进展期胆管癌的诊疗策略是一个复杂的问题,需要融合外科学、肿瘤生物学及影像学等多学科的最新进展和知识。手术治疗是获得长期生存的唯一方法,不过并非所有患者都能接受根治手术,除了手术中的策略和技巧外,胆管癌诊治有很多小细节,值得我们去思索。
患者,女性,54岁,因“尿色偏黄1月余,体检发现肝脏肿物1周”入院。
患者1月余前无明显诱因下出现尿色偏黄,无腹痛腹胀等不适,患者于1周前至社区医院就诊,查B超示右肝内近肝门部占位,患者遂至我院就诊。CT增强(图1)示:右肝近肝门部占位,考虑胆管源性肿瘤可能性大,同时有肝内胆管扩张。
图1 右肝近肝门处肿物(红色箭头)伴肝内胆管扩张(蓝色箭头)
体格检查:神清,精神可,皮肤巩膜略有黄染,腹软,无压痛及反跳痛,无曲张静脉,双下肢无水肿。
实验室检查:TBil 57.0μmol/L,DBil 32.5μmol/L,ALT 350U/L,AST 149U/L,γ-GT 470U/L,AKT 1562IU/L。
肿瘤标志物:CA19-9>2000U/L,其他肿瘤标志物CEA、CA-125等均正常。
初步诊断:梗阻性黄疸:肝内胆管癌
手术过程
术中发现:肿块主要位于右半肝,质硬,界欠清,累及左右肝管汇合部及右肝管;肝门部可及多发肿大淋巴结,仔细探查肝脏表面有多发白色结节,质硬,术中冷冻病理示:“腺癌”,根据AJCC分期为Ⅳb期。考虑肿瘤肝内多发转移,无切除指征,但仍需解除胆管梗阻,遂行胆囊切除+胆总管切开探查+T形管引流术,T形管短臂放置入右肝管内。
术后情况
术后患者恢复可,2周后出院。
术后2个月:患者至我院复诊,自诉T形管引流量减少。
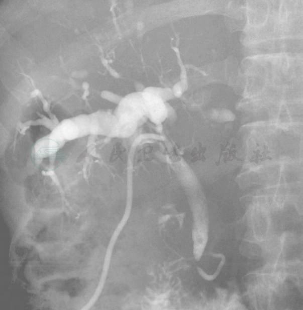
门诊行T形管造影:造影见肝内胆管显影,有扩张,呈藤蔓状改变,考虑和肿瘤侵犯有关,造影剂可顺利流入十二指肠(图2)。但在造影过程中,经T形管推注造影剂时阻力较大(使用碘海醇)。
图2 T形管造影情况
造影后患者感右上腹不适,嘱留观2小时,症状缓解后离院回家。
并发症
当天晚上患者出现高热,体温40℃,伴畏寒寒战,皮肤眼白发黄,自服退热药后无缓解,遂至我院急诊,急查血白细胞:15.3×109/L,中性粒细胞比例75.9%,TBil 378.2μmol/L,DBil 304.8μmol/L。
诊断考虑急性胆管炎,在予抗感染等处理后,患者情况仍未改善且有加重,出现气急症状,完善血气提示代谢性酸中毒合并呼吸性碱中毒,伴心率增快,120bpm左右,血压降低,为85/60mmHg,考虑感染性休克。
治疗措施
(1)收住ICU;
(2)紧急气管插管;
(3)多巴胺联合去甲肾上腺素维持血压;
(4)替考拉宁联合亚胺培南西司他丁抗感染,同时使用乌司他丁抑制炎症反应;
(5)其他抑酸、护胃、护肝等对症治疗,密切监测血电解质变化,必要时CRRT;
(6)行B超引导下经皮经肝胆管穿刺引流+肝包裹性积液引流术。
患者经积极治疗5天后拔除气管插管,转普通病房,半月余出院,3月后因肿瘤进展去世。



