术后早期炎性肠梗阻是腹部手术常见的并发症,指由于腹部手术创伤或腹腔炎症等原因导致肠壁水肿和渗出形成的一种机械性与动力性并存的粘连性肠梗阻。早期炎性肠梗阻多发生在术后4周内,腹部手术后此病的发生率大约在0.69%~1.45%之间,占术后早期肠梗阻的90%。近期收治1例腹部空腔脏器穿孔术后早期炎性肠梗阻患者。现将诊治体会报告如下。
患者,男,36岁,以“外伤后,腹痛,伴恶心,呕吐8小时”于2015年3月入院。
患者8小时前右侧腹股沟区外伤后,突发腹部剧烈疼痛,疼痛迅速波及全腹,伴腹胀,恶心,呕吐数次,呕吐物为胃内食物,呕吐后症状无明显缓解。在当地医院诊断为“消化道穿孔”,急来我院就诊。病程中,无发热,食欲及进食差,睡眠欠佳,尿少。
体格检查:腹略膨隆,全腹部压痛,以上腹为著,肌紧张,肝脾未触及,叩诊移动性浊音(+),肝浊音界消失,无肾区叩击痛,肠鸣音减弱。
实验室检查:白细胞:15.80×109/L,中性粒细胞比值:86.20%,转氨酶、胆红素等正常。
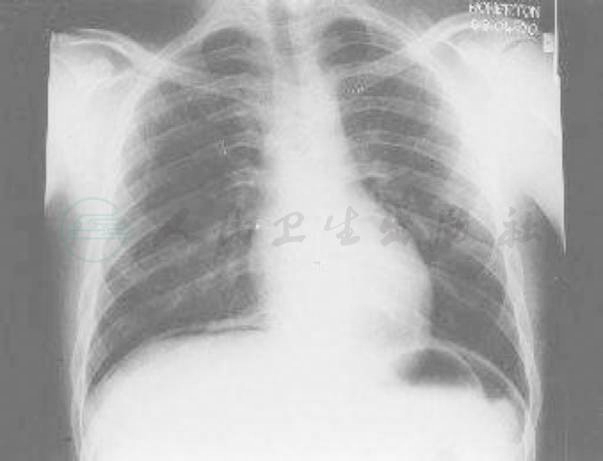
立位腹部平片:膈下见游离气体影。考虑消化道穿孔(图1)。
腹部CT:腹腔可见游离气体影,肠间隙可见液性暗区,右下腹结构紊乱。不除外小肠穿孔可能(图2)。
诊断:消化道穿孔,弥漫性腹膜炎。
图1 立位腹部平片
图2 腹部CT片
(一)手术过程
患者于全麻下行腹腔镜下腹部探查术,术中见小肠距回盲部190cm处有一直径约0.5cm破裂口(图3),术中诊断为:小肠穿孔。探查无其他异常后,行腹腔镜下小肠修补术,腹腔引流术。
图3 腹腔镜下腹部探查术中所见
(二)术后情况
术后给予胃肠减压,抗感染、抑酸等对症治疗。
术后第4天,排气排便。进食后,出现腹胀,恶心,呕吐。查体:腹部膨隆,全腹部轻度压痛,以脐部为著,可闻及振水音,肠鸣音弱。腹部平片提示:肠梗阻,考虑为炎性肠梗阻。给予乌司他丁10万单位,每日3次静脉推注,继续给予胃肠减压,完全肠外营养支持,适当给予地塞米松治疗。
术后第10天,患者排出水样便后,予肠内营养。
术后第14天,给予全肠内营养。
术后第16天,进食后病情无反复,出院。
患者经过治疗后,恢复较好,无并发症(图4)。
图4 术后腹部伤口愈合良好



