急性肾损伤(acute kidney injury,AKI)是外科重大手术后的常见危重病,通常与手术创伤、术中出血、输血及术后感染等因素有关。其患病率在综合性医院为3%~10%,漏诊、误诊率高达80%;若诊治不及时,重症患者死亡率可高达50%左右,而其中的存活患者又约有半数存在不同程度的永久性肾损伤,防治形势极其严峻。目前对于AKI缺乏有效的药物治疗,早期发现和诊治是改善预后的关键。
患者,男性,58岁,因上“上腹胀痛半月余”收住入院。
患者半月余前无明显诱因出现上腹部胀痛不适,无乏力、食欲缺乏、恶心呕吐、呕血、黑便等不适。患者至我院门诊,查腹部B超提示“右肝内中等偏强回声团,肝癌待排”。为求进一步诊治入院。既往有“肝病”史(具体不详)40余年,腰椎间盘突出术后8年余,吸烟史20支/天×40年,母亲、1哥、1姐、1弟均因“肝癌”去世。
体格检查:身高:175cm,体重:80kg,BMI:26.1,皮肤巩膜无黄染,无肝掌、蜘蛛痣,腹稍膨隆,未见腹壁静脉曲张,上腹部轻压痛,无反跳痛,肝脾肋下未及,未及肿块,肝区叩击痛阳性,移动性浊音阴性,肠鸣音3次/分。
实验室检查:肝功能:ALT 32U/L,AST 38U/L,AKP 97U/L,GGT 105U/L,ALB 44.5g/L,总胆红素7.2μmol/L,结合胆红素2.6μmol/L;凝血功能:PT 12.7s,APTT 34s;术前免疫:HBcAb(+);AFP:7.83ng/ml(0~8.77ng/ml)。
肝胆胰脾B超:右肝内中等偏强回声团,肝癌待排;胆囊壁毛糙、结晶。
肝脏超声造影:右肝中等不均回声团块,考虑原发性肝癌。
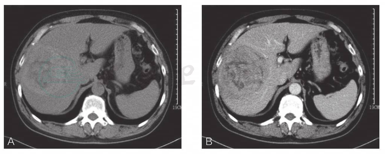
腹部CT检查:右肝巨大占位,原发性肝癌首先考虑(图1)。
图1 右肝巨大占位,原发性肝癌首先考虑
诊断:右肝原发性肝癌,腰椎间盘突出症术后
(一)手术过程
完善相关术前准备,排除手术禁忌,于2015年3月14日限期行前入路腹腔镜右半肝切除术。术中见肝脏呈轻微小结节性硬化,右肝巨大占位,直径约15cm×12cm,右肝表面局部缺血改变,左肝、腹腔未及明显转移性结节,无腹水,胃底贲门周围未见明显静脉曲张。手术时间270分钟,术中肝下下腔静脉阻断50分钟,术中劈开肝正中裂中曾有一过性低血压,最低时为87/42mmHg,心率波动在80~105次/分之间,无明确气栓依据,放开阻断并加快补液后好转;术中出血200ml,输PRBC 2U,FFP 310ml,术中补液胶体1500ml,晶体1500ml,尿量200ml(图2~图5)。
图2 肝后隧道建立
图3 肝下下腔静脉阻断
图4 前入路劈开肝正中裂后处理右肝静脉
图5 右半肝切除术后创面
(二)术后病理
1.肝细胞性肝癌,见脉管内癌栓形成;
2.15cm×10.5cm大小;
3.慢性间质性肝炎,胆囊炎;
4.免疫组织化学(B片)示瘤细胞Hepatocyte(+),Glypican-3 & CEA(部分+),AFP、CK7、CK19(-),CD34(示血窦+)。
(三)术后诊治过程及并发症发现
患者术后第2天诉口干、尿少,以后肌酐及尿素氮进行性升高,予以输注胶体液、利尿、扩血管、纠正酸中毒等治疗,效果不明显。期间生命体征平稳,CVP正常范围波动,床边心脏超声及肾血管B超检查无特殊发现,胸片未提示肺水肿。请肾内科会诊考虑AKI(AKIN 2级),建议转ICU,行肾脏替代治疗(renal replacement therapy,RRT),当晚即转ICU予CRRT治疗,同时予以抗感染、护肝、补液及营养支持治疗。患者行CRRT 5天,期间复查肌酐、尿素氮进行性下降,停用CRRT后略有波动,加强抗感染治疗后渐好转至正常,顺利出院。



