术后出血、胰瘘、膈下脓肿是胃癌术后常见并发症,是每个胃肠外科医师均会遇到的问题,一旦处理不当,均可成为致命性打击,对患者及家属带来严重的身心负担,也是对医护人员的临床水平、处理决策能力的综合考验。
患者,男,72岁,于2015年2月14日因“上腹部隐痛不适伴吞咽困难半月余”入院。
症状特点:上腹部隐痛,呈阵发性,无规律,伴吞咽困难、食入难咽、呃逆嗳气,食欲缺乏,无便血;
体格检查:腹平软,上腹部轻压痛、无反跳痛,移动性浊音阴性,肠鸣音约4次/分,左锁骨上淋巴结未及肿大,肛门指诊正常;
既往史:1年余前有上消化道出血病史;糖尿病病史10年余,规律服用消渴丸,血糖控制良好;有高血压病史1年余,最高血压160/90mmHg,规律服用厄贝沙坦150mg qd,血压控制平稳;有陈旧性肺结核病史10余年。
实验室检查:CEA、CA199正常。血常规正常。
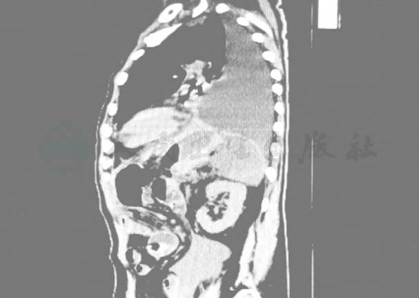
胃镜示:食管、贲门及胃底隆起性病变;病理活检示:低分化腺癌。全腹部CT示:食管-胃底胃壁增厚,增强扫描明显不均匀强化,符合食管-胃底癌改变(图1、图2)。
图1 食管胃结合部占位
图2 胃周淋巴结肿大
诊断:
1. 贲门胃底低分化腺癌(cT3N+M0)
2. 2型糖尿病
3. 高血压病(2级 很高危组)
(一)手术过程
2015年2月13日行根治性全胃切除+脾门淋巴结清扫术,术中见肿瘤位于贲门-胃底,siewert Ⅲ型,No.1、3、7、8、9、11p组淋巴结明显肿大。术后18:36复查Hb:88.0g/L。
(二)术后情况
2015年2月13日23:00(术后当晚)患者脾窝引流管引出暗红色液体850ml,贫血貌,血压110/70mmHg,心率130次/分,CVP:6cmH2O;查Hb:77.0g/L,考虑腹腔内出血,给予扩容、同时给予急输浓缩红细胞、新鲜冰冻血浆、纤维蛋白原。
00:45(术后次日凌晨)查血常规提示:Hb:71.0g/L,心率110次/分,SpO2:98%,CVP:8cmH2O,脾胃引流管基本无引出,继续保守治疗。
2015.02.14 03:00(术后次日凌晨)复查Hb:57.0g/L,患者出现意识模糊,血压130/80mmHg、心率:130次/分,脾窝引流管后引出淡红色引流液约40ml,急送手术室行剖腹探查术,术中见:左上腹见大量凝血块,量约1000ml,余腹腔可见不凝血,量约1000ml,脾脏颜色暗黑,体积较术前明显增大,质硬,脾门区破裂并持续渗血,遂行脾脏切除术。
(三)二次术后情况
术后予能量营养支持、抗感染、止血、制酸护胃、输血纠正贫血及改善凝血功能、补充白蛋白等,患者病情逐渐稳定。至2015年2月18日患者生命征平稳,腹腔引流管予拔除,改二级护理,肛门有排气,改全流饮食,但查血常规白细胞提示升高,当时考虑脾切除术后,白细胞清除率降低所致。后患者反复诉上腹部胀痛,进食后加重,无发热恶寒,多次复查血常规提示白细胞持续升高,2月25日复查血常规提示白细胞高达37.16×109/L。
2015年3月1日(术后半个月)患者开始出现间断高热,肺部触诊语颤减弱,左下肺叩诊浊音,未闻及干湿性啰音;复查胸腹部CT提示:①双侧胸腔少量积液,左侧部分包裹(图3);②腹部、盆腔积液(图4)。行上消化道造影未见异常(图5)。考虑胸腔积液、膈下感染,3月1日、3月4日 B超引导下行胸腔、膈下穿刺置管引流,腹腔穿刺引出脓性液体(图6),行标本细菌培养+药敏提示:铜绿假单胞菌感染。查腹水淀粉酶:3364U/L。先后予亚胺培南、左氧氟沙星抗感染、引流管冲洗。
图3 膈下积液
图4 胸腔、盆腔积液
图5 消化道造影
图6 腹腔引流
出院诊断:
1. 贲门-胃底中-低分化腺癌,pT3N2(4/28)M0,术后脾出血、胰瘘、膈下感染
2. 胸腔积液(左侧大量)
3. 2型糖尿病
4. 高血压病(3级 很高危组)
胸腔引流管于3月9日拔除。膈下引流管3月8日、3月11日、3月13日分别引出350ml、250ml、80ml黄绿色脓液,颜色逐渐变浅。2015年3月14日患者病情开始稳定,无发热恶寒,无心悸胸闷,腹痛不明显,术口愈合良好;继续予引流并间断冲洗保持通畅,至2015年3月30日拔管康复出院。
1.(贲门肿物)腺癌
2.(食管肿物)腺癌
3.(食管切缘)小灶上皮组织轻度非典型增生,未见癌
4.(全胃)食管胃交界腺癌,中-低分化;Lauren分类:肠型;病理分期:pT3N2Mx
5.(脾)符合脾破裂出血



