肝移植术后胆管并发症发生率为10%~40%,是影响患者长期存活的原因之一,被肝移植先驱Roy Caln 爵士称为“阿喀琉斯之踵”。胆管铸型综合征(biliary cast syndrome,BCS)是肝移植术后胆管并发症的一种,指肝移植术后在肝内外胆管内形成胆管树样的铸型坏死物。“胆管铸型”填充于胆管,同时伴有一处或多处吻合口胆管上皮坏死或狭窄,并由此导致的一系列临床症状。治疗BCS的核心内容包括解除梗阻、取出铸型,治疗随后的非吻合口狭窄。
患者,男,51岁,因“肝移植术后54天,尿色深黄,陶土样便7天”入院。
患者54天前因“肝癌、肝硬化”在全身麻醉下行“同种异体原位肝移植术”,手术顺利,术后给予三联(他克莫司、吗替麦考酚酯、激素)抗排斥治疗,肝功能指标恢复良好,术后2周行T形管造影检查,未见明显异常,夹闭T形管。定期复查肝、肾功能指标良好,药物浓度满意。7天前出现小便颜色深,陶土样粪便,发热,T形管开放后胆汁量逐渐减少。
体格检查:腹部平坦,未见胃肠型及蠕动波,上腹部可见“人”字切口,腹肌软,无压痛、反跳痛,无移动性浊音,肠鸣音4次/分。
实验室检查:总胆红素139.3μmol/L,结合胆红素111.1μmol/L,谷氨酰转肽酶239U/L,碱性磷酸酶155U/L,胆碱酯酶3192U/L,白细胞总数>10.0×109/L。
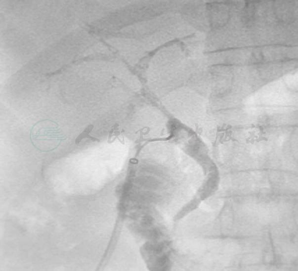
影像学检查:T形管造影:肝总管及肝内胆管条索状负影,肝内胆管分支不显影(图1)。
图1 肝移植后8周的T形管造影
诊断:
梗阻性黄疸
胆管铸型
胆管感染
肝移植术后
高血压病(2级)
糖尿病(2型)
在DSA下拔出T形管,更换10G经皮经肝胆管引流(percutaneous,transhepatic biliary drainage,PTBD)引流管;肝移植手术3个月后,行4次经T形管瘘管胆管镜探查,逐步将10G引流管更换至16G引流管,实现T形管瘘管扩张术;最终经过纤维胆管镜治疗将BC完整取出(图2)。
图2 经T形管瘘管胆管镜取出的胆管铸型物/结石
患者通过瘘管行治疗后,各项生化指标均有所下降,但仍存在轻度的非吻合口狭窄,间断性急性胆管炎发作。放置PTBD外引流管,对胆管进行冲洗,转为稳定期后开始支撑。中途更换新的PTBD支撑管,保持引流管引流通畅,观察引流物的性状及引流量,在治疗期间行胆汁培养监测,根据药敏结果选择抗生素,给予乌司他丁进行抗感染治疗。



