胰十二指肠切除术,切除范围广、手术步骤繁琐、手术风险高,是外科极具挑战性的手术。术后感染发生率约5%,是术后严重并发症之一,而感染早期又不易发现,随着病情加重常导致全身炎症反应综合征,严重者可因脓毒血症、休克、多脏器功能不全综合征等而致死。导致腹腔感染的主要因素有消化道瘘(漏),消化液反流,术前放化疗,术前胆道引流,其他部位的感染诱发等。对患者的身心、经济都是巨大的负担;更是对手术医师的临床抉择、心理素质、医患沟通能力的全面考验。
患者,男,64岁,以“上腹部疼痛不适伴发热10天”入院。
10天前无明显诱因下出现上腹部疼痛不适,伴发热,体温高达38.6℃,无皮肤巩膜黄染,伴恶心呕吐,外院查MRCP提示胆总管下段结石,遂行ERCP提示胆总管下段见0.6cm×0.7cm占位影,取活检病理提示胆总管下段腺瘤样增生,伴高级别上皮内瘤变,术后给予抗感染治疗后体温基本正常,疼痛症状缓解。为进一步治疗,来我院就诊。
体格检查:神志清晰,精神较萎,皮肤巩膜无黄染,腹部软,无压痛,无反跳痛,无曲张静脉,双下肢无水肿。
实验室检查:WBC 3.54×109/L,中性粒细胞比例58.3%,总胆红素12.7μmol/L,结合胆红素6.0μmol/L,γ-GT 165U/L,GPT 43IU/L,血淀粉酶108U/L;CA19-9 32.5U/ml。
ERCP(外院):胆管扩张约1.3cm,下端见0.6cm×0.7cm占位,可见少量胶冻样物从胆管排出,并可见一软组织肿块并行活检。诊断:胆总管下端占位。
病理活检(我院会诊):胆总管下段腺瘤样增生,伴高级别上皮内瘤变。
诊断:胆总管下段腺瘤伴高级别上皮内瘤变。
(一)手术过程
在全麻下行保留幽门的胰十二指肠切除,肝十二指肠韧带骨骼化清扫,腹膜后淋巴结清扫术。术中横断胆管时见墨绿色胆汁引出,其余脏器未见明显异常,整块切除胰头、十二指肠、胆囊、胆管及周围淋巴结(图1、图2),胰腺残端与空肠袢行端-侧套入吻合,吻合确实,距离胰肠吻合口10cm处胆管与空肠袢行间断全层缝合,距离胆肠吻合口50cm处行胃-肠袢端-侧吻合,在胃肠吻合口下方10cm处行肠-肠侧-侧吻合,肠-肠侧-侧吻合下方10cm处放置空肠造瘘管。手术时间160分钟,出血量200ml,无输血,术中补液1750ml,术后予以头孢美唑钠抗感染治疗。

图1 标本切除之后的手术野

图2 手术标本
术后病理:胆总管下段腺瘤样增生,伴高级别上皮内瘤变;十二指肠慢性溃疡,个别腺体中度上皮内瘤变;慢性胆囊炎。
(二)术后情况
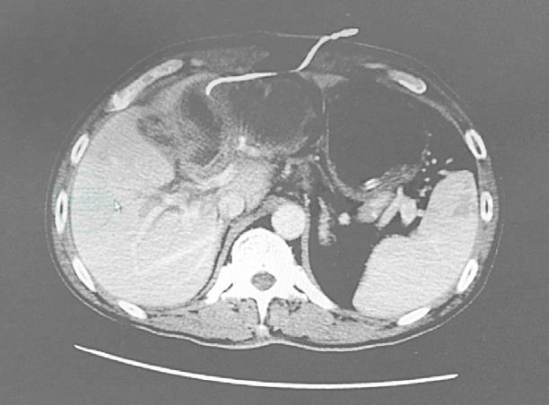
患者术后4日通气,给予糖盐水空肠造瘘管注入;术后第5日给予肠内营养液支持,每日复查腹腔引流液淀粉酶和血淀粉酶均正常。术后7日拔出胃管,给予流质饮食。术后第9日出现恶心呕吐,呕吐物为墨绿色胃液,考虑胃排空障碍,予以胃肠减压,浓盐水洗胃,红霉素、多潘立酮促进胃动力,排空障碍逐步好转,并予以每日1500ml的肠内营养支持治疗。术后10日出现发热,体温38.2℃,血常规:WBC 9.46×109/L,中性粒细胞比值87.3%,CRP 103.94mg/L,查胆汁和腹腔引流液培养提示阴沟肠杆菌,对头孢类和哌拉西林/他唑巴坦等均敏感。腹腔引流液淀粉酶正常,无异常消化液引出,复查B超和CT未见腹腔内明显积液(图3、图4)。考虑无消化道瘘出现。考虑发热原因为胆道感染和腹腔感染。
予以注射用头孢哌酮钠舒巴坦钠抗感染治疗,继续抑酶、制酸、补液支持治疗,维持水电解质平衡,降温对症处理。术后13天后,仍有发热,最高38.5℃,血常规:WBC 9.15×109/L,中性粒细胞比值86.6%,CRP 109.22mg/L,改注射用头孢哌酮钠舒巴坦钠为比阿培南,并加用乌司他丁30万U静滴1次/日,体温逐步控制至正常。术后24天后,患者出现寒战、高热,体温最高39.5℃,T形管引流出墨绿色胆汁,每日约10ml,复查CT提示未见明显腹腔积液。血常规提示WBC 6.47×109/L,中性粒细胞比值91.9%,CRP 81.52mg/L。查胆汁培养提示:溶血性葡萄球菌(MRS,β内酰胺酶阳性),仅对万古霉素、替考拉宁、利奈唑胺、左氧氟沙星敏感,其余均耐药;查血培养提示:屎肠球菌,仅对万古霉素、替考拉宁、利奈唑胺、左氧氟沙星敏感,其余均耐药;胰液培养提示:粪肠球菌和阴沟肠杆菌,粪肠球菌对万古霉素、替考拉宁、利奈唑胺、左氧氟沙星、利福平、青霉素、环丙沙星敏感;阴沟肠杆菌对亚胺培南、哌拉西林/他唑巴坦、头孢吡肟、头孢曲松敏感。考虑其合并球菌感染,并且为耐药菌株,将比阿培南降阶梯为注射用头孢哌酮钠舒巴坦钠;加用替考拉宁抗感染;人免疫球蛋白5g/d;乌司他丁30万U,每日2次;继续肠内营养、白蛋白支持治疗,维持水电解质平衡。

图3 手术后复查的CT图像

图4 手术后复查的B超图像
术后28天患者体温趋于平稳,体温36.6℃,血常规:WBC 5.18×109/L,中性粒细胞比值71.7%,CRP 11.36mg/L;复查B超未见腹腔积液;术后34天患者出院,出院后未再有发热、寒战等症状。