胃癌术后腹腔内出血是胃癌术后较严重的术后并发症之一,其发生迅猛,病情变化急剧,且死亡率较高。胃癌术后腹腔内出血在术后早期及术后晚期均可出现,导致其发生的原因多种多样,依据不同的原因及病情,其治疗选择可采用保守治疗或外科手术治疗。因此,及时发现,选择正确的处理方式是减少其死亡率的重要因素之一。
患者,男,57岁,因“上腹部腹胀、腹痛10余天”入院。
患者入院10余天前,无明显诱因出现上腹部腹胀、腹痛,无恶心、呕吐、黑便、便秘、皮肤巩膜黄染等,行胃镜示“胃底:贲门区可见巨大深溃疡,底覆污秽苔,周围黏膜结节状隆起、质脆,触之易出血”,活检病理示“腺癌”,为求进一步诊治就诊于我院。近期体重无明显变化,既往无“胃病”病史。
体格检查:身高167cm,体重55kg,BMI:20.2kg/m2,全腹软,无压痛,无反跳痛,未触及明显腹部包块,肝脾肾胆囊未触及,左锁骨上未扪及淋巴结肿大,肛门直肠未触及包块,退指套无血染。
胃镜:胃镜示“胃底:贲门区可见巨大深溃疡,底覆污秽苔,周围黏膜结节状隆起、质脆,触之易出血”,活检病理示“腺癌”。
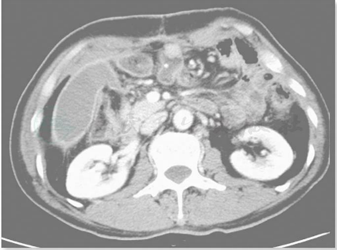
全腹部增强CT扫描:胃底、体部胃壁不规则增厚,浆膜面模糊不清,增强提示病灶明显强化改变,多系肿瘤性病变,扫及腹盆腔未见确切肿大淋巴结及积液。肝形态大小未见异常,门脉期可见肝左内叶两个低密度小结节,直径约0.3cm,无强化改变,多系肝脏囊肿(图1)。
图1
CT提示:胃底、体部胃壁不规则增厚,浆膜面模糊不清,腹膜后未见肿大淋巴结,临床分期cT4aN1-2M0
上消化道造影:食管钡剂通过顺利,蠕动正常,管壁黏膜完整,未见中断,管腔未见狭窄。贲门变形,黏膜破坏,胃底可见软组织块影。幽门、十二指肠球部形态正常,未见明显龛影、充盈缺损等异常征象,十二指肠环、水平部未见明显异常(图2)。
诊断:胃癌
图2 上消化道造影提示贲门变形,黏膜破坏,胃底可见软组织块影
(一)手术过程
手术方式:经食管膈肌裂孔径路根治性全胃切除术(R0),D2淋巴结清扫,拖出式脾门淋巴结清扫(图3)+完整网膜囊切除,食管-空肠横结肠前ρ袢代胃+Roux-en-Y吻合。
图3 脾门淋巴结清扫完成后
术中见:(sT3-4aN+M0)肝两叶表面未扪及确切结节,腹腔内无腹水,盆底腹膜光滑,肠系膜根部散在肿大淋巴结。胃底近贲门处小弯侧5cm×5cm×3cm大小包块,骑跨于小弯累及胃后壁,肿瘤侵出浆膜,浆膜面受累面积约2cm×2cm。术中打开食管膈肌裂孔,游离胃及腹段食管,将全胃及胃周淋巴结(NO1、2、3、4sa、4sb、4d、5、6、7、8a、9、10、11p、11d、12a、19、20、110、111)整块清扫,手术顺利,术中出血少,未输血。剖视标本见:贲门小弯、后壁见一大小约5cm×4cm×2cm溃疡,Borrmann-Ⅱ型,肿瘤上缘累及齿状线,中心距齿状线约2cm,Siewert-Ⅱ型。
(二)术后病理
胃肿瘤:低分化腺癌(印戒细胞癌+管状腺癌),侵出胃壁浆膜层,免疫组织化学示:Muc2(-),Muc5Ac(+,强,约60%),Muc6(+,强,约60%),CD10(-),Her2(1+)。
食管切缘、十二指肠切缘、小网膜切缘、大网膜切缘、胰腺被膜、横结肠系膜前叶、肝十二指肠韧带前叶腹膜均未见肿瘤累及。
淋巴结:送检3a组淋巴结(1/7),3b组淋巴结(2/9)查见癌转移;送检1组淋巴结3枚,2组淋巴结2枚,4sa组淋巴结4枚,4sb组淋巴结4枚,4d组淋巴结7枚,5组淋巴结3枚,6组淋巴结5枚,7组淋巴结2枚,8a组淋巴结2枚,9组淋巴结1枚,11p组淋巴结1枚,11d组淋巴结2枚,12a组淋巴结1枚,10组淋巴结4枚,19组淋巴结1枚,20组淋巴结2枚,110组淋巴结1枚,111组淋巴结1枚均未查见癌累及。
脉管受累:(-),神经受累(-)。
腹腔冲洗液脱落细胞学检查:未查见肿瘤细胞。
术后病理分期:pT4aN2M0Cy0,Ⅲb期。
术后病理评估依据《日本胃癌处理规约》2010年英文第3版。
(三)术后情况
术后第二天拔除胃管,术后第三天腹腔引流管引流出血性液体300ml(图4),复查血常规提示血红蛋白64g/L,心率95~105次/分钟,血压 120~130/70~85mmHg,考虑术后腹腔内出血,予以输血、输入止血药物等治疗,并动态监测患者血红蛋白变化及腹腔引流情况(图5、图6),后未见腹腔内出血征象,于术后15天出院。
图4 腹腔引流血性液体
图5 腹腔引流动态监测情况
图6 血红蛋白变化趋势
(四)手术并发症
1.并发症发现
患者术后第三天腹腔引流管引流液量突然增多,约300ml,颜色为暗红色血性液体(图4),急诊查血红蛋白提示64g/L。
2.临床分析及决策
回顾患者手术过程及术后恢复情况,此例患者手术创伤较大(经食管膈肌裂孔D2根治性全胃切除术,拖出式脾门淋巴结清扫),术后出现腹腔内出血的风险较高。此例手术过程顺利,术中出血少,结合患者术前血红蛋白水平分析,诊断考虑腹腔内出血。为此积极予以输血、止血及抗休克治疗,尽快完善急诊介入手术及外科手术准备。若积极保守治疗,患者仍存在进行性腹腔内出血,可考虑行急诊介入手术或外科手术治疗。
3.处理过程
患者在积极止血、扩容和抗休克治疗的同时,予以输血,并动态监测患者生命体征、腹部体征、血红蛋白水平变化以及腹腔引流管引流量变化(图5、图6)。后患者血红蛋白水平逐渐上升,腹腔引流液引流量减少,考虑腹腔内出血已止,无活动性出血。
后患者未再出现消化道出血及腹腔内出血。患者出院前复查彩超提示:腹腔查见局限性无回声区,内查见分隔(图7)。出院30天复查CT提示:右上腹壁腹膜增厚,肝脏周围间隙内少量包裹性积液、积气,直肠前间隙包裹性积液,肠系膜稍模糊(图8)。
图7 出院前复查腹部彩超
图8 出院30天复查腹部CT



