46~304mg/dl)。CT提示:胰十二指肠切除术后改变,胰腺形态基本恢复正常(箭头所指),胆道扩张积气较前改善(图3)。
图3 激素治疗后第8周CT影像
胰十二指肠切除术后改变,胰腺形态基本恢复正常(箭头所指),胆道扩张积气较前改善



